호흡곤란

/

506

/

506

408번

[MD25]

0

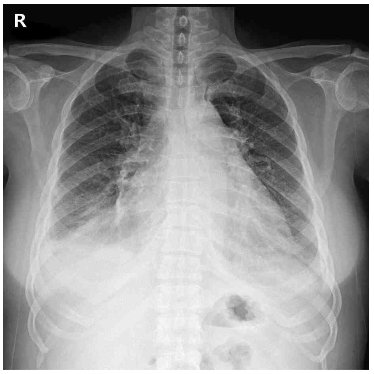
34세 여자가 1주 전부터 양쪽 다리가 붓고 숨이 차서 병원에 왔다. 1주 전에는 빨리 걸을 때에만 숨이 찼으나 지금은 평지를 조금만 걸어도 숨이 찬다고 한다. 1년 전부터 가슴이 두근거리고 손이 떨리며 더위를 참지 못하고, 체중이 10kg 줄었다고 한다. 혈압 120/70 mmHg, 맥박 120회/분, 호흡 20회/분, 체온 36.9 C이다. 앞목은 부어있고 압통은 없다. 심잡음은 들리지 않고 양쪽 등아랫부분에서 거품소리가 들린다. 양쪽 정강뼈앞 오목부종이 있다. 가슴 X선사진과 심전도이다. 검사는?

정답률 94%

누적 풀이 횟수 2,200+

평균 풀이 시간42초

/

나의 풀이 시간0

CC

F/34, 부종/호흡곤란(1w)

Hx

S/Sx

호흡곤란: NYHA II→III

두근거림, 손떨림, 체중감소(10kg), 더위불내증(1y)

V/S 120/70 120 20 36.9, nontender goiter, BLLF rale, pretibial pitting edema

Lab

Img

CXR: Cardiomegaly, pulmonary edema

Etc

ECG: LVH, sinus tachycardia

Imp: 갑상샘중독증(thyrotoxicosis)

해설

증상과 징후, 검사소견을 종합할 때 thyrotoxicosis 의심하, TFT를 실시한다.

• 34세 여자가 1주 전 시작된 부종호흡곤란을 주호소로 내원했다.

체중감소, 떨림, 더위불내증, 운동 중 호흡곤란, 심계항진(sinus tachycardia가 흔함) 등은 갑상샘중독증에서 나타나는 증상이다. 앞목 부음도 갑상샘중독증에서 관찰할 수 있는 소견이다.

• 한편, BLLF rale과 pretibial pitting edema, CXR상의 cardiomegaly와 pulmonary edema, ECG상 LVH 등 심부전을 시사하는 소견들이 관찰되는데, 갑상샘중독증에서는 심장에 부하가 증가하며 보상작용을 상실하면 심부전이 발생할 수 있다.

• 따라서 thyrotoxicosis 의심하, 진단을 위해 TFT를 실시한다.

Tip

갑상샘중독증의 접근

오답 선지

• 홀터감시, 관상동맥조영술, 목동맥초음파검사, 가슴 컴퓨터단층촬영: 일반적으로 thyrotoxicosis가 의심될 때 우선 고려되는 검사는 아니다.

관련 이론

갑상샘중독증

Reference

Harrison 21e, pp.2938-2945

ATA guideline, 2016