315번
[임종평19-1]
0
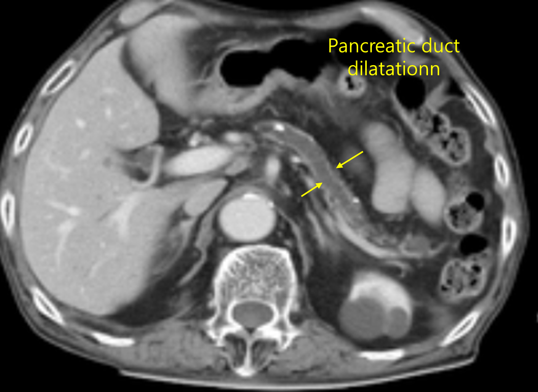
46세 여자가 7개월 전부터 간헐적인 복통과 기름이 뜨는 설사를 한다며 병원에 왔다. 10년간 거의 매일 소주 1병씩 마셨고 10갑·년의 흡연자이다. 당뇨병으로 치료 중이고 급성 췌장염을 앓은 적이 있다. 혈압 140/90mmHg, 맥박 66회/분, 호흡 20회/분, 체온 36.5℃이다. 배는 편평하고 장음은 정상이며 압통은 없다. 혈액검사 결과는 다음과 같다. 복부 컴퓨터단층촬영 사진이다. 치료는?
백혈구 6,900/mm3, 혈색소 12.0g/dL, 혈소판 380,000/mm3, 총단백질 7.1g/dL, 알부민 3.5g/dL, 아스파르테이트아미노전달효소 49U/L, 알라닌아미노전달효소 33U/L, 알칼리인산분해효소 80U/L, 아밀라아제 72U/L, 리파제 25U/L, 혈액요소질소 18mg/dL, 크레아티닌 1.1mg/dL

정답률 90%
누적 풀이 횟수 700+
평균 풀이 시간34초
/
나의 풀이 시간0초
CC | F/46, 간헐적 복통, 지방변(7mo) |
Hx | 흡연력 (10갑년), 음주력 (10년간 소주 1병/일), 당뇨병 치료 중, 급성 췌장염 과거력 |
S/Sx | V/S 140/90mmHg–66회/분–20회/분–36.5℃ |
Lab | |
Img | CT: 췌장 calcification, 췌관 확장 |
Etc |
Imp: 만성 췌장염
해설
• 만성적인 간헐적 복통, 지방변, 당뇨, 음주력과 흡연력, 급성 췌장염 과거력 등은 모두 만성 췌장염을 시사하는 소견이다. CT 상 calcification, 췌관 확장 소견으로부터 만성 췌장염을 진단할 수 있다.
• 만성 췌장염의 치료를 위해 췌장효소제를 사용할 수 있다.
Tip
만성 췌장염 정리 | |
원인 | • 알코올, 반복적인 급성 췌장염 등 |
임상양상 | • 복통: 상복부, 등으로 방사통, 누우면 심해짐 • 설사, 지방변, 체중감소 |
검사소견 | • 대변: Fecal elastase-1 감소, Sudan III에 붉은색으로 염색되는 fat droplet • AXR/CT: Pancreas calcification |
치료 | • 진통제, 췌장효소제 |
관련 이론
• 만성 췌장염
Reference
• Harrison 21e, pp.2664-2668