18번
[MD22]
0
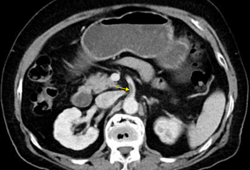
72세 여자가 2시간 전부터 배가 심하게 아파서 병원에 왔다. 심방잔떨림으로 약물치료 중이다. 혈압 92/64 mmHg, 맥박 110회/분, 호흡 22회/분, 체온 37.8℃이다. 식은땀을 흘리고 있고 배 전체에 압통과 반동압통이 있다. 혈액검사 결과는 다음과 같다. 복부 컴퓨터단층촬영 사진이다. 가능성이 큰 진단을 고르시오(한 가지).
혈색소 12.5 g/dL, 백혈구 22,000/mm3, 혈소판 180,000/mm3

정답률 81%
누적 풀이 횟수 1,100+
평균 풀이 시간36초
/
나의 풀이 시간0초
CC | F/72, 복통(2h) |
Hx | AF on medication |
S/Sx | V/S 92/64 110 22 37.8, 식은땀, 복부 전체 dT/rT(+/+) |
Lab | WBC↑ |
Img | CT: SMA thrombosis |
Etc |
Imp: 상장간막동맥 폐색(SMA occlusion)
해설
복부 전체의 갑작스러운 반동압통, AF 병력, CT의 SMA thrombosis로 보아 SMA occlusion을 진단할 수 있다.
• 72세 여자가 2시간 전 시작된 복통을 주호소로 내원했다.
• 복통이 심하며 전체에 반동압통이 있으며, V/S이 불안정하므로 위장관 천공에 의한 복막염이나 장의 괴사 등 심각한 질환을 고려해야 한다.
• AF 병력이 있기 때문에 cardioembolism 가능성이 높으며, 따라서 SMA occlusion을 의심할 수 있다.
• 실제로 CT상 aorta에서 기시하는 SMA의 proximal 부분에 thrombus가 관찰되며, 이로 인해 intestinal ischemia가 발생한 것으로 추정된다. 따라서 SMA occlusion으로 진단할 수 있다.
Tip
분류 | 장간막동맥 폐색 |
위험요인 | • Atherosclerosis 병력 • 심방세동, 판막질환 등 |
임상양상 | • 급성 복통 (배꼽 주위) • 복부 강직, 반발압통 가능 • 혈변, 설사, 구토 |
진단 | • 복부 CT(+혈관조영술) • 심장질환 조사: ECG, 심초음파 |
치료 | • 수술: 혈전색전제거술 + 괴사한 장 절제 • 항응고제, 광범위 항생제 등 |
오답 선지
• 쓸개염: RUQ, 상복부 통증으로 나타난다.
• 이자염: 등으로 방사되는 상복부 통증이 특징적이다.
• 샘창자곁주머니염: 발열, 구토, 위장관 출혈 등의 증상이 동반되는 드문 질환이다.
• 막창자꼬리염: Periumbilical/RLQ 통증으로 나타난다.
• 구불창자꼬임: 하복부통증, 복부팽만 등이 주요 임상양상이다.
• 허혈잘록창자염: 하복부통증과 동반되는 혈변이 주요 임상양상이다.
• 거짓막잘록창자염: 하복부통증, 발열과 설사가 주요 임상양상이다.
관련 이론
• 혈관성 장질환
Reference
• Harrison 21e, pp.2506-2508