349번
[임종평19-1]
0
20세 남자가 2일 전부터 숨을 쉬기 힘들다며 응급실에 왔다. 혈압 110/70mmHg, 맥박 104회/분, 호흡 25회/분, 체온 37.1℃이다. 피부경유산소포화도는 95%이다. 왼쪽 가슴을 청진할 때 호흡음이 전혀 들리지 않는다. 가슴 X선 사진이다. 치료는?

정답률 96%
누적 풀이 횟수 700+
평균 풀이 시간20초
/
나의 풀이 시간0초
CC | M/20, 호흡곤란 (2d) |
Hx | |
S/Sx | 호흡곤란 V/S 110/70 104 25 37.1, 왼쪽 가슴 호흡음 사라짐 |
Lab | |
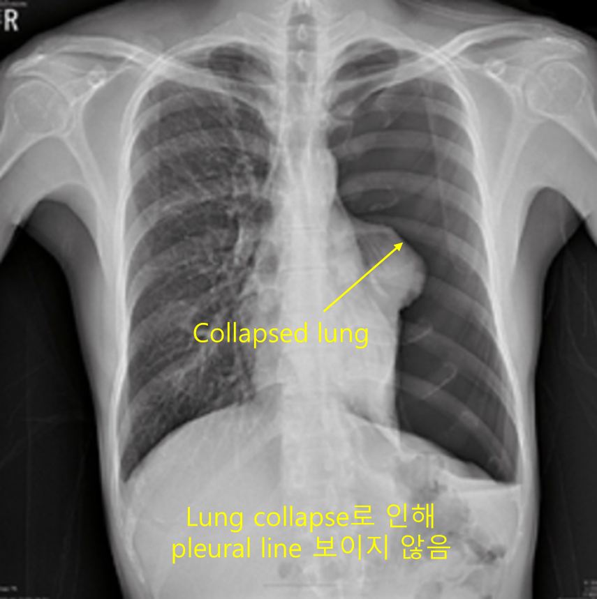
Img | CXR: 좌측 폐혈관 음영 사라짐 |
Etc |
Imp: 일차성 자발성 기흉(primary spontaneous pneumothorax, PSP)
해설
병력과 CXR상 PSP 진단 하, 빈호흡이 있으며 Lt. lung total collapse가 있으므로 흉관 삽입을 시행한다.
• 20세 남자가 2일 전부터 지속된 호흡곤란으로 내원하였다.
• 급성 호흡곤란의 증상, 그리고 신체 검진에서 왼쪽 가슴 호흡음이 사라진 것으로 보아 무기폐 혹은 기흉이 의심된다.
• CXR에서 좌측 폐혈관 음영이 사라졌으므로 기흉으로 진단한다. 젊은 남성이며 특이 병력이 없는 것으로 보아 PSP로 진단한다.
• 현재 일반적인 기흉에서 관찰되는 pleural line이 보이지 않을 만큼 Lt. lung의 collapse가 심하며, RR > 24로 빈호흡이 있어 불안정하다고 판단되므로 흉관삽입이 필요하다.
Tip
기흉 정리 | |
위험요인 | • 일차성: 흡연, 남성 • 이차성: COPD • 의인성: 바늘생검, 흉막천자, 기계환기 • 외상 |
임상양상 | • 급성 흉통, 호흡곤란 • 호흡음 감소, 타진 시 과공명 |
검사소견 | • CXR: Pleural line 보임, vascular marking이 보이지 않음 |
일차성/의인성 기흉 치료 | • 안정 + 첫 기흉 + 증상 경함: 경과관찰 (+ O2) • 재발성 or 불안정: 흉관 삽입 |
이차성/외상성 기흉 치료 | • 흉관 삽입 |
긴장성 기흉 | • V/S unstable • CXR: Mediastinal shift • 즉각적인 바늘 감압 → 이후 흉관 삽입 |
관련 이론
• 기흉
Reference
• Harrison 21e, p.2200
• Murray & Nadel 7e, pp.1539-1550