호흡곤란

/

506

/

506

410번

[MD25]

0

76세 남자가 6개월 전부터 숨이 찬다며 병원에 왔다. 빠른 걸음으로 걸을 때 숨이 많이 차고, 3년 전부터 기침과 가래가 나왔다고 한다. 20대부터 22년간 광부로 일했으며 30갑•년 흡연자이다. 혈압 120/80 mmHg, 맥박 80회/분, 호흡 20회/분, 체온 36.8°C이다. 양쪽 가슴에서 호흡음이 감소되어 들린다. 가슴 X선사진과 가슴 컴퓨터단층촬영 사진이다. 검사는?

정답률 89%

누적 풀이 횟수 2,300+

평균 풀이 시간39초

/

나의 풀이 시간0

CC

M/76, 호흡곤란(6m)

Hx

직업력: 광부(22y)

흡연: 30갑년

S/Sx

운동 시 호흡곤란, 기침/가래(3y)

V/S 120/80 80 20 36.8, bilateral decreased lung sound

Lab

Img

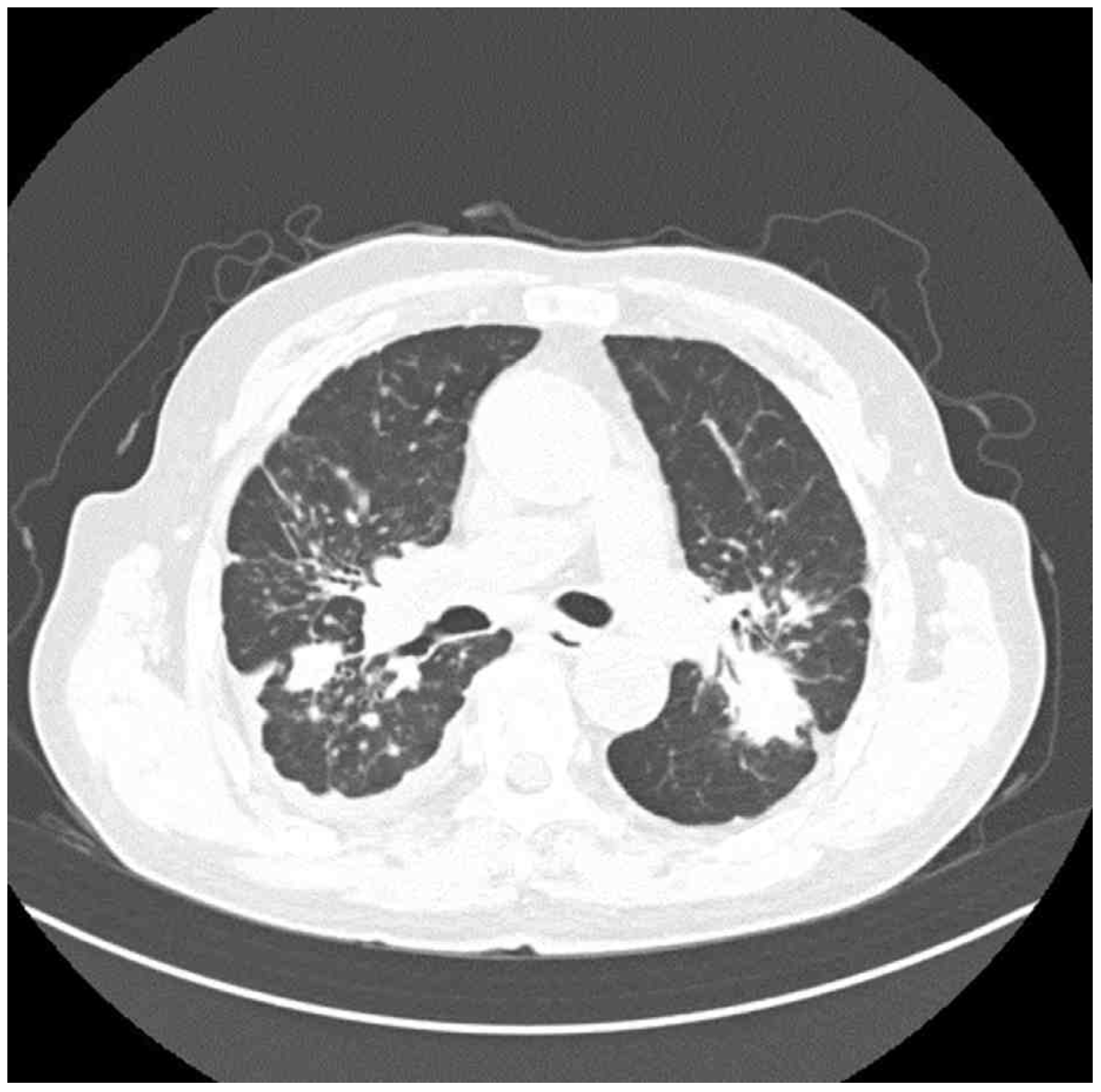
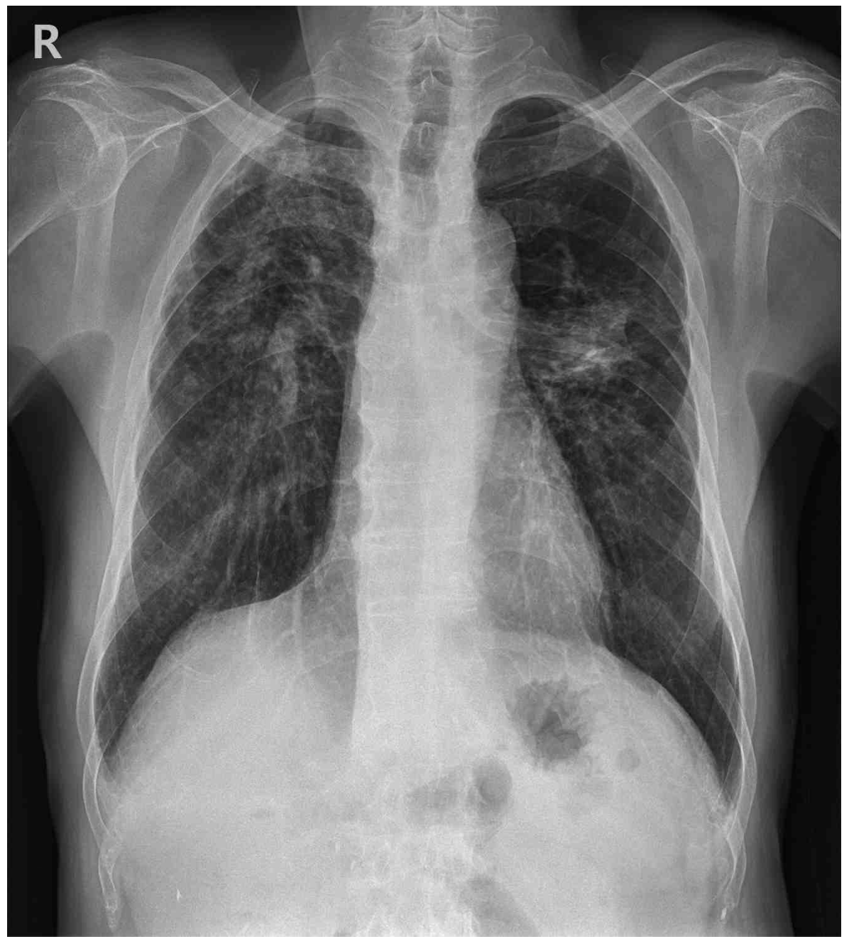
CXR: Bilateral patchy consolidation

