호흡곤란

/

506

/

506

411번

[MD25]

0

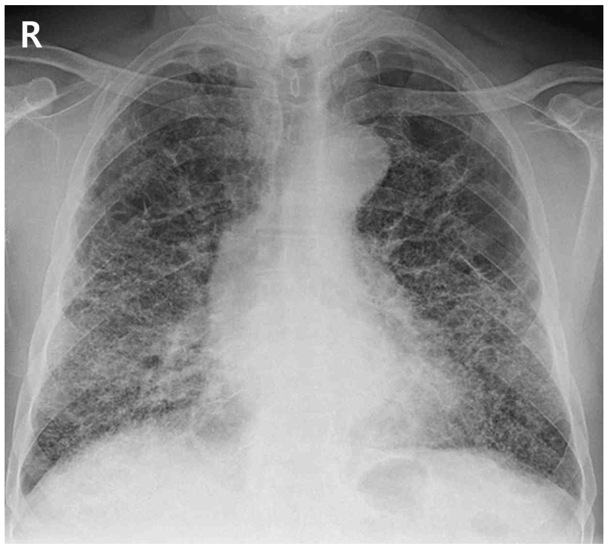
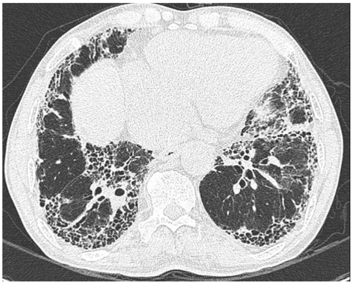
58세 남자가 1개월 전부터 숨이 더 찬다며 병원에 왔다. 6년 전 특발폐섬유증으로 진단되어 항섬유화제를 복용 중이다. 호흡곤란은 최근 3년간 점차 진행하여 최근에는 가만히 있을 때도 숨이 차서 집에서 코삽입관 산소 3 L/분 투여 중이다. 30갑•년의 과거 흡연자이다. 혈압 124/86 mmHg, 맥박 118회/분, 호흡 28회/분, 체온 36.6°C이다. 양쪽 가슴에서 거품소리가 들리고 양쪽 곤봉손가락이 관찰된다. 가슴 X선사진과 가슴 컴퓨터단층촬영 사진이다. 검사 결과는 다음과 같다. 고려할 수 있는 치료는?

혈색소 15.5 g/dL, 백혈구 9,000/mm³, 혈소판 285,000/mm³

C반응단백질 2.4 mg/L (참고치, <10)

동맥혈기체(코삽입관 산소 5L/분):

pH 7.39

PaCO2 45 mmHg

PaO2 60 mmHg

HCO3- 26 mmol/L

정답률 80%

누적 풀이 횟수 2,400+

평균 풀이 시간43초

/

나의 풀이 시간0

CC

M/58, 호흡곤란(1m)

Hx

IPF on med(6y), home O2(3L/min)

흡연: 30갑년

S/Sx

V/S 124/86 118 28 36.6, bilateral rale

Lab

ABGA(nasal O2 5L/min): PaO2↓, PaCO2

Img

CXR: Increased reticular markings

CT: UIP pattern

Etc

Imp: 특발성 폐섬유증(idiopathic pulmonary fibrosis, IPF)

해설

일상생활이 불가능할 정도의 호흡곤란과 항섬유제 치료에도 반응하지 않는 중증 IPF 환자에 대해 폐이식을 고려한다.

• 58세 남자가 1개월 전부터 악화호흡곤란을 주호소로 내원하였다.

• 6년 전 특발폐섬유증 진단 후 항섬유화제 복용 중인 자로, 호흡곤란은 최근 3년간 진행하여 현재 mMRC grade 4 정도로 가정 내 산소치료가 필요할 정도이다.

• CXR상 폐 전반에 reticular marking이 증가되어 있으며 자세한 평가를 위해 시행한 HRCT에서 subpleural/basal predominance, honeycombing, reticular abnormality의 통상성 간질성 폐렴(UIP) pattern이 관찰되고 있다. 이는 IPF에서 전형적으로 나타나는 영상학적 소견으로, 환자의 악화된 호흡곤란은 새로운 원인보다는 기존에 진단받은 IPF가 진행함에 따라 발생한 것으로 판단된다.

• IPF의 근본적인 치료는 폐이식이다. 폐이식을 고려해야 하는 시점은 영상학적 또는 조직학적으로 통상성 간질성 페렴이 확인되면서 폐확산능, 폐활량 감소 등의 폐기능 저하 소견 또는 폐고혈압이 동반될 때이다. 이외의 경우에는 항섬유화제를 사용하여 병의 진행을 늦추는 치료를 시행한다.

• 해당 환자의 경우 세부적인 검사 결과는 제시되지 않았으나, 항섬유화제를 사용했음에도 증상이 악화되었으며, 동맥혈가스분석에서 산소치료에도 불구하고 저산소혈증이 지속되고 있어 폐기능이 현저히 저하된 상태로 판단된다.

• 따라서 해당 환자에게 고려되어야 하는 치료는 폐이식이다.

Tip

ILD 정리

원인

• 특발성: IPF 등

• 결체조직질환: SSc, RA, PM/DM, SLE

• 육아종: GPA, EGPA, HP

• 직업/환경 노출: 규폐증, 석면폐증

임상양상

• 마른 기침, 진행성 호흡곤란

• 양쪽 아랫가슴 수포음

검사소견

• CXR: Reticular pattern

• PFT: Restrictive pattern

진단

• HRCT: Subpleural/basal honeycombing → IPF 진단

• VATS lung Bx: CT상 IPF 진단 불가시

치료

• IPF: Pirfenidone/nintedanib

• IPF 급성악화: Systemic steroid 고려 가능

오답 선지

• 항생제: 발열 및 기타 세균 감염의 증거를 확인할 수 없으므로 배제할 수 있다.

• 항곰팡이제: 진균감염의 증거를 확인할 수 없으므로 배제할 수 있다.

• 폐용적축소술: 호흡곤란을 호소하는 폐기종 환자의 치료에서 사용되며, 과팽창된 폐 일부를 절제하여 폐기능을 개선시키는 수술이다.

• 면역억제제 추가: IPF의 치료에 사용되지 않는다.

관련 이론

간질성 폐질환