271번
[임종평20-1]
0
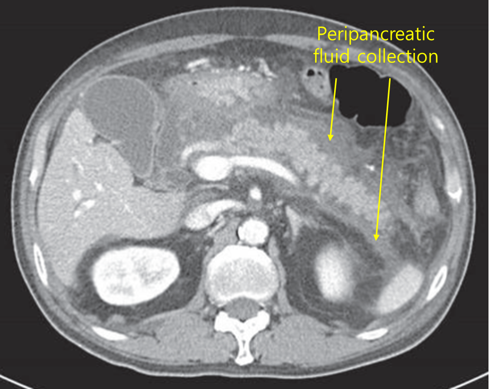
50세 남자가 하루 전부터 명치가 심하게 아프다며 병원에 왔다. 혈압 130/85 mmHg, 맥박 105회/분, 호흡 20회/분, 체온 37.8℃이다. 배 청진에서 장음이 감소되어 있고 배 전체에 압통이 있으나 반동압통은 없다. 혈액검사 결과는 다음과 같다. 복부 컴퓨터단층촬영 사진이다. 치료는?
백혈구 18,000/mm3, 혈색소 13.7 g/dL, 혈소판 165,000/mm3, 총빌리루빈 1.5 mg/dL, 알칼리인산분해효소 195 U/L, 아스파르테이트아미노전달효소 90 U/L, 알라닌아미노전달효소 44 U/L, 아밀라아제 2,880 U/L, 리파아제 3,700 U/L

정답률 90%
누적 풀이 횟수 700+
평균 풀이 시간27초
/
나의 풀이 시간0초
CC | M/50, 명치 통증(1d) |
Hx | |
S/Sx | 장음 감소, 배 전체 압통 (+), 반동압통 (-) V/S 130/85mmHg-105회/분-20회/분-37.8℃ |
Lab | WBC↑, T.bil↑, ALP↑, AST↑, Amylase↑↑, Lipase↑↑ |
Img | CT: 췌장 주위 fluid collection |
Etc |
Imp: 급성 췌장염
해설
• 급성 복통을 호소하는 환자로, 혈액검사 상 amylase와 lipase의 상승, CT 상 췌장 주위 fluid collection 소견으로부터 급성 췌장염을 진단할 수 있다. 급성 췌장염의 치료는 대증치료로 금식, 진통제, 수액 공급이 주된 치료이며 보기 중에서 금식을 선택할 수 있다.
Tip
• 종래에는 24~72시간 가량 금식을 유지하는 것이 췌장의 외분비 기능에 휴식을 부여해 치료에 도움이 된다고 알려져 있었으나, 가능한 빨리 경구 식이 또는 장관 영양을 재개하는 것이 더 유익하다는 연구 결과들이 발표되며 여러 가이드라인이 수정되게 되었다. 마비성 장폐쇄나 잦은 구토가 있으면 영양 공급을 위한 비위관도 고려한다.
급성 췌장염 정리 | |
원인 | • 담석(m/c), 알코올, 고중성지질혈증, 외상, ERCP등 |
임상양상 | • 복통: 상복부, 등으로 방사통, 누우면 심해짐 • 오심/구토, 미열, 빈맥/저혈압 등 |
검사소견 | • Amylase/lipase↑(정상상한치 3배 이상), WBC↑ |
진단 | • US: 담석, 담관확장 확인 • CT: 췌장 실질의 edema, 췌장 근처 조직의 inflammation |
치료 | • 수액 공급, 진통제(아편계), 금식 후 빠른 식이 재개 • 원인 치료: 담석에 황달 동반시 ERCP + EST + stone removal |
관련 이론
• 급성 췌장염
참고문헌
• Harrison 21e, pp.2658-2663