복통

/

460

/

460

360번

[MD25]

0

74세 남자가 3일 전부터 배가 아파서 응급실에 왔다. 30년 전부터 고혈압으로 칼슘통로차단제를 복용 중이다. 3일 전 갑자기 설사와 함께 배꼽 주위부터 아프기 시작하였고 오늘 아침에는 혈변을 보았다고 한다. 혈압 160/70 mmHg, 맥박 126회/분, 호흡 26회/분, 체온 37.3°C이다. 배는 편평하고 압통이 있다. 혈액검사 결과는 다음과 같다. 심전도 사진과 복부 컴퓨터단층촬영 사진이다. 진단은?

혈색소 14.8 g/dL, 백혈구 26,700/mm³

혈소판 170,000/mm³

녹말분해효소 126 U/L, 지방분해효소 79 U/L

C반응단백질 21.1 mg/L (참고치, <10)

정답률 84%

누적 풀이 횟수 2,200+

평균 풀이 시간52초

/

나의 풀이 시간0

CC

M/74, 복통(3d)

Hx

HTN on med(CCB, 30y)

S/Sx

3일 전 갑자기 설사, 배꼽주위 복통 → 오늘 아침 혈변

V/S 160/70 126 26 37.3, dT/rT(+/-)

Lab

WBC↑, CRP↑, amy/lipa↑

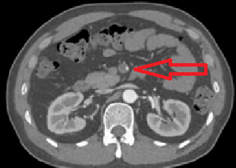
Img

CT: Superior mesenteric artery obstruction

Etc

ECG: Irregulary irregular RR interval

Imp: 상장간동맥색전(SMA embolism)

해설

급성 복통 및 혈변을 호소하는 Afib환자의 복부CT상 상장간동맥의 폐쇄가 확인되므로 상장간동맥색전(SMA embolism)으로 진단한다.

• 74세 남자가 3일 전 시작된 복통을 주호소로 내원했다.

• 3일 전 갑자기 배꼽주위 복통과 함께 설사가 있었으며, 오늘 아침 혈변을 보았다고 한다.

• 혈액검사상 leukocytosis, CRP elevation이 확인되므로 신체 어딘가에 염증이 있음이 의심된다.

• 심전도상 P wave가 보이지 않고 irregulary irregular RR interval이 확인되므로 심방세동(AF)으로 진단할 수 있다. AF 환자가 급성적으로 배꼽주위 통증을 호소였으며, 혈변 및 설사가 동반되었으므로 혈관성 장질환이 의심된다.

• 추가적으로 시행한 복부 CT상에서 상장간동맥(SMA)의 폐쇄가 관찰된다.

• 급성적인 복통 및 혈변을 호소하는 AF 환자에게서 복부 CT상 상장간동맥의 폐쇄가 확인되므로 상장간동맥색전(SMA embolism)으로 진단한다.

Tip

장간막동맥 폐색 정리

위험요인

• Atherosclerosis 병력

• 심방세동, 판막질환 등

임상양상

• 급성 복통 (배꼽 주위)

• 복부 강직, 반발압통 가능

• 혈변, 설사, 구토

진단

• 복부 CT(+혈관조영술)

• 심장질환 조사: ECG, 심초음파

치료

• 수술: 혈전색전제거술 + 괴사한 장 절제

• 항응고제, 광범위 항생제 등

• 심방세동(Afib)이 있는 경우 좌심방 내 혈전(LA thrombus)이 발생하기 쉬우며, 이로 인해 cardiogenic embolism이 발생할 수 있다. 이러한 embolism에 의해 SMA 등과 같은 distal artery에서 occlusion이 유발될 수 있다.

오답 선지

• 장폐색: 복부 CT상 명확한 air-fluid level이 관찰되지 않으므로 장폐색의 가능성은 낮다고 생각된다. Mesenteric occlusion이 발생할 경우 장허혈로 인해 장 운동성이 감소하여 장폐색을 유발할 수 있지만, 본 환자의 복부 CT상에서는 air-fluid level, bowel dilatation 소견 등이 명확히 확인되지 않으므로 장폐색이 유발되지는 않았다고 판단된다. 만일 장폐색이 발생하였다고 하더라도 SMA occlusion에 의해 유발된 것으로 추정되므로, 정답은 A형문제 특성상 SMA embolism이라 할 수 있다.

• 급성위창자염: 본 증례와 같이 급성 복통, 설사, 혈변, WBC/CRP elevation 소견이 나타날 수 있으나, 복부 CT상 SMA occlusion이 확인 되었으므로 상장간막색전으로 진단한다.

• 복부대동맥류: 설사, 혈변 등의 증상이 흔히 동반되지 않으며, P/E상 "만져지는 박동성 덩이"와 같은 조건이 주어지는 경우가 많다. 또한, 복부 CT상 대동맥 지름의 증가가 확인된다.

• 결장곁주머니염: 배꼽주위 통증보다는 RLQ pain을 흔히 호소하며, CT상 diverticular wall thickening 소견이 관찰된다.

관련 이론

혈관성 장질환

Reference

Harrison 21e, pp.2506-2508

ACG guideline, 2015