복부팽만

/

97

/

97

87번

[임종평24-1]

0

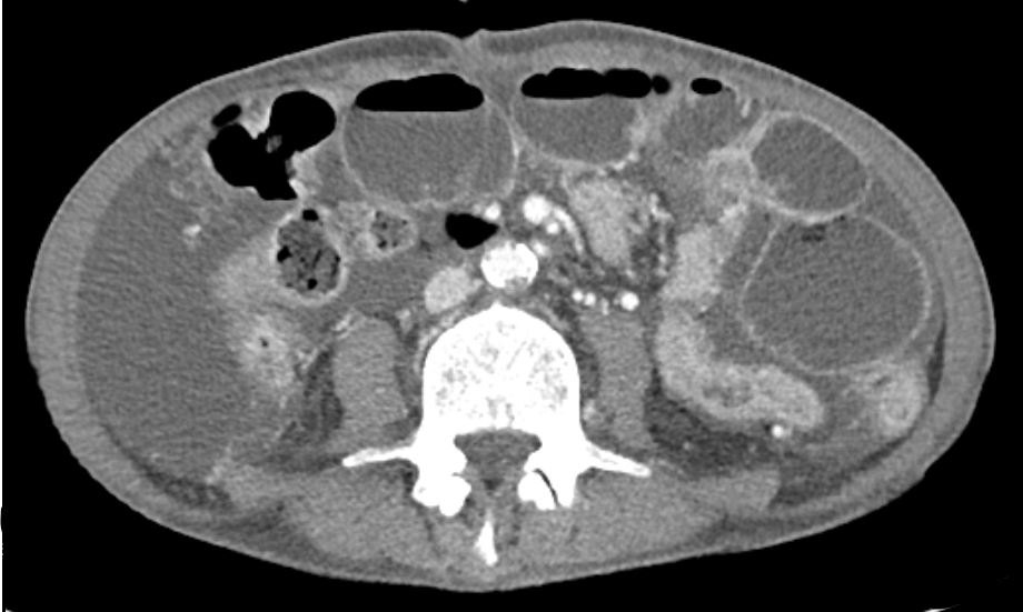
73세 남자가 오늘 새벽 3시부터 배가 빵빵하며 아프고 토한다며 응급실에 왔다. 방귀도 나오지 않는다고 한다. 췌장암이 뱃속에 퍼져서 항암 주사 치료 중이라고 한다. 혈압 120/84 mmHg, 맥박 114회/분, 호흡 18회/분, 체온 36.0 ℃이다. 복부는 전반적으로 팽만되어 있으나 압통과 반동압통은 없다. 혈액검사 결과는 다음과 같다. 복부 X선사진및 복부 컴퓨터 단층촬영 사진이다. 진단은?

백혈구 4500/mm3, 혈색소 10.2 g/dL, C-반응단백질 11.99 ㎎/L (참고치, <10)

정답률 89%

누적 풀이 횟수 2,800+

평균 풀이 시간32초

/

나의 풀이 시간0

CC

M/73, 복부팽만/복통/구토(<1d)

Hx

Pancreatic cancer with metastasis, on CTx

S/Sx

Gas passing(-)

V/S 120/84 114 18 36.0, abdominal distension, dT/rT(-/-)

Lab

CRP↑

Img

AXR: Step-ladder sign

CT: Multiple air-fluid levels in small intestine, small intestinal dilatation and wall thickening, ascites

Etc

Imp: 소장 폐색(small bowel obstruction)

해설

임상양상상 장폐색을 시사하는 소견이 확인되며 AXR상 step-ladder sign이 있으므로 소장 폐색으로 진단한다.

• 73세 남자가 내원 당일 시작된 복부팽만, 복통, 구토를 주호소로 내원했다.

• Gas passing도 되지 않으므로 장폐색을 의심해볼 수 있다.

• AXR상 step-ladder sign이 확인되므로 소장 폐쇄의 가능성이 매우 높고, CT상에서도 small bowel dilatation과 서로 다른 air-fluid level이 확인된다. 따라서 소장 폐색으로 진단한다.

• 현재 복수도 있는 점으로 보아 pancreatic cancer의 복막 전이가 있으며, 이로 인해 adhesion 또는 tumor에 의한 small bowel compression, obstruction 등이 발생해 장폐색이 발생한 것으로 추정된다.

Tip

분류

Mechanical obstruction

Paralytic ileus

복통

경련성 복통

대부분 없음/약함

장음

처음에는 증가 → 나중에 감소/사라짐

처음부터 감소/없음

치료

수액 투여

비위관 삽입 및 감압

완전폐쇄 or 교액시 수술

대부분 수술 없이 원인 치료

오답 선지

• 급성 충수염(acute appendicitis): RLQ dT가 저명하게 확인되는 것이 특징이다.

• 대장 게실염(colonic diverticulitis): 천공되지 않은 이상 특정 위치에 국한된 복통이 특징적이다.

• 구불결장 꼬임(sigmoid volvulus): AXR상 coffee-bean appearance, CT상 mesentery가 꼬인 whirlpool sign 등이 확인된다.

• 위창자간막동맥증후군(superior mesenteric artery syndrome): 극심한 체중감소 및 이로 인해 aorta와 superior mesenteric artery 사이의 공간이 좁아져 그 사이의 duodenum이 눌리는 질환으로, 주로 gastric distension을 일으키지 소장 dilatation은 일으키지 않는다.

관련 이론

급성 장폐색

Reference

• Harrison 21e, pp.2508-2512