호흡곤란

/

506

/

506

417번

[MD25]

0

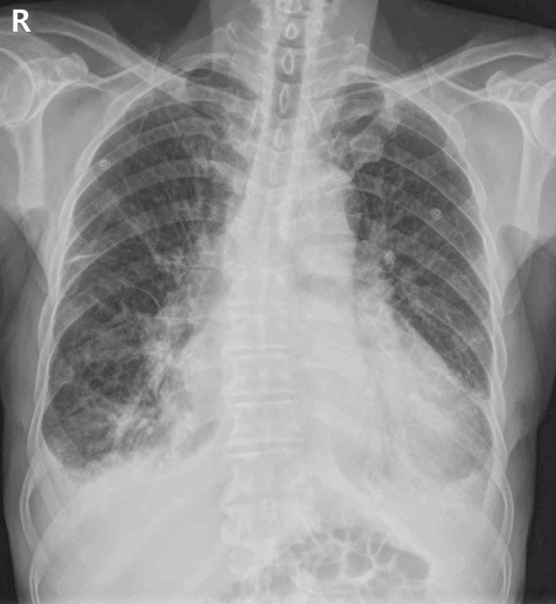
48세 남자가 3일 전부터 숨이 차서 병원에 왔다. 혈압 120/82 mmHg, 맥박 61회/분, 호흡 20회/분, 체온 36°C이다. 맥박은 규칙적이나 제3심음과 말굽심음이 들리고 양쪽 등아랫부분에서 거품소리가 들린다. 가슴 X선사진과 심전도이다. 검사 결과는 다음과 같다. 치료는?

혈액 : 혈액요소질소/크레아티닌 24/1.3 mg/dL

Na+/K+ 138/5.1 meq/L

트로포닌 T 8.4 ng/L (참고치, <14)

뇌나트륨배설펩타이드 3,219 pg/mL (참고치, <100)

심초음파 : 좌심실 수축기말 직경 49mm (참고치, <40)

좌심실 이완기말 직경 61 mm (참고치, <60)

좌심실 박출률 38% (참고치, 55~ 70)

좌심실 전체벽 운동감소증 있음

정답률 91%

누적 풀이 횟수 2,200+

평균 풀이 시간48초

/

나의 풀이 시간0

CC

M/48, 호흡곤란(3d)

Hx

S/Sx

V/S 120/82 61 20 36, S3 gallop, BLLF rale

Lab

BNP↑

Img

CXR: Cardiomegaly, pulmonary edema, bilateral pleural effusion

Echo: LVESD↑, LVEDD↑, LVEF↓, global LV hypokinesia

Etc

ECG: Low QRS voltage, lateral leads T wave inversion

Imp: 급성 비보상성 심부전(acute decompensated heart failure, ADHF)

해설

3일 만에 악화된 호흡곤란과 BNP 상승, 심초음파 상 LVEF의 감소, CXR에서 pulmonary edema 소견을 통해 급성 비보상성 심부전으로 진단하고 호흡곤란 증상 개선을 위해 loop diuretics인 퓨로세마이드를 투여한다.

• 48세 남자가 3일 전부터 시작된 호흡곤란으로 내원하였다.

• 심장청진에서 S3 gallop이 들리므로 심장성 원인에 의한 호흡곤란을 의심할 수 있다.

• CXR에서 cardiomegaly와 함께 혈액검사에서 BNP의 상승을 보이므로 HF일 가능성이 높다.

• 심초음파 결과에서 좌심실 수축기말 직경(LVESD), 좌심실 이완기말 직경(LVEDD) 증가LVEF 감소는 심장 systolic function의 저하를 나타낸다.

• CXR에서 pulmonary edema가 확인되므로 체액 저류가 현저하며, 급성 호흡곤란 증상이 나타난다. 이는 심장 기능 이상에 의한 것으로 ADHF로 진단할 수 있다.

ADHF에서 호흡곤란의 원인인 체액 저류를 완화하기 위해 loop diuretics퓨로세마이드를 투여한다.

Tip

심부전 정리

원인

관상동맥질환, 고혈압, 판막질환, 심근병증, 기타 전신질환 등

임상양상

호흡곤란, 부종, 피로/어지러움, S3 gallop 등

진단

BNP↑ → 심초음파 → CT/MR/수면다원검사 등 추가 가능

HFrEF 치료

(LVEF ≤ 40%)

1차 치료: ARNI/ACEi/ARB, BB, MRA, SGLT2i, loop diuretics(필요시)

기타: Ivabradine(HR ≥ 70), H-ISDN(흑인), CRT(wide QRS), ICD(post-MI 등)

HFpEF, HFmrEF 치료

Loop diuretics(필요시) + HFrEF와 유사(근거수준 다소 낮음)

ADHF 치료

Loop diuretics + vasodilator + inotropic

오답 선지

• 딜티아젬: Non-DHP CCB로 항고혈압약제이며, negative inotropic effect가 있으므로 ADHF에서 금기이다.

• 미녹시딜: 말초혈관확장제로 ADHF 치료에 일차적으로 사용하지 않는다.

• 암로디핀: DHP CCB로 항고혈압약제이며, ADHF의 치료에 사용되지 않는다.

• 이바브라딘: 만성 HFrEF에서 1차 치료 약제에도 불구하고 HR이 70 이상일 경우 고려하는 2차 치료제로 βB, 이바브라딘과 같은 HR을 낮추며 negative inotropic effect가 있는 약물은 ADHF에서 금기이다.

관련 이론

심부전 치료

Reference

Harrison 21e, pp.1940-1953

AHA guideline, 2022

ESC guideline, 2021