흉통/흉부불편감

/

221

/

221

190번

[MD25]

0

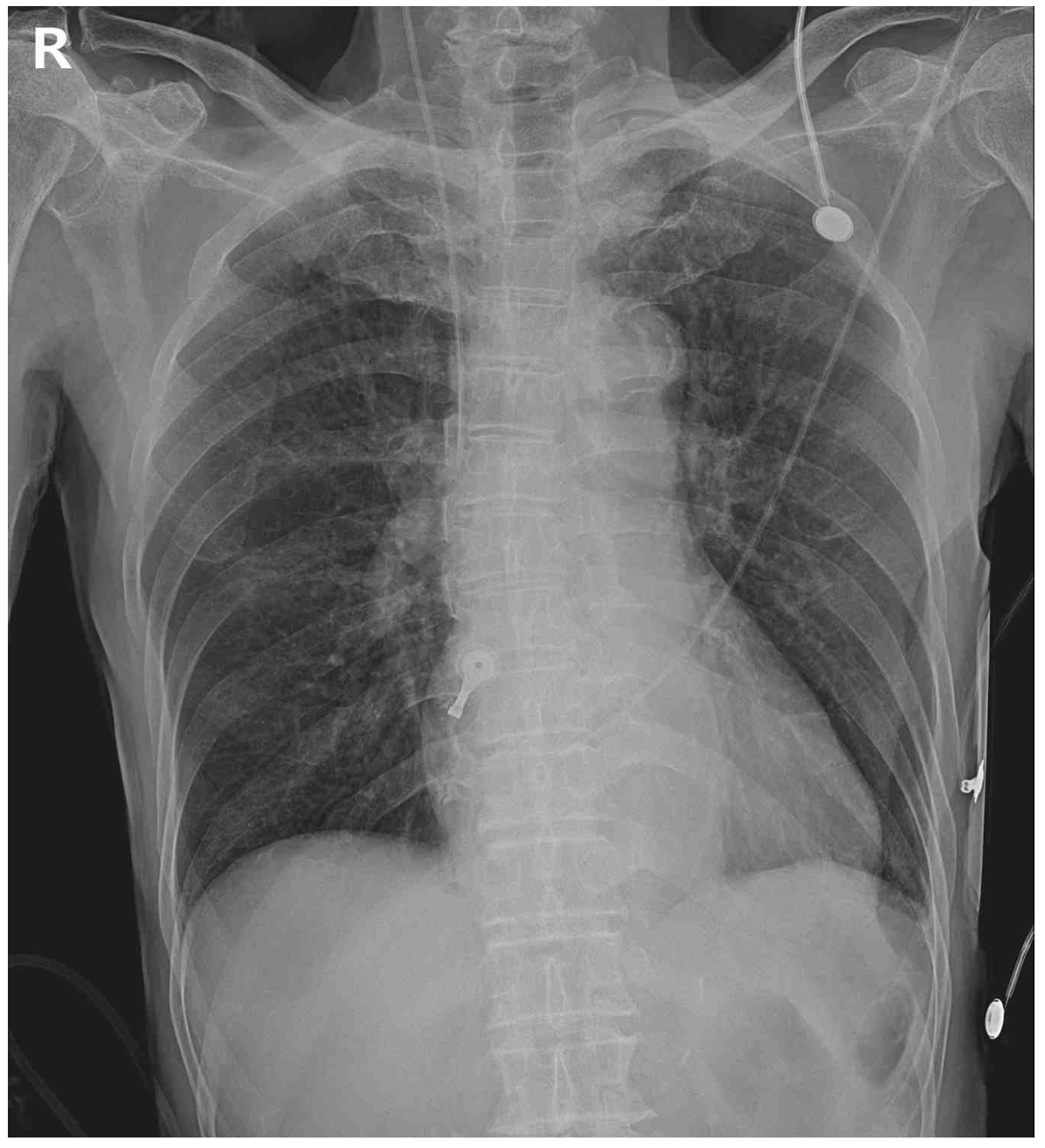
76세 남자가 1시간 전부터 가슴이 답답하고 어지럽다며 응급실에 왔다. 10년 전 급성심근경색으로 관상동맥중재술을 받고 아스피린, 스타틴, 베타차단제를 복용 중이다. 혈압 79/52 mmHg, 맥박 180회/분, 호흡 20회/분, 체온 35.4°C이다. 검사 결과는 다음과 같다. 가슴 X선사진, 응급실 도착 당시 심전도와 심장율동전환 시행 후 심전도이다. 치료는?

