호흡곤란

/

506

/

506

409번

[MD25]

0

46세 여자가 2일 전부터 숨이 찬다며 병원에 왔다. 5일 전 콧물이 나고 근육통과 열감이 있었다. 3일 전부터 가래 섞인 기침을 하고 점점 심해졌다고 한다. 비흡연자이다. 혈압 80/50 mmHg, 맥박 116회/분, 호흡 36회/분, 체온 38.2°C 이다. 진찰 중에 자꾸 자려고 한다. 양쪽 가슴에서 거품소리가 들린다. 가슴 X선사진과 가슴 컴퓨터단층촬영 사진이다. 검사 결과는 다음과 같다. 처치는?

혈색소 10.5 g/dL, 백혈구 14,100/mm³ (중성구 90 %), 혈소판 279,000/mm³

뇌나트륨배설펩타이드 10 pg/mL (참고치, <100)

동맥혈기체(산소마스크 10 L/분): pH 7.36

PaCO₂ 44 mmHg, PaO₂ 52 mmHg, HCO₃⁻ 24 mmol/L SaO₂ 86%

정답률 83%

누적 풀이 횟수 2,200+

평균 풀이 시간52초

/

나의 풀이 시간0

CC

F/46, 호흡곤란(2d)

Hx

S/Sx

콧물/근육통/열감(5d), 기침/가래(3d)

V/S 80/50 116 36 38.2, M/S drowsy, bilateral rale

Lab

Hb↓, WBC↑(neutrophil↑)

Img

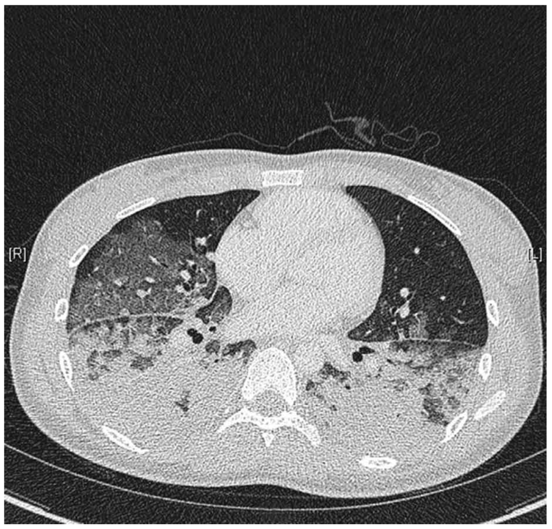
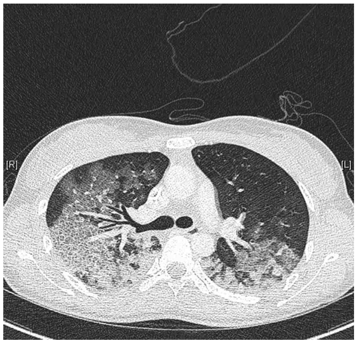
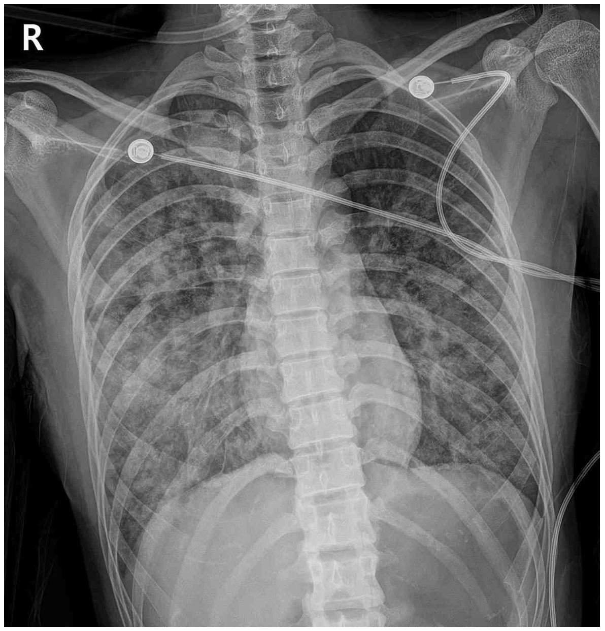
CXR: Bilateral diffuse opacity

CT: Diffuse bilateral opacities and GGOs

Etc

ABGA(O₂ mask 10L): PaO₂↓, SaO₂↓

Imp: 급성호흡곤란증후군(acute respiratory distress syndrome, ARDS)

해설

의식이 저하된 환자에서 respiratory fatigue를 방지하고 산소화 증진을 위해 기관내삽관 및 인공 환기를 시행한다.

