순환기

/

53

/

53

30번

[RES19]

0

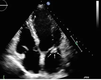
58세 남성이 10일 전부터 시작된 불규칙한 발열을 호소하며 내원했다. 청진 시 미상의 심장잡음이 관찰된다. 심장 초음파 검사와 손가락 및 손톱의 사진이 첨부되어 있다. 이 환자에서 의심되는 진단은 무엇인가?

정답률 98%

누적 풀이 횟수 900+

평균 풀이 시간11초

/

나의 풀이 시간0

Imp: infective endocarditis

DDx: cardiac myxoma

해설

발열과 심잡음 소견이 있다면 감염성심내막염을 반드시 의심한다. 손가락의 Janeway lesion(출혈성 반점), 손톱의 splinter hemorrhage가 관찰되며 심장초음파에서 vegetation이 관찰되기 때문에 감염성 심내막염으로 진단할 수 있다.

Tip

• 반복적으로 출제되기 때문에 감염성심내막염의 주요 소견(Splinter hemorrhage, Roth's spot, Osler's node, Janeway lesions)에 대해서 알아두고, 난이도가 상승하는 최근 경향에 따라 치료도 정리하면 좋겠다.

오답 선지

• 급성 심낭염 : 흉통, pericardial friction rub, ECG change 등의 소견이 제시되어 있지 않다.

• 심낭 삼출 : 심초음파에서 심낭과 심근 사이에 hypoechoic 한 병변이 보여야 한다.

• 류마티스성 심장염 : 류마티스 질환을 의심할만한 소견은 보이지 않는다.

• 심장의 점액성 종양 : primary cardiac tumor 중 가장 흔한 cardiac myxoma는 LA에서 75%, RA에서 20% 관찰되며 심방에 위치하여 MS 또는 MR의 증상을 보인다. 위 지문의 사진도 LA에 위치하고 있으나 감염성 심내막염의 특징적인 임상 소견들이 있기 때문에 R/O할 수 있다.

관련 이론

감염성 심내막염의 진단 기준

: Modified Duke criteria (2 major 혹은 1 major + 3 minor 혹은 5 minor 만족)

Major

Criteria

1. Blood culture positive for IE

• 2번의 독립된 culture에서 IE의 전형적인 병원균 검출

• 12시간 이상의 간격으로 채취한 2번의 혈액배양에서 원인균 검출

2. Evidence of endocardial involvement

심초음파상 양성 소견: Vegetation / 균 공격받은 자국

• 새로 생긴 판막 역류

Minor

Criteria

Predisposition

기저 심질환 / IV drug 사용 / 수술 Hx

Fever

38℃ 이상의 발열

Vascular phenomena

Systemic embolism

Immunologic phenomena

Roth spot, Osler node, glomerulonephritis, arthralgia, rheumatic factor

Microbiological evidence

Major criteria에 맞지 않는 혈액 배양 양성(두 번중 한번만 양성)

IE 원인균에 의한 현성 감염의 혈청학적 증거

* 국시 및 전공의시험을 위해서는 위 진단기준을 알지 않아도 되며, 혈액배양과 심초음파가 major criteria에 해당할 만큼 진단을 위해 중요하다는 사실 정도만 알아도 된다.

Reference

• Harrison 21e, pp.1022-1034