혈액:

크레아틴인산화효소 MB동종효소 3.8 ng/mL (참고치, 0.6~6.3)

트로포닌 T 9.3 ng/L (참고치, <14)

뇌나트륨배설펩타이드 983 pg/mL (참고치, <100)

심초음파검사:

좌심실박출률 35 % (참고치, >55)

심실중격, 전벽, 하벽에 국소벽운동장애 관찰

관상동맥조영술:

스텐트 삽입 부위 양호하고, 유의한 협착 없음

정답률 63%

누적 풀이 횟수 3,000+

평균 풀이 시간66초

/

나의 풀이 시간0

CC

M/76, 흉통/어지러움(1h)

Hx

10년 전: MI s/p CAG, on aspirin, BB, statin

S/Sx

V/S 79/52 180 20 35.4

Lab

BNP↑

Img

CXR: Cardiomegaly

Echo: LVEF↓, RWM at septal/anterior/inferior wall

Etc

CAG: No significant in-stent restenosis

Initial ECG: Wide QRS regular tachycardia

Post-cardioversion ECG: Pathologic Q wave & T wave inversion (lead V1-4), sinus bradycardia

Imp: 심실빈맥(ventricular tachycardia, VT), 박출률 저하 심부전(heart failure with reduced ejection fraction, HFrEF)

해설

MI 후 VT가 발생한 환자로 심장성 급사를 예방하기 위해 ICD를 삽입한다.

• 76세 남환이 1시간 전에 발생한 흉통과 어지러움으로 응급실에 내원하였다.

• 환자는 10년전 MI로 관상동맥중재술 후 아스피린, 스타틴, 베타차단제 복용 중이므로 심장성 원인에 의한 증상임을 감별해야한다.

• 응급실 도착 시 ECG에서 QRS complex 모양이 일정하며 지속적인 wide QRS tachycardia와 regular RR interval이 보이므로 sustained monomorphic VT로 진단할 수 있다.

• 혈압이 79/52mmHg로 hemodynamically unstable하므로 즉각적인 심장율동전환(DC cardioversion)이 필요하다.

• 심장율동전환 후 ECG에서 lead V1-4에 pathologic Q wave, T wave inversion이 관찰된다. 이는 과거 MI로 인해 나타난 심전도 소견임을 알 수 있다.

• Lab 상 BNP가 증가하였고 심초음파 검사 상에서 LVEF가 35%로 감소되었으므로 HFrEF가 의심되며, 심실중격, 전벽, 하벽에 국소벽 운동장애가 확인되므로 과거 MI로 인해 심근에 ischemia가 발생하여 나타난 결과임을 추정할 수 있다.

• 따라서 환자에게 나타난 sustained monomorphic VT의 원인은 과거 MI로 인해 발생한 구조적 심질환임을 파악할 수 있다.

구조적 심질환이 동반 sustained VT 환자에서 심장성 급사의 secondary prevention을 위해 삽입심장충격기(ICD)를 삽입한다.

Tip

• 상환에서 sustained VT가 발생하지 않았더라도 post-MI 후 40일 이상 경과했으면서 LVEF가 35%이하이면 심장성 급사의 primary prevention을 위해 ICD를 삽입해야한다.

삽입형제세동기 적응증

• Pathologic Q wave 정의

Q wave의 폭이 0.04s(작은칸 1칸) 이상 & Q wave의 깊이가 R wave의 1/3 이상

• STEMI에서 심전도 변화

- Tall T wave(hyperacute T wave) → ST elevation → Pathologic Q wave & T wave inversion → Pathologic Q wave

오답 선지

• 관상동맥중재술: 본 환자는 관상동맥조영술상 정상이었으므로 불필요한 치료이다.

• 임시박동조율기: 서맥으로 인해 심박동이 충분하지 않는 경우 사용할 수 있는 치료법으로 상환은 구조적 심질환이 동반된 sustained VT 환자이므로 ICD가 우선이다.

• 좌심실보조장치: 약물치료에 반응하지 않는 HFrEF 등에 대한 시술적 치료로, LV의 pump 역할을 대신하는 장치이다. 상환은 구조적 심질환이 동반된 sustained VT 환자이므로 sustained VT 예방을 위한 ICD가 우선이다.

• 심장재동기화치료: 심장의 비동기화를 해결하기 위해 시행하는 치료법으로 HFrEF 환자 중에서 적절한 약물치료에도 불구하고 HF 증상이 있으며 LVEF가 35%이하이며 wide QRS, 동성리듬, LBBB 환자에서 사용할 수 있는 치료법이다. 본 증례는 아스피린, 스타틴, 베타차단제를 복용하는 MI에 대한 약물치료를 시행 중이지만 HFrEF에 대한 약물치료는 불충분한 상태다. 즉 HFrEF에 대한 적절한 약물치료(ARNI/ACEi/ARB, MRA, SGLT2i)가 시행되지 않았으므로 HFrEF에 대한 약물치료가 우선이며, 만일 3개월 이상 약물 치료 후에도 심부전 관련 증상이 있는 경우에는 CRT를 고려할 수 있다.

관련 이론

심실빈맥

• Harrison 22e, pp.1954-1975

AHA guideline, 2025 (ACLS)

ESC guideline, 2022