호흡곤란

/

506

/

506

415번

[MD25]

0

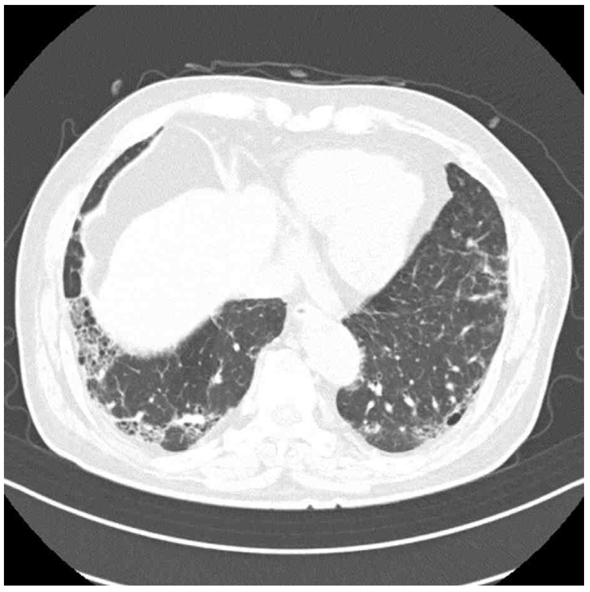
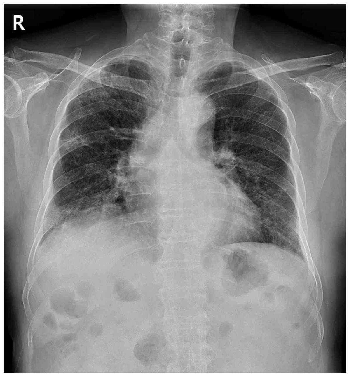
77세 남자가 1개월 전부터 숨이 찬다며 병원에 왔다. 오르막을 오를 때 숨이 차는 편이고 기침도 가끔씩 난다고 한다. 3년 전 류마티스관절염을 진단받았으나 치료하지 않았다. 48갑·년의 흡연자이다. 혈압 140/70 mmHg, 맥박 82회/분, 호흡 20회/분, 체온 36.4℃이다. 양쪽 가슴 청진에서 거품소리가 들린다. 가슴 X선사진과 가슴 컴퓨터단층촬영 사진이다. 검사 결과는 다음과 같다. 치료는?

혈색소 13.5 g/dL, 백혈구 9,000/mm³, 혈소판 285,000/mm³

C반응단백질 9 mg/L (참고치, <10)

혈액요소질소/크레아티닌 19/1.0 mg/dL

뇌나트륨배설펩티드 65 pg/mL (참고치, <100)

류마티스인자 72 IU/mL (참고치, <15)

항고리시트룰린펩티드(CCP)항체 양성

정답률 91%

누적 풀이 횟수 2,300+

평균 풀이 시간43초

/

나의 풀이 시간0

CC

M/77, 호흡곤란(1m)

Hx

Rheumatoid arthritis(3y, untreated)

흡연: 48갑년

S/Sx

호흡곤란(mMRC grade 1), 간헐적 기침

V/S 140/70 82 20 36.4, bilateral rale

Lab

RF(+), anti-CCP Ab(+)

Img

CXR: Bilateral reticular opacity

CT: Basal-predominant reticulation, GGO

Etc

Imp: 결체조직질환 연관 간질성폐질환(connective tissue disease related interstitial lung disease, CTD-ILD)

해설

RA에 동반된 CTD-ILD의 항염증 치료로 프레드니솔론을 사용한다.

• 77세 남자가 1개월 전부터 시작된 호흡곤란을 주호소로 내원하였다.

• 호흡곤란의 정도는 mMRC grade 1 정도이며, 48갑년의 흡연력이 있고 양쪽 청진상 rale이 확인되므로 호흡기계 질환을 원인으로 의심해보아야 한다.

CXR상 양측 폐야에 증가된 opacity가 관찰되며, 더 자세한 평가를 위해 실시한 chest CT상 basal-predominant reticulation, mild honeycombing 및 GGO가 관찰되므로 간질성 폐질환(ILD)이 강하게 의심된다.

• 해당 증례의 환자는 3년 전 이미 결체조직질환인 RA를 진단받은 자CTD-ILD(RA-ILD)일 가능성이 높다고 보이며, 혈액검사상 anti-CCP antibody(+), RF(+)도 이에 부합하는 소견이다. CTD-ILD로 의심되는 환자에서도 약제유발 ILD, 감염 등 다른 원인을 배제하여야 하여야 하며, 약물 복용력 및 감염력이 제시되지 않았으므로 CTD-ILD로 진단할 수 있다.

• RA에 ILD가 동반되었을 때는 고용량 전신 steroid를 사용해야 하며(일반적인 RA의 치료는 methotrexate 등의 DMARD이다), 보기 중 prednisolone이 이에 해당한다.

오답 선지

• 아시클로버: Herpes virus 감염에 대해 사용하는 약제이다.

• 퓨로세마이드: 호흡곤란이 volume overload에 의한 것일 때 사용할 수 있으나 현재 BNP가 참고치 이내이고 심부전 등 volume overload를 의심할만한 증거가 없으므로 배제할 수 있다.

• 아지트로마이신: Macrolide계 항생제로 체온과 CRP가 참고치 이내이며 기타 세균 감염을 시사하는 소견이 없으므로 항생제의 사용은 제한된다.

• N-아세틸시스테인: IPF 환자에 대해 스테로이드+면역억제제 치료에 NAC를 병용하여 사용할 수 있으나 단독으로 사용하지는 않는다.

관련 이론

간질성 폐질환

류마티스 관절염