CT: Multiple nodules, masses, GGO

Etc


Imp: 규폐증(silicosis), 진행성거대섬유화(progressive massive fibrosis, PMF)

해설

규폐증의 초기 평가로 PFT를 시행하여 환자의 호흡 기능 저하 정도를 파악한다.

• 76세 남자가 6개월 전부터 시작된 호흡곤란을 주호소로 내원하였다.

• 호흡곤란은 운동 시 악화되는 양상을 보이며, 3년 전부터 기침과 가래 등의 호흡기 증상이 동반되었던 점을 고려할 때 만성적인 경과를 보인 것으로 판단된다.

22년간 광부로 근무한 직업력을 고려하면 직업성 폐질환을 의심해야 하며, 청진에서 양측 폐의 호흡음이 감소한 점을 볼 때 흉수, 무기폐 등의 병변이 동반되었을 가능성을 추가로 확인할 필요가 있다.

• 흉부 X선 검사에서 양측 폐야에 patchy consolidation이 관찰되었으며, 흉부 컴퓨터단층촬영에서 다수의 결절, 종괴 및 간유리 음영이 확인되었다. 특히, 상엽 부위에서 대칭적으로 위치한 종괴가 관찰되는 점을 고려할 때 규폐증으로 인한 진행성 거대 섬유화 가능성이 높다고 판단된다.

• 규폐증을 진단하기 위해서는 silica에 대한 노출력, 특징적인 영상 소견, 그리고 유사한 증상을 유발할 수 있는 다른 폐질환이 배제되어야 한다. 해당 환자의 경우, 22년간의 직업력과 진행성 거대 섬유화를 시사하는 영상 소견이 확인되고 있으며, 타 질환을 의심할만한 소견이 제시되지 않았으므로 만성 규폐증으로 진단할 수 있다.

• 만성 규폐증 환자의 초기 평가에서 중요한 도구는 폐기능 검사이다. 오랜 기간 silica에 노출되는 경우 결절성 석회화들이 서로 융합하여 PMF를 형성하며, 이 경우 유의미한 폐기능의 저하를 일으킬 수 있다. 따라서 PFT를 시행하여 환자의 폐기능을 먼저 평가하여야 한다.

오답 선지

• 폐관류스캔: 폐 절제술 후 폐기능 예측을 위해 시행될 수 있으나 규폐증 환자의 폐기능 평가에서는 사용되지 않는다.

• 분획날숨산화질소: 기도 염증을 반영하는 지표로 천식 치료의 반응성을 평가하는 데 사용된다.

• 가슴 자기공명영상: Chest CT에서 규폐증에 대한 자세한 영상소견을 확인할 수 있으므로 추가적인 영상검사는 우선되지 않는다.

• 메타콜린기관지유발검사: 천식이 의심되는 환자에서 baseline PFT가 정상인 경우 시행한다.

관련 이론

직업성 폐질환

Reference

Harrison 21e, pp.2166-2173

Murray & Nadel 7e, pp.1582-1587