호흡곤란

/

506

/

506

413번

[MD25]

0

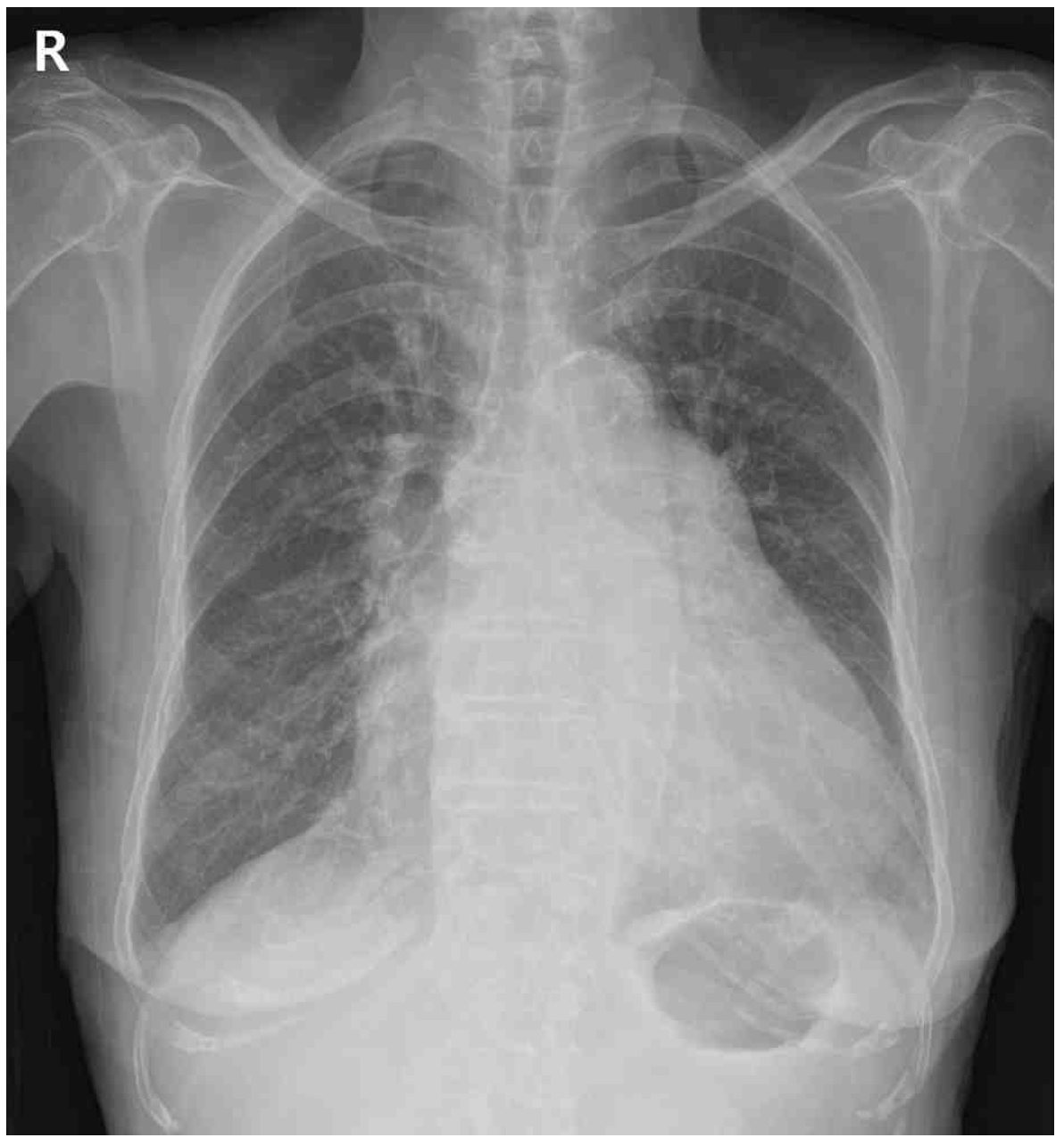
72세 여자가 6개월 전부터 숨이 차서 병원에 왔다. 호흡곤란이 1개월 전부터 점차 심해진다고 한다. 혈압 112/52 mmHg, 맥박 82회/분, 호흡 20회/분, 체온 36.1℃이다. 심음은 불규칙하지만 잡음은 없고 양쪽 등아랫부분에서 거품소리가 들린다. 가슴 X선사진과 심전도이다. 검사 결과는 다음과 같다. 진단은?

