흉통/흉부불편감

/

221

/

221

166번

[MD25]

0

72세 남자가 7일 전부터 가슴이 답답하다며 병원에 왔다. 수개월 전부터 빨리 걸으면 숨이 차고, 기침이 났다. 7일 전 부터는 천천히 걸어도 숨이 차고 가슴이 답답하다고 한다. 30갑•년의 흡연자이다. 혈압 145/85 mmHg, 맥박 106회/분, 호흡 20/분, 체온 36.0°C이다. 오른쪽 가슴에서 호흡음이 감소되어 들린다. 가슴 X선사진과 가슴 컴퓨터단층촬영 사진이다. 검사는?

정답률 92%

누적 풀이 횟수 2,800+

평균 풀이 시간33초

/

나의 풀이 시간0

CC

M/72, 흉부불편감(7d)

Hx

흡연: 30갑년

S/Sx

호흡곤란: mMRC 1(수 개월 전) → mMRC 2~3(7d)

기침

V/S 145/85 106 20 36.0, decreased Rt. lung sound

Lab

Img

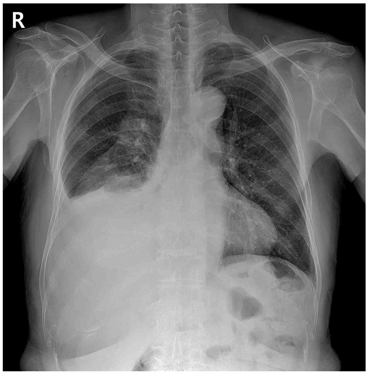
CXR: Rt. pleural effusion

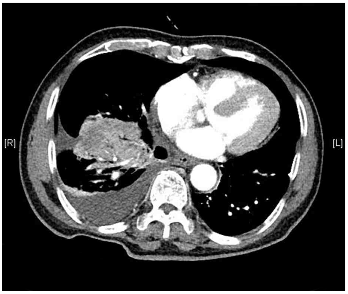
CT: RLL mass, Rt. pleural effusion

Etc

Imp: 폐암(lung cancer)

해설

폐암으로 의심되는 mass에 대해 기관지내시경을 시행하여 조직검체를 확보한다.

• 72세 남자가 7일 전부터 시작된 가슴 불편감을 주호소로 내원하였다.

• 수개월 전에는 호흡곤란의 정도가 mMRC 1 정도였으나 7일 전부터는 mMRC 2~3 정도로 악화한 것으로 보아 증상이 수개월 내 진행되고 있으며, 우측 가슴에서 호흡음이 감소되어 들리므로 해당 부위에 발생한 흉수, 기흉 등의 원인을 생각해볼 수 있다.

• CXR상 RLL diffuse opacity가 확인되며, 자세한 평가를 위해 실시한 Chest CT에서 거대한 mass와 Rt. pleural effusion이 관찰된다. Mass는 solid한 양상으로 irregular margin을 보이고 있으며 central necrosis가 의심되는 irregular enhancement의 소견이 관찰되는 바 폐암의 가능성이 높다고 판단할 수 있다.

• 따라서 조직검사를 통한 확진이 필요하며, 위 증례의 병변은 central airway에 인접하여 있으므로 기관지내시경을 통해 조직검체를 확보한다.

Tip

폐암 정리

위험인자

• 흡연, 석면/니켈/비소, 전리방사선/라돈

• 기저 폐질환: COPD, 폐결핵

임상양상

• 무증상

• 기침, 객혈, 호흡곤란, 흉통

• 체중감소, 목 덩이, 국소적 천명음 등

검사소견

• CXR/CT상 mass, nodule, cavitation, 무기폐 등

진단

• 기관지내시경 조직검사: Central lesion

• 경피적 조직검사: Peripheral lesion

오답 선지

• 심초음파: 심장성 원인의 호흡곤란에서 진단적 목적으로 사용할 수 있으나 CT상 폐에 암으로 추정되는 병변이 명확하게 확인되므로 해당 병변을 호흡곤란의 원인으로 추정하는 것이 더 타당하다.

• 폐기능검사: 본 증례는 증상의 원인이 mass에 의한 것이므로 기도의 기류제한이나 폐포의 가스교환 등을 평가하는 폐기능검사는 적절치 않다.

• 폐혈관조영: 주로 폐혈관의 협착이나 폐쇄을 동반하는 질병의 진단에서 사용된다.

• 전신뼈스캔: 암 진단 후 뼈 전이를 확인하기 위해 사용한다.

관련 이론

폐암

Reference

Harrison 21e, pp.594-604