호흡곤란

/

506

/

506

416번

[MD25]

0

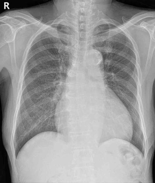
69세 남자가 6개월 전부터 숨이 차서 병원에 왔다. 평지에서 걷는 데는 지장이 없으나 계단으로 한 층을 오르면 쉬어야 할 정도라고 한다. 혈압 130/80 mmHg, 맥박 68회/분, 호흡 16회/분, 체온 36.1°C이다. 복장뼈 오른쪽 2번째 갈비사이공간에서 3/6도의 수축기 심잡음이 들리고, 오른쪽 경동맥에서 수축기 잡음이 들린다. 가슴 X선사진과 심전도이다. 진단은?

정답률 93%

누적 풀이 횟수 2,200+

평균 풀이 시간40초

/

나의 풀이 시간0

CC

M/69, 호흡곤란(6m)

Hx

S/Sx

활동 시 호흡곤란 악화

V/S 130/80 68 16 36.1, 흉골우연 2nd ICS systolic murmur, Rt. carotid systolic bruit

Lab

Img

CXR: Cardiomegaly

Etc

ECG: Left ventricular hypertrophy

Imp: 대동맥판협착증(aortic stenosis, AS)

해설

오른쪽 경동맥으로 방사되는 Rt 2nd ICS에 3/6도 수축기 심잡음이 들리므로 AS로 진단한다.

• 69세 남자가 6개월 전부터 시작된 호흡곤란으로 내원하였다.

• 심장 청진에서 오른쪽 경동맥에서 수축기 심잡음, Rt 2nd ICS에서 3/6도 수축기 심잡음이 들리므로 AS로 진단 가능하다.

• CXR에서는 cardiomegaly, ECG에서는 V4~6의 amplitude가 겹칠 정도로 높아진 left ventricular hypertrophy(LVH)가 확인된다.

• 환자의 활동 시 악화되는 호흡곤란LVH는 만성적인 AS로 인해 발생한 것이다.

Tip

판막질환 심잡음

AS 정리

임상양상, 검사소견

흉골우연 2nd ICS mid-systolic ejection murmur

목으로 방사되는 심잡음

ECG: LVH, lateral lead T wave inversion

치료

혈압조절, 흉통완화

ACEi/ARB, BB, nitroglycerin

AV area ≤ 1.0 cm2

Vmax ≥ 4 m/s

ΔPmean ≥ 40 mmHg

유증상 or LVEF < 50% → AV replacement 시행

< 65세: Surgical AV replacement

> 80세, 중증 전신적 기저질환: TAVI

오답 선지

• 삼첨판역류: 흉골좌연 4th ICS 범수축기 심잡음이 들린다.

• 승모판역류: 심첨부 범수축기 심잡음이 들린다.

• 동맥관개존증: 성인의 경우 흉골 좌상연에서 수축기, 이완기 모두 continuous murmur가 들린다.

• 대동맥판역류: 흉골좌연 3rd ICS 확장기 심잡음이 들린다.

관련 이론

대동맥판 협착

Reference

Harrison 21e, pp.1978-1986

AHA guideline, 2020

ESC guideline, 2021