혈액:

혈색소 12.2 g/dL, 백혈구 7,300/mm³ 혈소판 220,000/mm³

C반응단백질 0.5 mg/L (참고치, <3)

혈액요소질소/크레아티닌 14/0.8 mg/dL

트로포닌 T 2.4 ng/L (참고치, <14)

뇌나트륨배설펩타이드 2,839 pg/mL (참고치, <100)

D이합체 310 ng/mL (참고치, 220 ~ 740)

심초음파:

좌심방 부피지수 72 mL/m² (참고치, ≤34)

좌심실 수축기말 직경 36 mm (참고치, <40)

좌심실 이완기말 직경 54 mm (참고치, <60)

좌심실 박출률 57 % (참고치, ≥55)

정답률 98%

누적 풀이 횟수 2,200+

평균 풀이 시간50초

/

나의 풀이 시간0

CC

F/72, 호흡곤란(6m)

Hx

-

S/Sx

호흡곤란 악화(1m)

V/S 112/52 82 20 36.1, irregular heart sound, bilateral rale

Lab

BNP↑

Img

CXR: Cardiomegaly, pulmonary edema

Echo: LAVI↑

Etc

ECG : No organized P wave(f waves), irregularly irregular RR interval

Imp: 좌심실박출률보존심부전(Heart failure with preserved ejection fraction, HFpEF), 심방세동(atrial fibrilation, AF)

해설

LVEF가 50%이상이지만 혈액검사 상 BNP 상승, 좌심방 용적지수의 증가를 통해 심장의 diastolic dysfunction이 있음을 파악할 수 있고 호흡곤란과 함께 cardiomegaly, pulmonary edema, 양측 폐하부 수포음이 확인되므로 좌심실박출률보존심부전으로 진단한다.

• 72세 여자가 6개월 전부터 시작된 호흡곤란으로 내원하였다.

• 호흡곤란은 1개월 전부터 더욱 악화되었다고 한다.

• CXR에서 cardiomegaly, pulmonary edema가 확인되며 양측 폐하부 수포음이 들리므로 호흡곤란의 원인이 심장성 원인임을 파악할 수 있다.

• 혈액검사 상 BNP의 상승으로 HF가 진단적으로 가장 의심이 되며 HF 확진을 위해 시행한 심초음파 검사에서 좌심방 부피지수(LA volume index, LAVI)가 증가diastolic dysfunction이 확인된다.

• 심초음파 검사 상 diastolic dysfunction과 함께 호흡곤란, 체액저류(pulmonary edema)가 확인되므로 HF로 확진 가능하며 LVEF가 57%로 50% 이상이므로 HFpEF로 확진한다.

Tip

• 불규칙한 심음과 함께, ECG에서 irregularly irregular RR interval, lead V1에서 확인되는 no organized P wave 및 fibrillatory baseline을 통해 AF로 진단가능하며 AF로 인해 LA enlargement 및 diastolic dysfunction이 생긴 것으로 추측할 수 있다.

오답 선지

• 폐색전증: 혈전이 폐혈관으로 이동해 폐혈관의 흐름을 막아 적절한 혈액순환이 이루어지지 않는 질환으로 D이합체가 상승한다.

• 대동맥박리: 대동맥 벽의 내층(내막)이 찢어져 대동맥 벽의 중간 층과 분리되는 장애로 갑작스럽고 찢어지는 극심한 통증이 특징이다. 본 증례는 6개월 이상의 호흡곤란이 있으며 BNP가 증가했으므로 HF에 더 합당하다.

• 급성심근경색증: ECG 상 ST elevation의 상승, 하강 또는 혈액검사 상 심근효소 수치의 상승이 보여야 한다.

• 급성호흡곤란증후군: HF과 fluid overload가 배제된 상황에서 1주 이내에 악화되는 호흡증상과 함께 CXR에서 bilateral diffuse opacity가 확인될 경우 진단하는 질환으로 본 증례는 HF이므로 급성호흡곤란증후군에 해당하지 않는다.

관련 이론

심부전 원인, 증상, 진단

심방세동, 심방조동

Reference

Harrison 21e, pp.1903-1910, 1930-1940

AHA guideline, 2022

ESC guideline, 2021