기침

/

155

/

155

119번

[MD25]

0

74세 남자가 6개월 전부터 기침을 한다며 병원에 왔다. 기침을 하면 가래가 조금 나오기도 하였다. 40갑•년의 흡연자 이다. 혈압 134/86 mmHg, 맥박 78회/분, 호흡 20회/분, 체온 37.1°C이다. 오른쪽 가슴에서 쌕쌕거림이 들린다. 가슴 X선사진과 가슴 컴퓨터단층촬영 사진이다. 가래검사 결과는 다음과 같다. 조치는?

항산막대균펴바른표본 : 음성

결핵균 중합효소사슬반응 : 양성

정답률 94%

누적 풀이 횟수 2,500+

평균 풀이 시간35초

/

나의 풀이 시간0

CC

M/74, 기침(6m)

Hx

흡연: 40갑년

S/Sx

가래

V/S 134/86 78 20 37.1, Rt. wheezing

Lab

Img

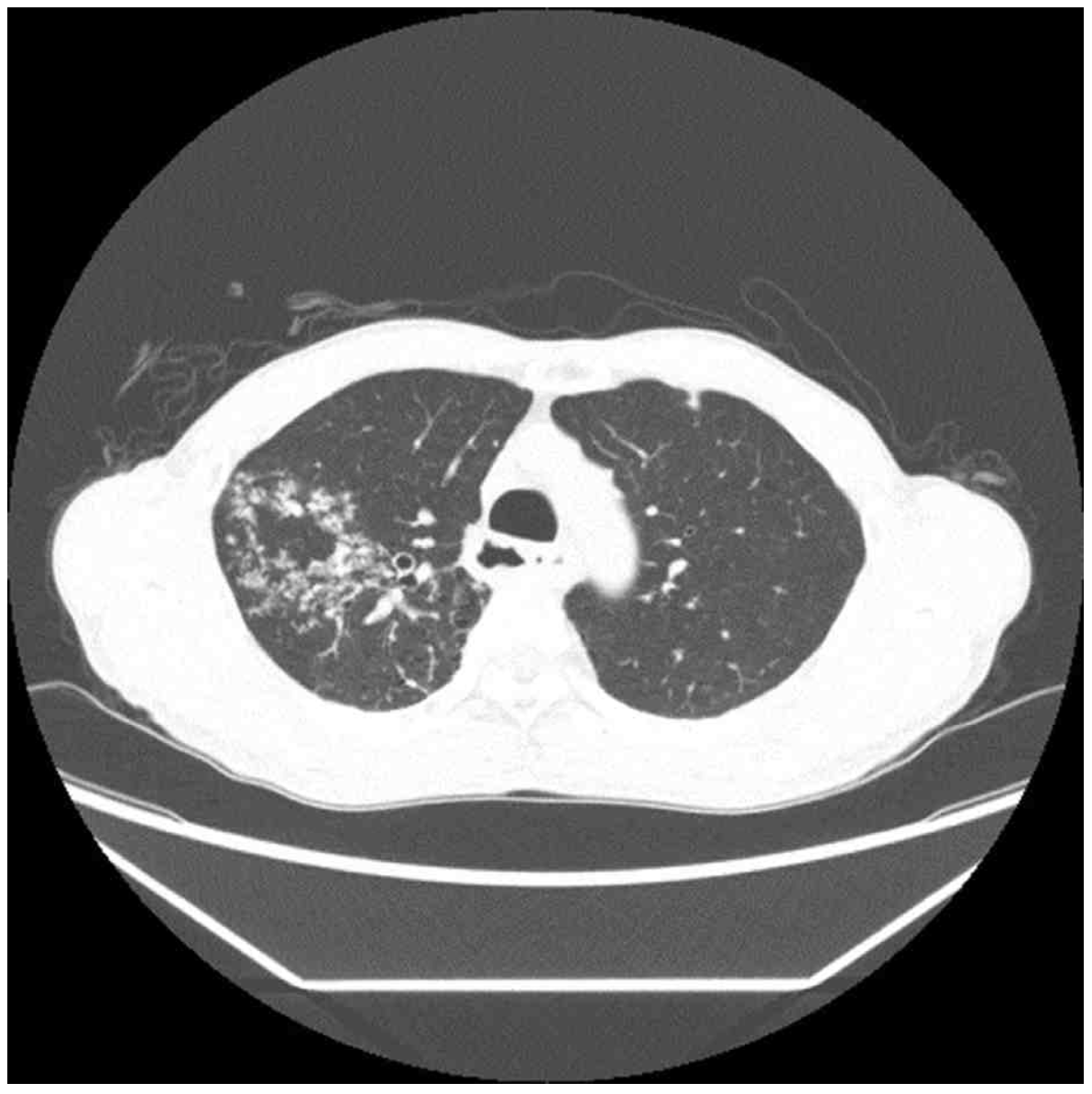
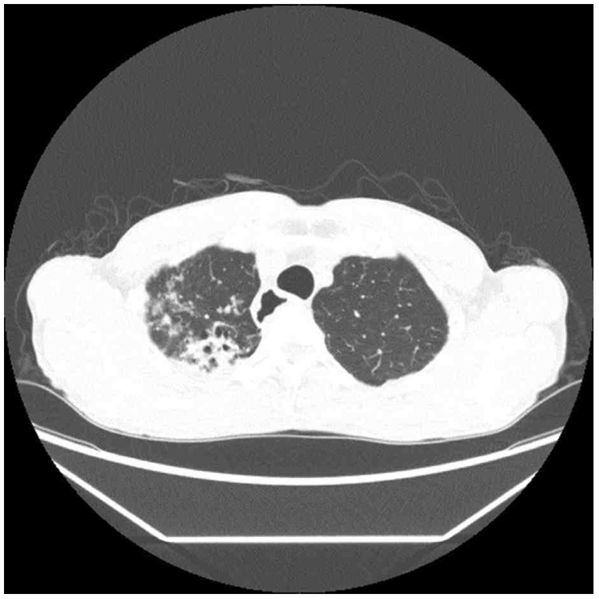
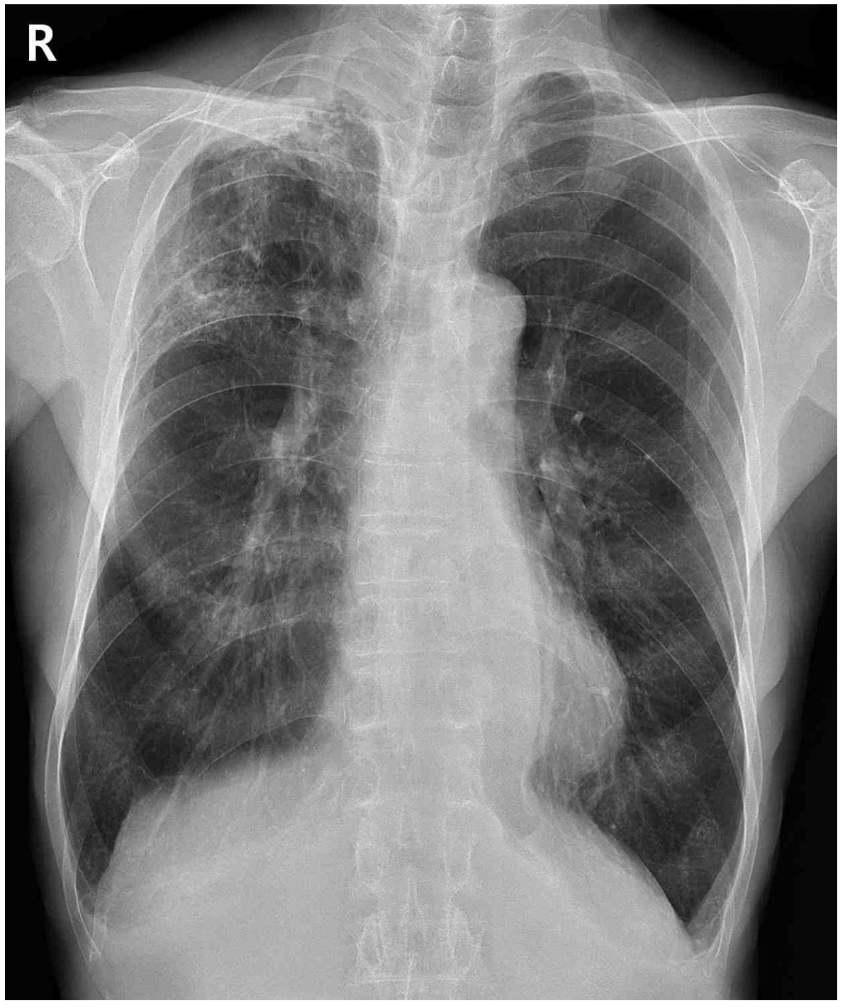
CXR: RULF haziness

