339번
[MD24]
0
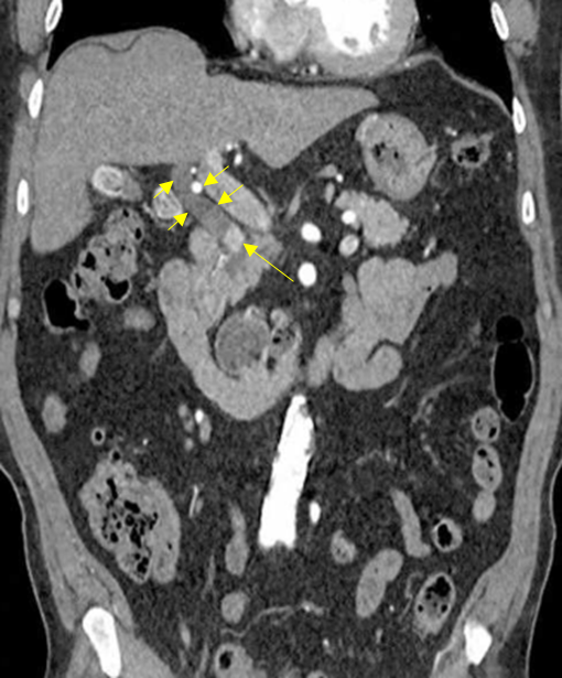
65세 남자가 2시간 전부터 윗배가 아파서 병원에 왔다. 혈압 100/60 mmHg, 맥박 111회/분, 호흡 20회/분, 체온 37.9℃이다. 공막에 황달이 보인다. 오른쪽 윗배에 압통이 있으나 반동 압통은 없다. 혈액검사 결과는 다음과 같다. 복부 컴퓨터 단층촬영 사진이다. 치료는?
혈색소 13.6 g/dL, 백혈구 15,500/mm3, 혈소판 261,000/mm3
알부민 4.1 g/dL
총빌리루빈 5.9 mg/dL, 직접빌리루빈 3.8 mg/dL
아스파트산아미노기전달효소 164 U/L
알라닌아미노기전달효소 120 U/L
알칼리성인산염분해효소 243 U/L
감마글루타밀전달효소 305 U/L
녹말분해효소 60.1 U/L, 지방분해효소 23.3 U/L

정답률 80%
누적 풀이 횟수 2,100+
평균 풀이 시간53초
/
나의 풀이 시간0초
CC | M/65, 상복부통증(2h) |
Hx | |
S/Sx | V/S 100/60 111 20 37.9, icteric sclera, RUQ dT/rT(+/-) |
Lab | WBC↑, T/D.bil↑, AST/ALT↑, ALP/GGT↑ |
Img | CT: CBD dilatation, r/o CBD stone |
Etc |
Imp: 급성 담관염(acute cholangitis)
해설
Distal CBD obstruction이 확인되므로 보기 중 ENBD를 고려할 수 있다.
• 65세 남자가 2시간 전 시작된 상복부 통증을 주호소로 내원했다.
• 발열, 공막 황달, RUQ dT 등 Charcot's triad가 확인되므로 acute cholangitis를 고려해야 한다.
• Lab상에서도 leukocytosis, direct hyperbilirubinemia, ALP/GGT elevation이 확인되므로 biliary obstruction에 의한 cholangitis가 의심된다. AST/ALT elevation은 biliary obstruction에 의한 secondary change로 보인다.
• CT상 proximal CBD dilatation이 보이므로, distal CBD obstruction이 발생했음을 알 수 있다. Obstruction의 원인이 stone인지 tumor인지는 CT 단면 1개로는 파악하기 다소 어려우나(CT에서 고음영으로 보이므로 CBD stone일 가능성이 상대적으로 높다), biliary drainage가 필요하다는 것은 명백하다.
• 따라서 보기 중 endoscopic nasobiliary drainage(ENBD)를 시행할 수 있다.
Tip
급성 담관염 정리 | |
원인 | • 총담관담석(m/c), 종양, 총담관낭 등 |
임상양상 | • RUQ~상복부 통증, 발열, 황달 |
검사소견 | • WBC/CRP↑, bilirubin/ALP/GGT↑ |
진단 | • US/CT: Bile duct dilatation, stone이 보일 수도 있음 • MRCP/ERCP: Proximal bile duct dilatation, filling defect 등 |
치료 | • 담도 감압술 - ERCP(ERBD, ENBD) - 1st line (담석의 경우 + EST + stone removal) - PTC(PTBD) • 원인 치료: 총담관담석의 경우 담낭절제술, 종양의 경우 암 치료 등 • 항생제 및 기타 보존적 치료 |
오답 선지
• 담관공장연결(choledochojejunostomy): 종양 절제 등을 위해 distal CBD 및 duodenum의 resection이 이루어질 경우, remaining proximal CBD와 jejunum을 연결해주는 술식이다.
• 복강경담낭절제(laparoscopic cholecystectomy): Symptomatic GB stone, acute cholecystitis 등 담낭 질환에 대해 시행하는 술식이다. CBD stone의 주된 원인은 GB stone이지만, 본 증례는 biliary obstruction이 CBD stone에 의해 발생한 것인지도 불명확하며, 우선 당장의 폐쇄를 해결하는 것이 우선되어야 한다.
• 내시경코췌관배액(endoscopic nasopancreatic drainage): 본 증례는 amylase/lipase elevation이 없으므로 pancreatic duct obstruction이 있다고 보기 어렵다.
• 피부간경유담낭배액(percutaneous transhepatic gallbladder drainage, PTGBD): Acute cholecystitis 등에 대해 GB drainage가 필요하지만 수술을 시행할 수 없는 경우 고려할 수 있다.
관련 이론
• 총담관담석증과 급성 담관염
Reference
• Harrison 21e, pp.2649-2650