451번
[임종평23-2]
0
84세 여자가 1주 전부터 숨이 찬다며 응급실에 왔다. 한 달 전 등뼈 골절 이후 거의 누워 지냈다고 한다. 혈압 110/56 mmHg, 맥박 110회/분, 호흡 20회/분, 체온 36.5℃ 이다. 가슴청진에서 심음은 빠르고 규칙적이며 심잡음은 들리지 않는다. 혈액검사 결과는 다음과 같다. 가슴 컴퓨터단층촬영 사진이다. 치료는?
D이합체 4.53 mg/L (참고치, <0.5)
혈액요소질소/크레아티닌 12/0.75 mg/dL

정답률 98%
누적 풀이 횟수 1,600+
평균 풀이 시간21초
/
나의 풀이 시간0초
CC | F/84, 호흡곤란(1w) |
Hx | Spine fracture on near-absolute bed rest(1m) |
S/Sx | V/S 110/56 110 20 36.5, fast/regular pulse |
Lab | D-dimer↑ |
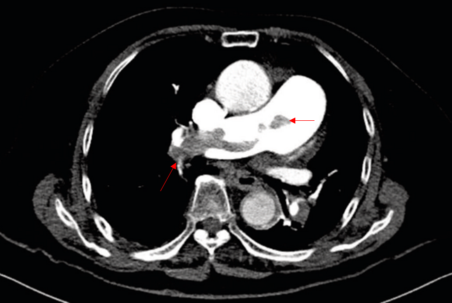
Img | CT: Filling defect at Rt. main pulmonary artery |
Etc |
Imp: 폐색전증(pulmonary thromboembolism, PTE)
해설
CT상 PTE가 확인되나 V/S stable하므로 anticoagulant인 heparin을 투여한다.
• 84세 여자가 1주 전 시작된 호흡곤란을 주호소로 내원했다.
• 환자가 1개월 간 bed rest 중이었으며 D-dimer elevation이 저명하므로 PTE를 반드시 의심해야 한다.
• PTE 진단을 위해 CT를 시행, Rt. main pulmonary artery에 매우 큰 thrombus가 확인된다. 따라서 PTE로 진단한다.
• PTE의 치료는 V/S stable할 경우 금기증이 없는 한 anticoagulant를 투여한다. 본 환자는 anticoagulant의 금기라고 볼 만한 요소가 확인되지 않으므로 우선 투여해야 한다. 보기 중 heparin이 이에 해당한다.
Tip
• 폐색전증 진단 및 치료
오답 선지
• 도부타민(dobutamine): Cardiogenic shock 환자에게 혈압 상승을 목적으로 투여하는 강심제이다.
• 심장막천자(pericardiocentesis): Cardiac tamponade 환자에게 시행한다. 본 증례는 CT상 pericardial effusion이 저명하지 않다.
• 심장막절제술(pericardiectomy): Constrictive pericarditis 등이 있을 때 시행을 고려한다. 본 증례는 CT상 pericardial calcification 등이 저명하지 않고, 호흡곤란을 제외하면 constrictive pericarditis를 의심할 만한 요소가 없다.
• 심장동맥중재술(coronary intervention): Coronary artery disease 환자에게 coronary revascularization을 위해 시행할 수 있다. 본 증례는 호흡곤란 외 cardiac Sx이 없으며, 호흡곤란의 원인이 PTE임이 명확하므로 부적절하다.
관련 이론
• 폐색전증
Reference
• Harrison 21e, pp.2091-2101