흉통/흉부불편감

/

221

/

221

164번

[MD25]

0

73세 여자가 6시간 전부터 등과 가슴이 아파서 응급실에 왔다. 처음에 등이 찢어지듯 아팠고, 이후 가슴도 아팠다. 가슴 통증은 호흡에 따라서 변화하지는 않았다. 혈압 160/110 mmHg, 맥박 98회/분, 호흡 18회/분, 체온 36°C이다. 심음과 호흡음은 정상이다. 혈액검사 결과는 다음과 같다. 가슴 X선사진과 심전도이다. 검사는?

혈액요소질소/크레아티닌 18/0.9 mg/dL

크레아틴인산화효소 MB동종효소 2.1 ng/mL (참고치, 0.6~6.3)

트로포닌 T 5.3 ng/L (참고치, <14)

뇌나트륨배설펩타이드 45 pg/mL (참고치, <100)

D이합체 241 ng/mL (참고치, 220~740)

정답률 93%

누적 풀이 횟수 2,800+

평균 풀이 시간34초

/

나의 풀이 시간0

CC

F/73, 등통증/흉통(6h)

Hx

S/Sx

등이 찢어지듯 아픔, 이후 흉통 발생, 흉통은 호흡에 따라 변하지 않음

V/S 160/110 98 18 36

Lab

정상

Img

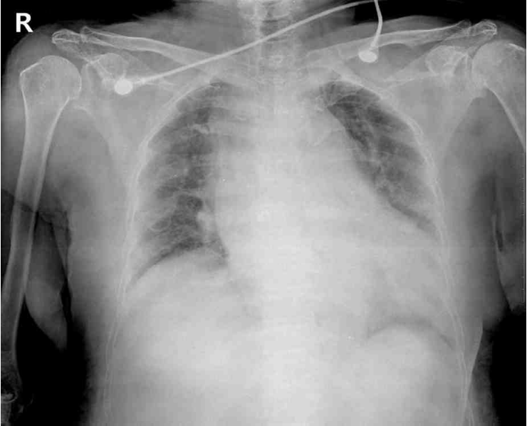
CXR: Mediastinal widening

Etc

ECG: Normal sinus rhythm

Imp: R/O 대동맥 박리(aortic dissection, AD)

해설

갑작스럽게 발생한 등과 가슴의 찢어지는 듯한 통증과 함께 CXR에서 mediastinal widening이 관찰되므로 AD가 의심되어 정확한 진단을 위해 가슴 컴퓨터단층촬영을 시행한다.

• 73세 여자가 6시간 전부터 시작된 등과 가슴의 통증으로 응급실에 내원하였다.

• 흉통은 갑작스럽고 찢어지는 듯한 통증이었다.

• CXR에서 mediastinal widening이 확인되므로 AD가 제일 의심이 된다.

• 따라서 AD의 진단을 위해 가슴 및 복부 컴퓨터단층촬영을 실시하여 intimal flap, false lumen을 확인한다.

Tip

급성 대동맥 증후군 정리

임상양상

극심한 흉통: 급성, 찢어지는 듯한 양상

흉통이 뻗치는 곳이 박리의 위치와 관련이 있음

검사소견

CXR: Mediastinal widening

진단

CT: Intimal flap, false lumen

치료

IV β blocker (+ vasodilator)

Type A: 대동맥 수술

Type B & 파열, malperfusion: 대동맥 시술

오답 선지

• 관상동맥조영술: MI 진단과 치료를 동시에 할 수 있는 방법으로 본 환자는 ECG 및 심근효소가 정상이며 등쪽 방사통을 호소하므로 MI가 아니다.

• 운동부하심전도: 안정형 협심증 진단에 활용하는 검사로 본 환자는 AD가 의심되므로 흉부 CT 촬영이 우선이다.

• 양전자방출단층촬영: 악성종양의 진단과 전이성 병변을 확인하는 검사로 본 환자는 AD가 의심되므로 흉부 CT 촬영이 우선이다.

• 아데노신부하 99m테크네튬 심근관류스캔: 운동이 불가능하거나 baseline ECG가 비정상인 환자에서 안정형 협심증 진단에 활용하는 검사로 본 환자는 AD가 의심되므로 흉부 CT 촬영이 우선이다.

관련 이론

급성 대동맥 증후군

Reference

Harrison 21e, pp.2104-2106

AHA guideline, 2022