184번
[임종평22-1]
0
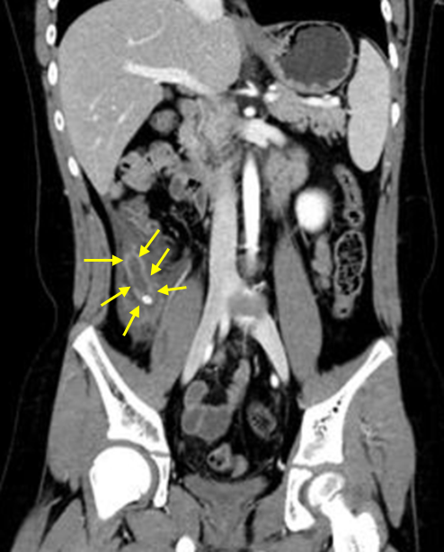
11세 남아가 2일 전부터 배가 아프고 오심이 생겨서 병원에 왔다. 오른쪽 옆구리와 아랫배가 뛸 때마다 아프다고 한다. 혈압 100/60 mmHg, 맥박 90회/분, 호흡 20회/분, 체온 38℃이다. 장음은 감소되어 있고, 오른쪽 아랫배 압통이 있다. 혈액검사 결과는 다음과 같다. 복부 컴퓨터단층촬영 사진이다. 진단은?
백혈구 17,000/mm3, 혈색소 11.5 g/dL, 혈소판 360,000/mm3
아스파트산아미노기전달효소 45 U/L
알라닌아미노기전달효소 30 U/L
알파태아단백질 5 ng/mL (참고치, <8.5)
C-반응단백질 11 mg/L (참고치, <10)
녹말분해효소 150 U/L (참고치, 28~100)
지방분해효소 50 U/L (참고치, 13~60)

정답률 89%
누적 풀이 횟수 1,000+
평균 풀이 시간34초
/
나의 풀이 시간0초
CC | M/11, 복통/오심(2d) |
Hx | |
S/Sx | 뛸 때마다 우측 옆구리 및 하복부 통증 V/S 100/60 90 20 38, 장음 감소, RLQ dT(+) |
Lab | WBC↑, CRP↑, amylase↑ |
Img | CT: Appendiceal enlargement, appendiceal wall thickening, appendicolith |
Etc |
Imp: 급성충수염(acute appendicitis)
해설
• 11세 남아가 2일 전 시작된 복통 및 오심을 주호소로 내원했다.
• 우측 옆구리와 하복부 통증, RLQ 압통이 있으므로 acute appendicitis가 의심되며, 발열과 leukocytosis와 CRP elevation 등 염증 수치가 상승해 있다.
• 이를 진단하기 위해 시행한 CT상 appendix의 확장과 벽의 비후, 결석을 확인할 수 있다. 따라서 진단명은 급성충수염이다.
Tip
충수돌기염 정리 | |
임상양상 | • 급성 복통: 배꼽 주위 → RLQ로 이동 • RLQ 압통/반동압통 • 발열, 복부덩이: 천공 시사 |
진단 | • 복부 CT: 충수돌기 distension, wall thickening • 초음파: 충수돌기 지름 > 7mm |
치료 | • 농양 X: 충수돌기절제술 • 농양 O: 항생제 + 배액 → 6~8주 후 interval appendectomy |
관련 이론
• 충수돌기염
Reference
• Sabiston 21e, pp.1301-1315