• 46세 여자가 2일 전부터 시작된 호흡곤란을 주호소로 내원하였다.

• 호흡기 증상과 전신 증상이 5일 전에 시작하여 악화되고 있다. qSOFA를 계산해보면 SBP < 100mmHg, RR > 22/min 및 altered mental status가 관찰되므로 최소 2점 이상이며 발열 및 neutrophil-dominant leukocytosis가 관찰되므로 폐렴 등 호흡기계 감염에 의해 촉발된 패혈성 쇼크가 의심된다.

• 더불어 1주일 이내 호흡증상이 시작되었고, CXR 및 chest CT 등 영상 소견에서 bilateral diffuse opacity를 관찰할 수 있으며, BNP가 참고치 이내로 심부전 및 체액 과부하의 증거가 없고 PaO2/FiO2 = 52/0.5~0.6 ≤ 300mmHg으로 hypoxemia가 확인된다. 따라서 해당 증례는 Berlin definition의 네 가지 기준을 모두 만족하므로 급성호흡곤란증후군으로 진단할 수 있다.

• 현재 환자는 의식 저하가 관찰되는 상황이며 이 경우 스스로 기도를 유지하기 어렵다고 판단되므로 기관 삽관 및 기계 환기를 통해 기도를 확보하여야 한다.

Tip

산소 공급 방법

유량 (L/min)

FiO2 예상치

비강 캐뉼라

2

28

4

35

6

40~45

단순 산소 마스크

5

35~40

10

50~60

비재호흡 마스크

15

95

ARDS 정리

원인

폐렴, 패혈증, 흡인, 외상 등

진단

Berlin definition

1) 1주 이내에 새로운/악화되는 호흡증상

2) CXR/CT에서 bilateral diffuse opacity

3) 심부전이나 체액 과부하(fluid overload)에 기인한 것이 아님

4) PaO2/FiO2 < 300 mmHg (PEEP/CPAP 5 mmHg 적용 후)

치료

기계환기

1) 낮은 일회호흡량(tidal volume)

2) 낮은 고원부압력(plateau pressure)

3) 호기말양압(PEEP) 적용

4) 기타: 복와위(prone), steroid, ECMO 등

오답 선지

• 이뇨제: 체액 과부하에 의해 호흡곤란이 발생한 경우 사용할 수 있으나 해당 환자의 경우 호흡곤란이 체액 과부하에 의해 발생한 것이 아니며, 의식 저하가 관찰되어 자가기도 유지가 어렵다고 판단되므로 airway 확보가 우선되어야 한다.

• 농축적혈구 수혈: 출혈 등의 요인에 의해 발생한 저혈량성 쇼크가 아니고 빈혈 소견도 확인되지 않으므로 배제할 수 있다.

• 코삽입관 산소 10L/분 투여: 저농도의 산소공급이 필요할 경우 선택되며 일반적으로 6L/min 이상의 유량을 공급하지 않는다. 해당 증례의 경우 이미 산소마스크를 통한 산소 공급을 하고 있음에도 저산소혈증이 관찰되고 있으며 무엇보다 자가 기도 유지가 어려운 상황이므로 기관 삽관 및 기계호흡이 우선적으로 고려되어야 하는 방법이다.

• 비침습양압환기: 자발호흡이 불가능하거나 기도 유지가 어려운 경우 사용할 수 없다.

관련 이론

급성호흡곤란증후군

Reference

Harrison 21e, pp.2225-2230

ATS guideline, 2024