소변색변화

/

59

/

59

43번

[MD25]

0

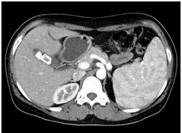
23세 여자가 3일 전부터 소변색이 짙어져서 병원에 왔다. 평소 윗배가 불편하고 자주 어지럽다고 한다. 혈압 100/70 mmHg, 맥박 95회/분, 호흡 14회/분, 체온 36.4°C이다. 왼쪽 윗배에서 덩이가 만져지나 배 전체에 압통과 반동압통은 없다. 혈액검사 결과는 다음과 같다. 복부 컴퓨터단층촬영 사진이다. 치료는?

혈색소 8.5 g/dL, 백혈구 8,500/mm3

혈소판 195,000/mm3

총빌리루빈 3.9 mg/dL, 알칼리성인산염분해효소 95 U/L

아스파트산아미노기전달효소 45 U/L

알라닌아미노기전달효소 52 U/L

정답률 84%

누적 풀이 횟수 2,600+

평균 풀이 시간57초

/

나의 풀이 시간0

CC

F/23, 짙은 소변색(3d)

Hx

S/Sx

윗배 통증, 어지러움

V/S 100/70 95 14 36.4, LUQ mass

Lab

Hb↓, T.bilirubin↑

Img

CT: Splenomegaly, GB stones

Etc


Imp: 유전구적혈구증(hereditary spherocytosis, HS)

해설

Jaundice, anemia, splenomegaly를 통해 HS로 진단하고 담석에 의해 윗배가 불편한 증상이 있으므로 HS 치료를 위해 비장절제술을, 담석증의 치료를 위해 담낭절제술을 시행한다.

• 23세 여자가 3일 전에 시작된 짙은 소변색을 주호소로 내원하였다.

• 환자는 3일 전부터 짙은 소변색을 보였고 lab검사에서 total bilirubin이 증가했으므로 jaundice이 동반됨을 확인할 수 있다.

• 환자는 어지러움을 호소하였으며 lab검사에서 anemia가 확인된다.

• LUQ에 mass가 만져지므로 splenomegaly가 의심되며 실제로 복부 CT상 splenomegaly가 확인된다.

Jaundice, anemia, splenomegaly를 통해 혈관외 용혈질환이 발생함을 파악할 수 있다.

젊은 성인에서 혈관외 용혈질환이 발생하였으므로 HS가 제일 의심이 되며 HS의 치료를 위해 비장절제술을 시행한다.

• HS에서는 담석이 흔히 동반되며 환자 또한 평소 윗배가 불편했다는 점을 통해 담석으로 인한 복통임을 추측할 수 있으며, 이는 복부 CT에서도 확인된다.

유증상의 담석증이므로 담낭절제술을 시행한다.

• 따라서 환자의 치료로 담낭과 비장 절제를 시행한다.

Tip

• HS의 근본적인 치료는 비장절제술로 중등도 이상의 HS에서 비장절제술이 권고된다. 반대로 담낭절제술의 경우 HS의 중등도나 증상과는 상관없이 담낭절제술 적응증에 해당하는 경우에만 시행한다.

용혈성 빈혈의 임상 양상

혈관내 용혈 vs 혈관외 용혈

오답 선지

• 전혈수혈: 중증외상 대량 출혈에서 고려하는 치료법으로 HS의 치료법은 아니다.

• 적혈구수혈: Hb 7g/dL에서 고려하는 치료법으로 현재 환자의 Hb는 8.5 g/dL이다.

• 조혈세포이식: 재생불량성 빈혈, 혈액암에서 고려하는 치료로 HS의 치료법은 아니다.

• 글루코코티코이드: 자가면역 용혈성 빈혈의 치료제로 HS의 치료법은 아니다.

관련 이론

용혈성 빈혈

Reference

Harrison 21e, pp.776-791