흉통/흉부불편감

/

221

/

221

165번

[MD25]

0

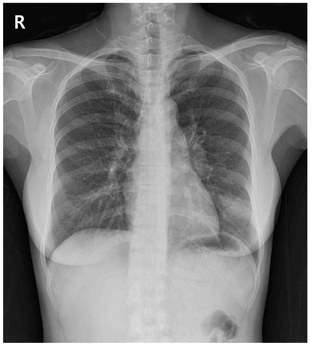
55세 여자가 1개월 전부터 오른쪽 가슴이 아파서 병원에 왔다. 2개월 전부터 심하게 피로했으며 2주 전부터 오른쪽 겨드랑이에서 덩이가 만져진 후 빠르게 커졌다고 한다. 35갑•년의 흡연자 이다. 혈압 110/80 mmHg, 맥박 68회/분, 호흡 16회/분, 체온 36.5 °C이다. 오른쪽 겨드랑이가 부어 있으며 만졌을 때 단단하면서 압통이 관찰된다. 심음과 호흡음은 정상으로 들린다. 가슴 X선 사진과 가슴 컴퓨터단층촬영 사진이다. 혈액 검사 결과는 다음과 같다. 우선 시행할 검사는?

혈색소 10.5 g/dL, 백혈구 6,800/mm³, 혈소판 230,000/mm³

아스파트산아미노기전달효소 80 U/L

알라닌아미노기전달효소 95 U/L

알칼리성인산염분해효소 120 U/L

정답률 87%

누적 풀이 횟수 2,700+

평균 풀이 시간52초

/

나의 풀이 시간0

CC

F/55, 흉통(1m, Rt.)

Hx

흡연: 35갑년

S/Sx

오른쪽 겨드랑이 덩이 촉지 및 급속 성장(2w), 심한 피로(2m)

V/S 110/80 68 16 36.5, Rt. axilla firm, tender mass

Lab

AST/ALT↑, ALP↑

Img

CXR: LLLF mass, Rt. axillary mass

CT: LLLF mass, Rt. axillary mass, multiple metastatic lesion in liver

Etc

Imp: 폐암(lung cancer), stage IV

해설

중심 기도와 인접하지 않은 폐암 의심 병변의 확진을 위해 폐 피부경유가는바늘생검을 시행한다.

• 55세 여자가 1개월 전 시작된 오른쪽 가슴 통증을 주호소로 내원하였다.

• 환자는 오른쪽 겨드랑이에 덩이가 있으며, 빠르게 성장하고 단단한 양상을 보인다. 또한 오랜 흡연력이 있는 점을 고려할 때 악성 종양의 가능성을 의심해야 한다.

• 흉부 X선 검사에서 오른쪽 겨드랑이와 LLLF에 종괴가 관찰되었으며, 추가로 시행한 컴퓨터단층촬영에서 동일 부위에 병변이 명확히 확인되었다. 더불어 간에도 여러 개의 종괴가 관찰되었으며, 간기능검사 수치가 상승한 소견과 종합할 때 암의 전이성 병변으로 추정된다.

악성 종양의 확진을 위해서는 조직검사가 필수적이다. 현재 폐 좌하엽의 종괴는 불규칙한 경계를 보이며 중심기도에 인접하지 않은 peripheral lesion이므로, 중심 기도를 통한 기관지경유 조직검사보다 경피적 접근이 더 적합하다.

• 따라서 폐 피부경유가는바늘생검을 시행하여 조직검사를 진행해야 한다.

오답 선지

• 유관조영술: 관내 유두종 등 유관의 구조적인 변형을 일으키는 병변의 진단에서 US/MAM에서 명확히 병변을 확인하지 못한 경우 시행할 수 있다.

• 가슴막천자: 흉수의 존재가 확인되는 경우 더 자세한 진단을 위해 시행한다.

• 전신뼈스캔: 암의 뼈 전이를 확인하기 위해 시행하는 검사이나 해당 증례의 경우 암으로 의심되는 병변에 대한 진단이 선행되어야 한다.

• 간담도섬광조영: 담즙의 생산부터 소장까지의 이동 경로를 영상학적으로 확인하여 담관 폐색, 담즙 누출 등을 진단할 때 사용된다.

관련 이론

폐암

Reference

Harrison 21e, pp.594-604