순환기

/

53

/

53

31번

[RES19]

0

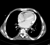
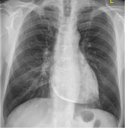
52세 남성이 18개월 전부터 서서히 증가하는 호흡 곤란, 하지 부종 및 지속적인 피로감을 호소하며 내원하였다. 혈압은 110/68 mmHg, 맥박은 분당 78회로 측정되었다. 환자의 흉부 X선 및 CT 영상을 검토한 결과, 다음과 같은 치료 방법을 고려하였다. 가장 적절한 치료 방법은?

정답률 97%

누적 풀이 횟수 1,100+

평균 풀이 시간18초

/

나의 풀이 시간0

Imp: constrictive pericarditis

해설

흉부 X선과 CT 영상에서 pericardial calcification 소견으로 교착성(또는 압축성)심막염이다. 심낭제거술(pericardiectomy)가 근본적인 치료이다.

+ 바이탈이 안정적인 Transient constrictive pericarditis는 보존적 치료로 진행할 수도 있으나 위 지문에는 적용할 수 없다.

협착성 심낭염의 경우, 약물 치료만으로 호전될 가능성은 질병의 단계와 근본 원인에 따라 다릅니다. 협착성 심낭염이 심장 수술 후 또는 급성 심낭염의 결과로 발생하는 경우 처음에는 가역적 또는 "일시적" 단계로 나타날 수 있습니다. 이 초기 단계에서는 염증이 증상의 주요 원인이며 아직 심낭의 심각한 섬유증이나 석회화가 없을 수 있습니다. 이러한 경우엔 항염증제(예: NSAID, Colchicine 또는 Corticosteroid)를 사용하는 등 염증을 줄이고 증상을 관리하는 것을 목표로 하는 보존적 치료가 효과적일 수 있으며 수술 없이도 호전될 수 있습니다.

그러나 교착성심낭염이 심낭의 섬유화, 비후, 석회화를 특징으로 하는 만성 단계로 진행되면, 이 상태는 약물 치료만으로 회복될 가능성이 적습니다. 만성 협착성 심낭염은 심낭 구조의 영구적인 변화를 수반하여 일반적으로 항염증제나 이뇨제 치료로 완화되지 않는 지속적인 심장 수축을 초래합니다.

이 환자에서 심낭 석회화가 존재한다는 것은 질병이 염증 단계를 넘어 더욱 만성적인 섬유증 또는 석회화 단계로 진행되었음을 의미하며, 수술적 치료(pericardiectomy)가 더 적절하고 결정적인 치료 옵션이 됩니다.

오답 선지

• Diuretic : 저염식과 이뇨제도 volume overload을 줄이고 congestion을 완화하여 교착성심낭염의 증상을 관리하는 데 사용할 수 있다. 그러나 석회화된 심낭으로 인해 심장 운동이 제한되는 근본적인 문제를 해결하지는 못 한다.

• Thoracocentesis : effusive-constrictive pericarditis에서 pericardiocentesis를 할 수는 있으나, 흉수의 증거가 없는 상황에서 'thoracocenteosis'를 시행할 이유는 없어 보인다.

• Cardiac glycoside : Digoxin 등의 Digitalis 약물을 일컫는 말로, 현재 바이탈이 안정된 상황에서 사용할 이유는 없어 보인다.

관련 이론

교착성 심낭염

Reference

Harrison 21e, pp.2024-2025

ESC guideline, 2015

• SNUH manual of medicine, 6th edition, p. 184