호흡곤란

/

506

/

506

412번

[MD25]

0

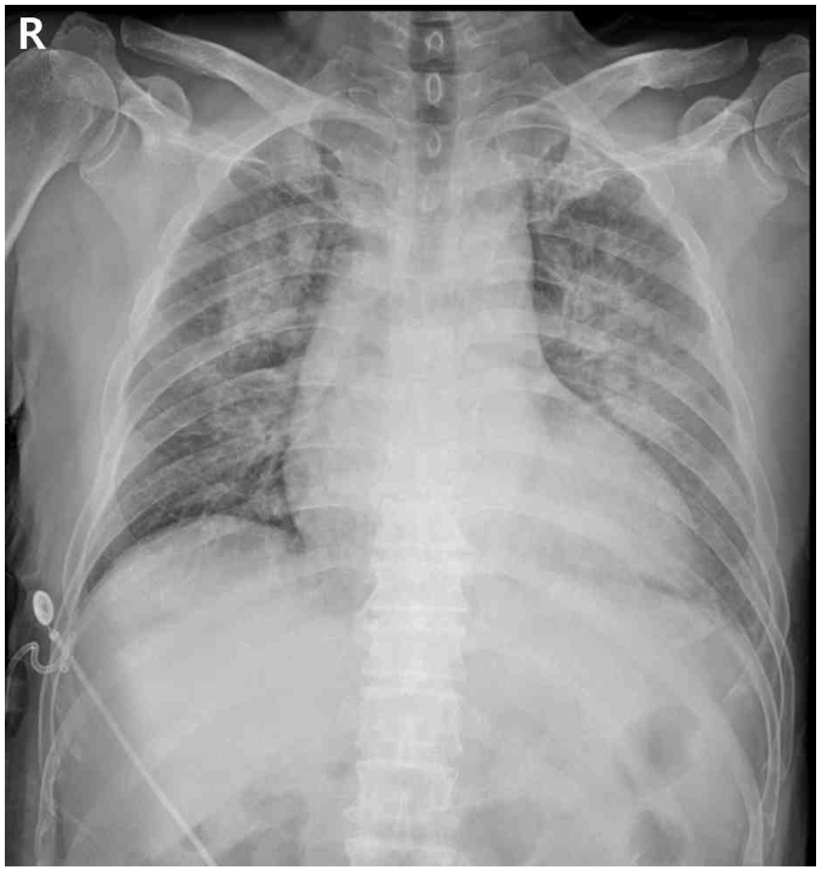
55세 남자가 1일 전부터 숨이 차서 병원에 왔다. 7일 전부터 열이 나고 전신 쇠약감을 느꼈고, 1일 전부터 숨도 차기 시작했다고 한다. 혈압 107/55 mmHg, 맥박 102회/분, 호흡 26회/분, 체온 38.3°C이다. 복장뼈 왼쪽 3번째 갈비사이공간에서 확장기 심잡음이 들린다. 가슴 X선사진과 심전도이다. 혈액검사 결과는 다음과 같다. 검사는?

혈색소 11.8 g/dL, 백혈구 18,040/mm³, 혈소판 159,000/mm³

혈액요소질소/크레아티닌 10.7/0.6 mg/dL

C반응단백질 175.8 mg/L (참고치, <10)

트로포닌 T 8.7 ng/L (참고치, <14)

뇌나트륨배설펩타이드 3,696 pg/mL (참고치, <100)

정답률 98%

누적 풀이 횟수 2,300+

평균 풀이 시간48초

/

나의 풀이 시간0

CC

M/55, 호흡곤란(1d)

Hx

S/Sx

발열/전신쇠약감(7d)

V/S 107/55 102 26 38.3, 흉골좌연 3rd ICS diastolic murmur

Lab

WBC↑, CRP↑, BNP↑

Img

CXR: Cardiomegaly, pulmonary edema

Etc

ECG: Sinus tachycardia

Imp: R/O 감염 심내막염(infective endocarditis, IE), R/O 대동맥판 역류(aortic regurgitation, AR)

해설

Lt 3rd ICS에서 diastolic murmur를 통해 판막병증과 발열, WBC, CRP의 증가와 같은 감염력이 확인되므로 vegetation 확인을 통한 IE 진단을 위해 심초음파검사를 시행한다.

• 55세 남자가 1일 전부터 시작된 호흡곤란으로 내원하였다.

• CXR 상 cardiomegalypulmonary edema가 확인되며 혈액검사상 BNP가 상승했으므로 HF에 의한 호흡곤란임을 알 수 있다.

• 7일 전부터 발열, 전신 쇠약감이 있으며 혈액검사 상 WBC, CRP가 상승했으며 심잡음이 들리므로 HF의 원인으로 IE를 의심할 수 있다.

Lt. 3rd ICS에서 diastolic murmur가 들리므로 AR이 있음을 파악할 수 있다. 본 증례의 환자의 기저 AR로 인해 IE가 발생했을 수도 있고, 혹은 드물지만 IE로 인해 AR이 발생하였을 수도 있다.

• 따라서 심초음파 검사를 통해 vegatation을 확인하여 IE를 진단해야하며, 추가로 HF와 AR에 대한 평가도 시행한다.

Tip

• 본 증례는 IE 진단을 위해 혈액배양검사도 함께 시행해야한다.

• 만일 상환이 심초음파 검사를 통해 확인된 IE로 인해 발생한 HF와 AR이라면 HF와 pulmonary edema가 동반되었으므로 항생제 치료와 함께 수술을 해야한다.

감염심내막염 정리

위험요인

• IE 병력, 판막질환, 인공 판막, 선천성 심질환, 기타 심장 구조적 이상 등

임상양상

• 발열 + 심잡음

• 호흡곤란, 부정맥, 뇌졸중, 기타 arterial emboli

• Peripheral signs: Splinter hemorrhage, Osler's node, Janeway lesion 등

진단

• 심초음파: 경흉부(TTE) → 경식도(TEE)

• 혈액배양: 1~2시간에 걸쳐 3쌍

치료

• 항생제: IV로 4~6주

• 수술: 심부전, 항생제 치료에도 감염 지속, 농양/샛길 등 합병증, vegetation ≥ 10 mm 등

예방

• 치과 치료 30~60분 전 amoxicillin 등

• 적응증: IE 병력, 인공판막, 교정되지 않은 선천성 청색증 심질환 등

오답 선지

• 홀터감시: 하루에 여러번 갑작스러운 부정맥 발생 시 시행하는 심장의 전기생리 관련검사로 본 상황에서는 IE 진단을 위해 심초음파검사가 우선이다.

• 폐관류스캔: 폐절제술 후 폐기능 예측 및 폐색전증 진단에 사용하는 검사로 IE 관련 검사와는 거리가 멀다.

• 관상동맥조영: MI의 진단과 치료에 활용되는 방법으로 본 상황에서는 IE 진단을 위해 심초음파 검사가 우선시된다.

• 운동부하심전도: 안정형 협심증이 의심되는 환자에서 시행하는 부하검사로 본 상황에서는 IE 진단을 위해 심초음파 검사가 우선시된다.

관련 이론

감염 심내막염

대동맥판 역류

심부전 원인, 증상, 진단

Reference

Harrison 21e, pp.1022-1034

ESC guideline, 2023