CT: RULF centrilobular nodule, tree-in-bud pattern

Etc

Sputum AFB smear(-), TB-PCR(+)

Imp: 폐결핵(pulmonary tuberculosis, TB)

해설

결핵의 치료를 위해 항결핵제인 아이소나이아지드+리팜핀+에탐부톨+피라진아마이드을 사용한다.

• 74세 남자가 6개월 전부터 시작된 기침을 주호소로 내원하였다.

• 기침에는 소량의 가래가 동반되는 양상이며, 청진상 우측 가슴의 천명음이 관찰되므로 해당 부위에 대한 자세한 확인이 필요하다.

• CXR상 RULF hazziness가 발견되며 chest CT에서도 RULF에 centrilobular nodule 및 tree-in-bud pattern이 관찰된다. 만성 기침, 가래, 미열 등의 임상 양상과 영상 소견을 종합하여 판단할 때 폐결핵을 반드시 의심해보아야 한다.

• 폐결핵이 의심되면 항산균 도말검사, 결핵균 PCR, 배양검사를 동시에 진행하며 배양검사에는 수 주의 시간이 소요되는 바 항산균 도말검사와 결핵균 PCR 검사 결과를 종합하여 진단하고 치료 방향을 결정한다. 해당 증례의 경우 AFB smear(-)이나 TB PCR(+)이므로 결핵으로 진단할 수 있다.

• 따라서 결핵의 치료를 위해 항결핵제인 아이소나이아지드+리팜핀+에탐부톨+피라진아마이드을 사용한다.

Tip

폐결핵 정리

위험요인

• 면역억제 상태

• 당뇨

임상양상

• 아급성~만성 기침, 소규모 객혈 가능

• 피로, 미열, 체중감소, 야간 발한 등

검사소견

• CXR: 폐 상부 cavitation / CT: Tree-in-bud

진단

• AFB smear + TB PCR

치료

• Isoniazid + rifampin + (ethambutol) + pyrazinamide 2개월

→ pyrazinamide 빼고 4개월

• 초치료 실패 후 재치료: 약제 전부 교체

오답 선지

• 레보플록사신: 약제내성 결핵의 치료에 포함될 수 있으나 해당 증례의 경우 초치료로 판단되므로 1st line regimen에 준하여 2HREZ+4HR을 사용하는 것이 타당하다.

• 인터페론감마방출검사, 투베르쿨린 피부반응검사: 잠복결핵에 대한 검사로 잠복결핵 검사의 적응증에 속하는 경우 시행한다.

• 1개월 후 가래 항산막대균펴바른표본 재검사: TB PCR(+) 결과로 결핵을 진단할 수 있기에 AFB smear 재검은 불필요하다.

관련 이론

폐결핵

Reference

Harrison 21e, pp.1357-1382

대한결핵 및 호흡기학회 가이드라인, 2024