토혈/흑색변/혈변

/

164

/

164

137번

[MD25]

0

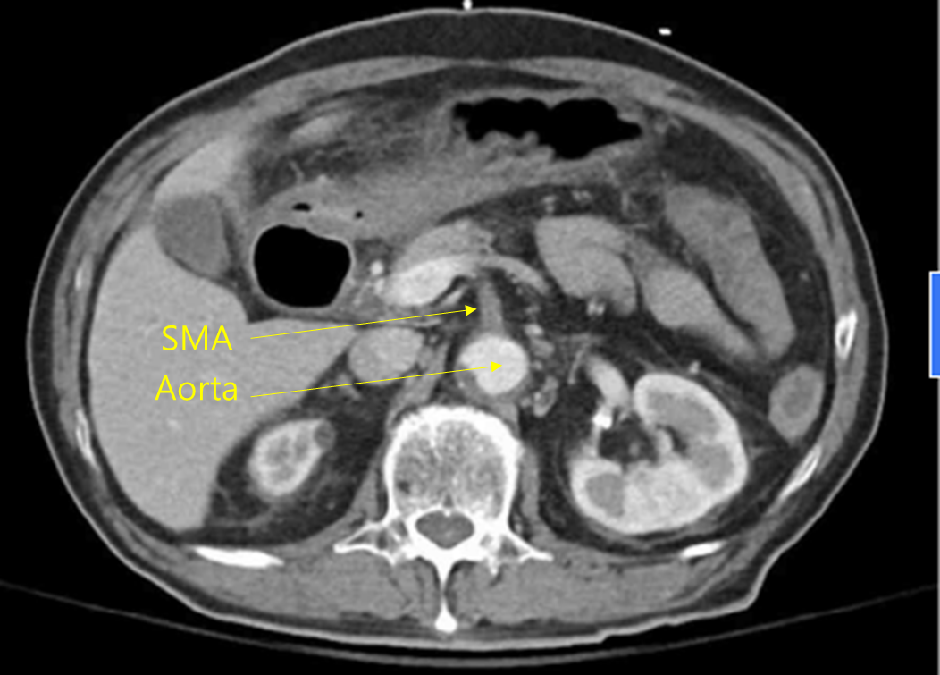
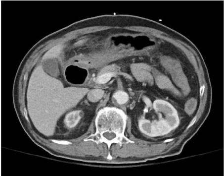
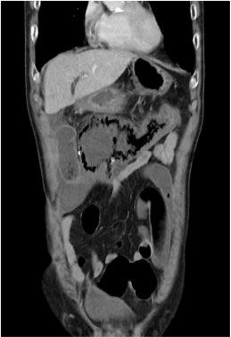
85세 남자가 4시간 전부터 혈변을 본다고 병원에 왔다. 30년 전부터 고혈압, 당뇨병으로 진단받고 약물을 복용 중이다. 식후 갑작스러운 복통이 생겼고 1시간 뒤 점액이 섞인 혈변을 보았다고 한다. 혈압 150/90 mmHg, 맥박 96회/분, 호흡 22회/분, 체온 37.9°C이다. 배는 팽만하고, 배 전체에 압통이 있으나 반동압통은 없다. 복부 컴퓨터단층촬영 사진이다. 진단은?

혈색소 10.5 g/dL, 백혈구 21,800/mm³, 혈소판 153,000/mm³

총단백질 5.9 g/dL, 알부민 2.9 g/dL

아스파트산아미노기전달효소 45 U/L

알라닌아미노기전달효소 31 U/L

C반응단백질 120 mg/L (참고치, <10)

적혈구침강속도 40 mm/시간 (참고치, <20)

정답률 78%

누적 풀이 횟수 2,200+

평균 풀이 시간64초

/

나의 풀이 시간0

CC

M/85, 혈변(4h)

Hx

HTN, DM on med(30y)

S/Sx

식후 갑작스러운 복통 및 1시간 후 점액이 섞인 혈변

복부팽만, 복부 dT/rT(+/-)

V/S 150/90 96 22 37.9

Lab

Hb↓, WBC↑, CRP↑, ESR↑, Albumin↓

Img

CT: Ascending colon wall thickening with nearby fluid collection, SMA stenosis/occlusion

Etc

Imp: 허혈대장염(ischemic colitis)

해설

고혈압 및 당뇨 기저질환을 가진 고령환자에게서 급성 복통 및 혈변이 발생하였으며, CT상 SMA stenosis/occlusion이 확인되므로 ischemic colitis로 진단한다.

85세 남자가 4시간 전 시작된 혈변을 주호소로 내원했다.

• 식사 후 갑작스러운 복통이 발생하였으며, 1시간 후 점액 섞인 혈변이 발생하였다.

• 환자는 고혈압당뇨로 30년간 약물 치료를 받아온 자로, 기저질환 과 나이를 고려할 때 혈관 손상 및 허혈 위험이 높은 환자이다.

• 이러한 환자에서 급성 복통과 혈변이 동반되었으므로 허혈대장염을 의심할 수 있다.

• 혈액검사 결과 leukocytosis 및 CRP/ESR elevation 소견은 환자에게 염증성 병변이 발생했음을 시사하며, 복부 CT상 SMA의 near-total occlusion이 확인되고, SMA가 주된 혈류를 담당하는 ascending colon의 wall thickening과 주변 fluid collection이 허혈대장염이 적절한 진단명일 가능성이 높다.

Tip

혈관성 장질환 정리

오답 선지

• 급성췌장염: 1) 전형적인 복통 양상, 2) 혈청 amylase/lipase 상승, 3) 급성 췌장염의 영상소견 중 2개 이상이 확인될 때 진단 가능하다.

• 궤양결장염: 비교적 젊은 나이에 호발하며, 본 증례와 달리 만성적 경과를 보이는 복통, 배변 이상 등의 증상이 동반된다.

• 구불결장꼬임: 본 증례는 구불결장꼬임에서 흔히 동반되지 않는 혈변이 나타나며, 복부 CT상 mesenteric whirl sign이 관찰되지 않으므로 구불결장꼬임의 가능성은 낮다.

• 급성대장거짓폐쇄: 대장거짓폐쇄는 장내 병변이 없는 장폐색 증상이 나타나는 경우 의심할 수 있다. 현재 환자는 복부 CT상 bowel wall edema소견이 확인되므로 급성대장거짓폐쇄 보단 허혈대장염이 의심된다.

관련 이론

혈관성 장질환

Reference

Harrison 21e, pp.2506-2508

ACG guideline, 2015