복부팽만

/

97

/

97

94번

[임종평24-2]

0

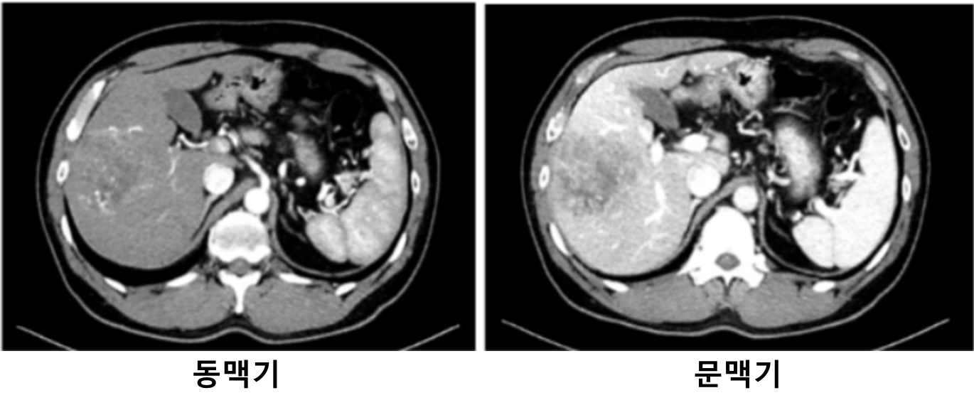
51세 남자가 1개월 전부터 오른쪽 윗배가 불편하다며 병원에 왔다. 군대 신검에서 B형간염이라는 말을 들었으나 정기적인 검사는 받지 않았다고 한다. 혈압 140/90 mmHg, 맥박 78회/분, 호흡 19회/분, 체온 36.5 ℃이다. 오른쪽 윗배를 눌렀을 때 약간의 불편감을 호소한다. 복부 컴퓨터단층촬영사진이다. 혈액검사 결과는 다음과 같다. 진단은?

백혈구 8,740/mm3, 혈색소 13.4 g/dL, 혈소판 239,000/mm3, 알부민 4.0 g/dL, 아스파트산아미노기전달효소 15 U/L, 알라닌아미노기전달효소 25 U/L, 총빌리루빈 1.1 mg/dL, 프로트롬빈시간(INR) 0.9, 크레아티닌 0.9 mg/dL, HBsAg (+), anti-HBsAb (-), anti-HCV (-), HBV DNA 2,090 IU/mL, 알파태아단백질 245 ng/mL (참고치, <8.5), CA 19-9 35 U/mL (참고치, <37)

정답률 90%

누적 풀이 횟수 2,400+

평균 풀이 시간28초

/

나의 풀이 시간0

CC

M/51, RUQ 불편감(1m)

Hx

30년 전: HBV diagnosed, but untreated

S/Sx

V/S 140/90 78 19 36.5, RUQ dT(+)

Lab

HBsAg(+), HBV DNA 2,090IU/mL, AFP↑

Img

CT: Single mass at Rt. hepatic lobe, early enhancemnet-early washout

Etc

Imp: 간세포암(hepatocellular carcinoma, HCC), 만성 B형 간염(chronic hepatitis B, CHB)

해설

만성 B형 간염 환자의 dynamic CT상 1cm 이상의 mass에서 early enhancement-early washout 소견이 관찰되므로 간세포암(HCC)으로 진단한다.

• 51세 남자가 1개월 전 시작된 우상복부 불편감을 주호소로 내원했다.

• 과거 군대에서 B형 간염 진단 후 f/u 받지 않은 환자로, 현재 lab검사 결과 HBsAg(+), HBV DNA 2,090IU/mL가 확인되므로 만성 B형간염(chronic hepatitis B, CHB)에 이환된것으로 생각된다.

• CHB 환자에서 우상복부 불편감AFP 상승이 확인되므로 간세포암(HCC)이 의심되어 dynamic CT을 촬영했다.

• Dynamic CT상 간 우엽large mass가 관찰되며, 동맥기에 주변 간조직보다 조영증강되고 문맥기에는 주변 간조직보다 조영되지 않는 early enhancement-early washout 소견이 관찰된다.

• CHB 환자의 dynamic CT상 1cm 이상 mass가 관찰되며, early enhancement-early washout 소견이 확인될 경우 biopsy없이 간세포암(hepatocellular carcinoma,HCC)로 진단가능하다.

Tip

간세포암 정리

원인

• 간경변, 만성 B형/C형 간염

임상양상

• 무증상 → 복부불편감, 소화불량, 복통 등

• 기타 간경변 관련 임상양상

진단

• Dynamic CT/MRI: 아래 모두 만족시 확진

- Early enhancement & early washout

- ≥ 1cm

- 간경변, 만성 B형/C형 간염 과거력

치료

• 단일 병변 & 간기능 좋음: 간절제술

• Milan criteria & 간기능 나쁨: 간이식

• 여러 병변 & 간절제술/간이식 불가: TACE

• Portal/LN/원격 전이: Atezolizumab + bevacizumab, sorafenib 등

오답 선지

• 간선종: CT상 다소 명확한 경계의 종양이 관찰되며, 조영증강 CT상 동맥기에는 주변부 조영증강을 보이고 문맥기에는 중심으로 조영증강이 진행되는 양상을 보인다. 임상적으로 경구 피임약을 복용하는 젊은 여성에게 주로 발생한다.

• 간혈관종: CT상 서서히 주변부→중앙부로 조영증강되며, 지연기에서도 조영증강되는 prolonged enhancement가 나타난다.

• 결절성 재생성 과증식: CT상 다수의 결절이 간 전반에 분포된 양상을 보이며, early enhancement-early washout과 같은 소견이 관찰되지 않는다. 임상적으로는 문맥고혈압이 흔히 동반된다.

• 국소성 결절성 과증식: CT상 strong hypervascularity with central nonenhancing scar 소견이 관찰된다.

관련 이론

간세포암

Reference

• Harrison 21e, pp.643-653

AASLD guideline, 2023