복부팽만

/

97

/

97

74번

[MD25]

0

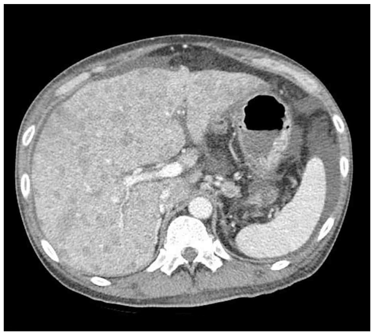
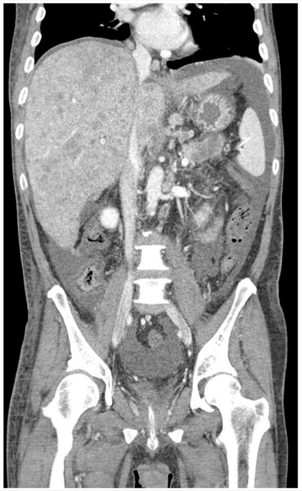
55세 남자가 10일 전부터 배가 아프고 불러진다고 응급실에 왔다. 2개월 전부터 변보기가 힘들고 변도 가늘어졌다고 한다. 혈압 130/85 mmHg, 맥박 105회/분, 호흡 22회/분, 체온 36.5 C이다. 배는 불러있고 압통과 반동압통은 없다. 혈액검사 결과는 다음과 같다. 복부 컴퓨터단층촬영 사진이다. 다음 검사는?

혈색소 14.0 g/dL, 백혈구 13,040/mm3

혈소판 262,000/mm3

혈액요소질소/크레아티닌 5.8/0.6 mg/dL

총빌리루빈 8.3 mg/dL

아스파트산아미노기전달효소 107 U/L

알라닌아미노기전달효소 142 U/L

암배아항원 10.1 ng/mL (참고치, <5)

CA 19-9 80.4 U/mL (참고치, <37)

정답률 85%

누적 풀이 횟수 2,600+

평균 풀이 시간42초

/

나의 풀이 시간0

CC

M/55, 복통&복부팽만(10d)

Hx

S/Sx

변비(2m), 대변의 가늘어짐(2m)

V/S 130/85 105 22 36.5, abdominal distension, dT/rT(-/-)

Lab

WBC↑, T.bilirubin↑, AST/ALT↑, CEA↑, CA 19-9↑

Img

CT: Multifocal hepatic masses, hepatomegaly

Etc

Imp: 대장암(colorectal cancer), stage IV

해설

배변 습관 변화가 있는 환자에게서 CEA elevation 및 CT상 간에 다발성 종괴가 확인되므로 대장암의 간 전이 의심 하, 대장암 진단을 위해 대장내시경을 시행한다.

• 55세 남자가 10일 전 시작된 복통 및 복부팽만을 주호소로 내원했다.

2개월 전부터 변을 보기가 힘들었으며 대변도 가늘어 졌다고 하였으므로 colorectal 문제를 우선 의심해 볼 수 있다.

• 혈액검사에서 CEA elevation이 확인되며, CEA가 대장암의 대표적인 종양 표지자인 점을 감안할 때, 환자의 임상 증상과 종합적으로 고려하면 대장암 등의 악성 질환 가능성을 의심해볼 수 있다.

• 혈액검사상 total bilirubin, AST/ALT elevation이 확인되므로 간/담도계 이상 여부를 평가해야 하며, 특히 간/담도계 질환에서 증가하는 경향이 있는 CA 19-9가 상승되어 있으므로 추가적인 확인이 필요하다.

• 원인 확인을 위해 시행한 CT에서 간에 다수의 mass가 관찰되는데, 현재 대장암이 의심되는 상황임을 고려할 때 전이성 암의 가능성이 높다. 앞선 Total bilirubin, AST/ALT, CA 19-9 elevation 모두 전이성 간암에서 나타날 수 있는 소견이다.

• 2개월 전부터 배변습관의 변화가 있는 환자에게서 CEA elevation 및 복부 CT상 간에서 다발성 종괴가 확인되므로 대장암 및 대장암의 간 전이가 강력히 의심된다. 따라서, 대장암 진단을 위해 대장내시경을 고려할 수 있다.

Tip

• CA 19-9 elevation, total bilirubin elevation 소견을 통해 담도암이 의심될 수 있으나, 복부 CT상 전이성 간암 소견이 명확하므로 이에 대한 검사를 우선적으로 시행하는 것이 타당하다. 또한, 전이성 간암에서도 CA 19-9 elevation, T.bilirubin elevation 소견이 동반될 수 있다.

대장암 정리

임상양상

• 변비, 혈변, 복부덩이, 체중감소 등

진단

• DRE(직장선반 촉진시 전이성 직장암) → 대장내시경

• 병기 설정: CT, MRI, PET, EUS 등

치료

• 대장 용종: EMR/ESD → submucosa 1/3 이상 침범시 수술

• Stage I(≤ 근육층): 수술

• Stage II~III(원격전이 없음)

- 결장암: 수술 (+ adj. CTx) / 직장암: Neoadj. CCRT + 수술

• Stage IV(원격전이): 항암치료

- 간/폐 단일 병변시 수술적 절제 가능

- 장폐색시 stent 삽입, 고식적 수술

오답 선지

• 담관조영: 담도암이 의심되는 환자에게서 ERCP가 어렵거나 실패한 경우 고려해 볼 수 있다. 본 증례는 대장암의 간 전이가 의심되므로 원발암에 대한 평가가 필요하다.

• 복부 초음파: 초음파는 bowel wall의 gas 때문에 bowel 내부를 들여다보기 어려우므로 하부위장관 질환의 평가에 한계가 있다.

• 복부 자기공명영상: 하부위장관 종양 진단의 1st line은 하부위장관 내시경이다. 복부 MRI, CT는 일반적으로 대장암 진단 후 병기설정(staging)을 위해 주로 활용된다.

• 내시경역행담췌관조영: 담도암이 의심되는 환자에게서 고려해 볼 수 있다. 본 증례는 대장암의 간 전이가 의심되므로 원발암에 대한 평가가 필요하다.

관련 이론

대장암

Reference

Harrison 21e, pp.636-643