복통

/

460

/

460

354번

[MD25]

0

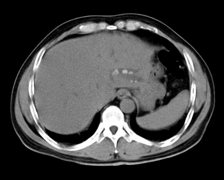
53세 여자가 1일 전부터 배가 아파서 응급실에 왔다. 5년 전부터 1년에 두세 번씩 같은 증상이 있었으며, 그때마다 항생제로 치료를 받은 후 좋아졌다고 한다. 혈압 100/60 mmHg, 맥박 110회/분, 호흡 19회/분, 체온 38.6 °C이다. 공막이 노랗다. 왼쪽 윗배에 압통이 있으나 반동압통은 없다. 혈액검사 결과는 다음과 같다. 복부 컴퓨터단층촬영 사진과 복부 자기공명담췌관조영 사진이다. 치료는?

혈색소 13.5 g/dL, 백혈구 21,500/mm³

혈소판 125,000/mm³

총빌리루빈 3.7 mg/dL, 알칼리성인산염분해효소 275 U/L

아스파트산아미노기전달효소 69 U/L

알라닌아미노기전달효소 54 U/L

C반응단백질 67.4 mg/L (정상치, <10)

정답률 51%

누적 풀이 횟수 2,500+

평균 풀이 시간48초

/

나의 풀이 시간0

CC

F/53, 복통(1m)

Hx

5년 전부터 1년에 2-3회 증상 반복되었으며, 항생제 치료로 호전

S/Sx

V/S 100/60 110 19 38.6 , icteric sclerae, LLQ dT/rT(+/-)

Lab

WBC↑, CRP↑, T.bilirubin/ALP↑, AST/ALT↑

Img

CT: Hepatolithiasis in left hepatic lobe

MRCP: Left intrahepatic bile duct stricture

Etc

Imp: 재발성 화농성 담관염(recurrent pyogenic cholangitis), 간내담석(hepatolithiasis)

해설

환자의 history, 임상증상, 혈액검사 소견, 영상소견을 종합할 때 재발성 화농성 담관염으로 진단 하, 담석이 간의 좌엽에 국한되어 있으며 환자의 잦은 재발 이력을 고려할 때 수술적 간절제를 시행한다.

• 53세 여자가 1일 전부터 시작된 복통을 주호소로 내원했다.

5년 전부터 1년에 2-3회씩 같은 증상이 반복되었으며, 그때마다 항생제 치료로 호전되었다고 한다.

공막 황달이 확인되므로 진성 황달이며, 발열, 복통과 함께 황달이 동반되었으므로 간/담도계 질환, 그 중에서도 담관염이 가장 의심된다.

• 혈액검사 결과 leuckocytosis, CRP elevation의 염증 소견Total bilirubin/ALP elevation의 담즙정체 소견이 확인되는데, 이 또한 담관염에서 나타날 수 있는 소견이다.

• CT상 간 좌엽에 하얀 담석과 간내담관의 확장 소견이 관찰되며, MRCP상 left intrahepatic bile duct의 stricture 소견이 관찰된다.

• 임상증상, 혈액검사, 영상소견을 종합할 때 간내담석으로 인해 담관염이 발생된 것으로 생각된다. 환자는 5년 전부터 같은 증상이 반복되었으며, MRCP상 간내담관의 협착 소견이 확인되므로 담관염이 만성적으로 재발함을 알 수 있다. 따라서, 간내담석에 의한 재발성 화농성 담관염(recurrent pyogenic cholangitis)으로 진단가능하다.

•간내담석에 의한 재발성 화농성 담관염의 치료는 간내담석의 위치, 해부학적 소견 , 환자 상태 등에 따라 결정된다. 현재 간내담석이 left lobe에 국한되어 있으며, MRCP상 좌측 간내담관에서 협착 소견 또한 확인된다. 환자가 잦은 재발 hx가 있으며, 현재 수술을 진행하기 어려운 기저질환이나 기저상태가 없으므로 수술적 간절제를 고려하는 것이 가장 적절하다.

Tip

• 재발성 화농성 담관염의 치료로 ERCP, PTC, hepatic resection이 고려될 수 있다. 위 세가지 치료법은 담석의 위치, 해부학적 소견, 환자의 상태 등에 따라 결정되는데, 담도 협착(biliary stricture)이나 엽 위축(lobar atrophy)이 동반된 일측성 간내담석 환자에게선 수술적 절제가 고려되어야 한다.

• 간절제술을 통한 치료는 내시경적 치료보다 재발율이 낮다고 알려져 있다. 본 증례 환자의 잦은 재발 이력을 고려했을 때에도 간절제술을 통한 치료를 고려하는 것이 적절하다고 생각된다.

오답 선지

• 간이식: 간이 비가역적으로 손상된 경우 고려될 수 있는 치료법이다. 현재 환자에게는 필요하지 않다.

• 담낭절제: 간내담석은 총담관담석과 달리 담낭에서 형성된 담석으로 인해 유발되는 것이 아닌것으로 알려져 있다. 따라서, 담낭에 특별한 이상이 없다면, 총담관담석에 의한 담관염에서와 같이 담낭절제술이 반드시 필요한 것은 아니다.

• 피부경유배액: 간내담석이 말초에 위치하고 있으므로 PTC을 통한 담즙배액+담석제거를 고려할 수 있으나, 담관협착이 동반된 일측성 간내담석 환자이며, 잦은 재발 hx가 있었던 환자임을 고려할 때 간 절제술이 더 적합한 치료라고 판단된다.

• 내시경조임근절개: 간내담석이 말초에 위치하고 있어 내시경조임근절개 및 ERCP을 통한 치료에 어려움이 있다고 판단된다.

관련 이론

급성 담관염

Reference

• Harrison 21e, pp.2649-2650

EASL guideline, 2016