순환기

/

53

/

53

25번

[RES20]

0

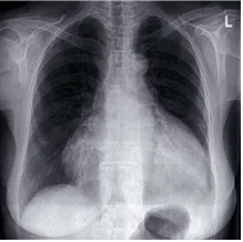
72세 남성이 1주일 전부터 호흡곤란을 호소하며 내원하였다. 폐암으로 항암화학요법 시행 중이며, 혈압은 82/50mmHg, 맥박은 115회/분, 호흡수는 22회/분, 체온은 36.7℃로 측정되었다. 심장 청진 시 심장박동이 미약하게 들렸다. 환자의 가슴 X선 사진을 참고하여 다음 중 가장 적절한 검사를 선택하시오.

정답률 97%

누적 풀이 횟수 1,100+

평균 풀이 시간24초

/

나의 풀이 시간0

CC

호흡곤란 (duration: 1주일)

Hx

폐암

S/Sx

BP↓, HR↑, RR↑, 심음 감소

Lab

Img

Water bottle appearance

Etc

Imp: 심장눌림증(cardiac tamponade)

해설

항암화학요법의 부작용으로 인한 pericardial effusion 및 이로 인한 cardiac tamponade이 의심되므로 진단을 위한 심초음파 검사를 시행한다.

• 다량의 pericardial effusion으로 저혈압, 심음 감소, 호흡곤란이 동반될 수 있으며 CXR 상 관찰되는 water bottle appearance도 이에 합당한 소견이다.

심초음파를 시행, pericardial effusion으로 collapse된 심장을 관찰하여 진단할 수 있다.

• 감염성 심막염, 종양성 질환, 자가면역질환 등이 pericardial effusion을 유발할 수 있으며 본 증례의 폐암으로 인한 항암화학요법 시행력도 위험 인자에 포함된다.

Tip

• Pericardial effusion이 출제되는 경우 위험 인자(바이러스 감염에 의한 급성 심막염, 결핵 등)과 cardiac tamponade의 Beck's triad (혈압 감소, 정맥압 증가-경정맥 확장, 심음 감소)가 명시되는 편이다.

• 심장막천자(pericardiocentesis)로 치료할 수 있다.

오답 선지

• 폐기능검사, 기관지내시경, 객담검사: 호흡기 질환의 진단에 필요한 대표적인 검사법들이다.

• 흉수천자: Pericardial effusion이 관찰되므로 흉수천자가 아닌 심장막천자가 필요하다.

관련 이론

심장 눌림증

Reference

• Harrison 21e, pp.2021-2023

ESC guideline, 2015