기침

/

155

/

155

120번

[MD25]

0

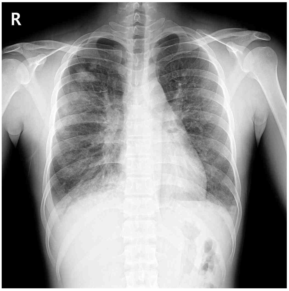
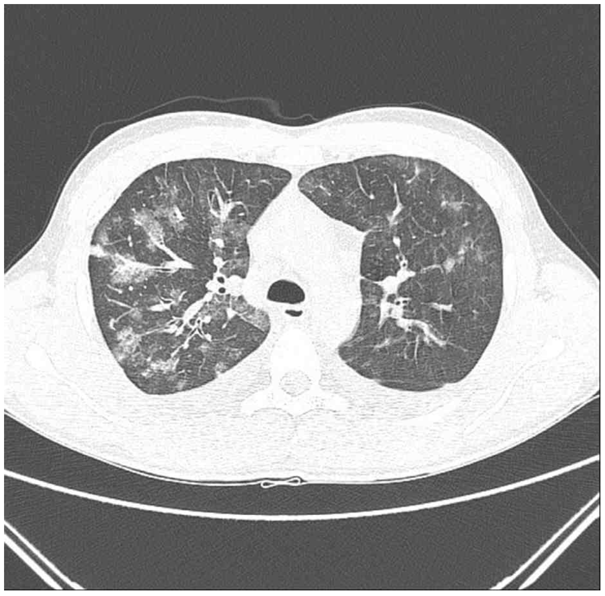
20세 남자가 2일 전부터 기침을 하고 숨이 찬다며 병원에 왔다. 10일 전부터 흡연을 새로 시작하였다. 혈압 124/80 mmHg, 맥박 100회/분, 호흡 22회/분, 체온 37.7℃이다. 양쪽 가슴에서 거품소리가 들린다. 가슴 X선사진, 가슴 컴퓨터단층촬영 사진과 기관지폐포 세척액 파파니콜로 사진이다. 검사 결과는 다음과 같다. 치료는?

혈액:

혈색소 12.8 g/dL, 백혈구 11,300/mm³ (중성구 86%, 림프구 10%, 호산구 2%)

C반응단백질 40 mg/L (참고치, <10)

동맥혈기체(대기호흡):

pH 7.41, PaCO₂ 30 mmHg, PaO₂ 74 mmHg

정답률 53%

누적 풀이 횟수 2,800+

평균 풀이 시간45초

/

나의 풀이 시간0

CC

M/20, 기침/호흡곤란(2d)

Hx

흡연 시작(10d)

S/Sx

V/S 124/80 100 22 37.7, bilateral rale

Lab

WBC↑, CRP↑

ABGA(room air): PaCO₂↓, PaO₂↓

Img

CXR, CT: Bilateral multifocal GGO

Etc

BAL: Increased eosinophil fraction

Imp: 급성 호산구성 폐렴(acute eosinophilic pneumonia)

해설

급성 호산구성 폐렴의 치료로 글루코코티코이드를 사용한다.

• 20세 남자가 2일 전부터 시작한 기침과 호흡곤란으로 내원하였다.

• 기침, 호흡곤란 및 청진상 양쪽 가슴의 rale이 동반되므로 호흡기 질환을 의심하여야 하며, 이와 더불어 발열이 관찰되므로 감염성 호흡기 질환이나 호산구성 폐렴 등을 생각해볼 수 있다.

• CXR 및 chest CT상 multifocal patchy GGO를 양쪽에서 관찰할 수 있으며 혈액검사상 CRP 상승에도 백혈구 수치가 참고치 이내이므로 세균 감염의 가능성은 낮다고 판단할 수 있다. 더불어 말초혈액에서 호산구 수치 역시 5% 이내로 현재 검사 소견만으로는 호산구증가증을 확인할 수 없다.

• 더 자세한 원인 감별을 위해 진행한 BAL 검사상 증가된 호산구 분율을 확인할 수 있다. 일반적으로 호산구성 폐렴은 CXR상 폐침윤을 관찰하고 말초혈액의 호산구증가증을 확인함으로서 진단할 수 있으나, 위 증례와 같이 호산구증가증이 없더라도 BAL이나 lung biopsy 결과상 호산구 비율의 증가를 확인하는 경우 역시 진단할 수 있다.

• 증상이 1주 이내 발생하였으므로 급성 호산구성 폐렴으로 진단할 수 있으며, 급성 호산구성 폐렴은 스테로이드 치료를 통해 완치가 가능하다.

• 따라서 치료로 글루코코티코이드를 사용한다.

Tip

• 급성 호산구성 폐렴(AEP)은 호산구의 폐실질 침윤을 동반한 폐병변을 의미하며, 말초혈액의 호산구 증가를 동반할수도, 동반하지 않을 수도 있다. 원인은 약물, 기생충, 결체조직 질환 등 다양한 원인에 의해 발생하나 흡연 후 짧은 시일 내 AEP가 발생했다는 증례 보고들이 있으며, 해당 문제의 흡연력은 AEP의 촉발인자로서 이해하는 것이 타당해보인다.

• 일반적으로 호산구는 H&E stain에서 붉은색으로 보이지만, 본 증례는 Papanicolaou stain이므로 푸른색으로 보이는 것이다. 세포 내부의 핵에 2개의 lobe이 있는 것을 확인하면 eosinophil임을 알 수 있다.

오답 선지

• 이뇨제: Volume overload로 인한 호흡곤란 시 사용할 수 있다.

• 구충제: BAL 검사 결과상 기생충 감염의 증거를 찾을 수 없으므로 배제된다.

• 항생제: 급성 병색으로 발생한 호흡기 증상, 발열 및 CRP 증가로 세균 감염을 의심할 수 있으나 leukocytosis가 저명하지 않으며 BAL 검사상 호산구 증가가 관찰되므로 배제할 수 있다.

• 항곰팡이제: 진균 감염을 의심해야 하는 면역저하 상태가 관찰되지 않으며 검사 결과상 진균감염의 증거 역시 찾을 수 없다.

관련 이론

일차성 호산구성 폐질환

Reference

Harrison 21e, pp.2162-2165