97번
[임종평24-2]
0
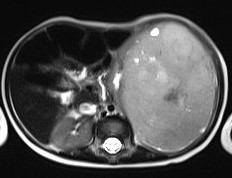
13개월 남아가 1개월 전부터 왼쪽 윗배가 불러보인다고 병원에 왔다. 이전에 건강했다. 맥박 104 회/분, 호흡 22회/분, 체온 36.4 ℃이다. 호흡음과 심장음은 정상이고, 복부진찰에서 좌측상복부에 덩어리가 만져진다. 검사 결과는 다음과 같다. 가슴 X선사진과 복부 자기공명영상이다. 처치는?
혈액: 혈색소 11.1 g/dL, 백혈구 15,990/mm3, 혈소판 660,000/mm3
페리틴 45.8 ng/mL(참고치, 10~150 )
알파태아단백질 3.7 ng/mL (참고치, <8.5)
소변: 단백질(-), 포도당(-), 잠혈(-),
적혈구 0~1/고배율시야, 백혈구 0~1/고배율시야
바닐린만델산 0.8 mg/일 (참고치, 0~8)

정답률 61%
누적 풀이 횟수 2,100+
평균 풀이 시간55초
/
나의 풀이 시간0초
CC | M/13M, 복부팽만(1m) |
Hx | |
S/Sx | V/S 104 22 36.4 좌측 상복부 덩이 |
Lab | AFP, VMA 정상 |
Img | CXR: LUQ soft tissue opacity MRI: high SI well-defined heterogeneous mass with central necrosis |
Etc |
Imp: 윌름 종양(Wilm's tumor, nephroblastoma)
해설
복부 덩이가 만져지는 소아에서 MRI상 윌름 종양이 확인되므로, 조직검사 및 치료로 수술과 항암화학요법을 시행한다.
• 13개월 남아가 1개월 전 시작된 복부팽만을 주호소로 내원하였다.
• 복부 진찰에서 좌측 상복부의 덩어리가 만져지므로 종양성 질환을 의심해야 한다. 소아의 복부 종양성 질환으로는 대표적으로 신경모세포종(neuroblastoma)과 윌름 종양(Wilm's tumor)이 있다.
• 환아의 소변 VMA가 정상이므로 신경모세포종의 가능성이 낮고, AFP가 정상이므로 간모세포종도 배제할 수 있다.
• MRI상 좌측 신장에 high signal intensity를 보이는 경계가 명확한 비균질종괴가 관찰되는데, 이는 윌름 종양을 시사하는 소견이다.
• 윌름 종양의 치료는 기본적으로 수술적 절제인데, 현재 종양의 크기가 매우 커서 rupture 위험이 높아 초기 완전 절제가 어려울 것으로 판단된다.
• 초기 절제가 불가능한 경우, 항암화학요법(neoadjuvant chemotherapy)을 통해 종양의 크기를 줄인 후 수술적 절제를 시행한다. 이 과정에서 확진을 위해 조직검사를 먼저 시행하며, molecular biomarker test를 통해 적절한 화학요법 regimen을 선택한다.
• Neoadjuvant CTx. 후 종양 절제가 가능하면 절제 및 림프절 생검을 시행하고 이후 adjuvant CTx.를 시행한다. 고위험군에서는 필요 시 방사선 치료를 추가적으로 시행할 수 있다.
• 따라서 보기 중 조직검사 - 항암치료 - 수술 - 항암치료를 시행한다.
Tip
• 신경모세포종과 윌름종양
• 윌름 종양의 치료는 기본적으로 수술 + 항암화학요법이므로 보기 중 답을 고르는데 큰 어려움은 없을 것으로 생각된다.
• 일반적으로는 생검을 시행하면 종양 피막이 터져 병리가 상향 조정되므로 생검은 추천되지 않는다. 다만, 비전형적 임상 소견이나 영상 소견, 혹은 unresectable unilateral tumor의 경우 생검이 필요할 수 있다. 본 증례에서는 unresectable tumor에서 neoadjuvant CTx.를 시행하기 위해 적절한 화학요법 regimen을 선택해야 하므로 조직 생검을 시행해야 한다.
오답 선지
• 수술-방사선치료: 항암 화학요법으로 종양 크기를 줄인 후 수술해야 한다.
• 신동맥 색전술-수술: 신세포암종(RCC)에서 수술 전 암으로의 혈류를 줄이고 절제하기 위해 사용하는 처치이다.
• 수술-자가조혈모세포이식: 고위험군 신경모세포종(neuroblastoma) 환아에서 수술 및 항암 화학요법 후 자가조혈모세포이식을 시행한다.
• 조직검사-방사선치료-수술: 방사선치료는 주로 고위험군 환아에서 수술 후 잔류 종양이 있을 때 사용된다.
관련 이론
• 소아 고형장기암
Reference
• 홍창의 소아과학 12e, pp.991-997
• NCCN guideline 2024-2(Wilms Tumor)