37번
[RES18]
0
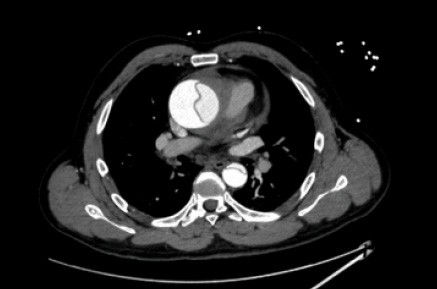
49세 여성이 갑작스러운 호흡곤란과 함께 심한 가슴 통증을 호소하며 내원하였다. 통증은 등 쪽으로 방사되고 있으며, 약물 치료에도 통증이 지속되고 있다. 흉부 CT 스캔 결과 대동맥 벽에 이상이 관찰되었다. 이 환자에게 필요한 응급 처치는 무엇인가?
정답률 99%
누적 풀이 횟수 1,100+
평균 풀이 시간15초
/
나의 풀이 시간0초
Imp: Aortic dissection, Stanford type A
해설
상행대동맥에서 false lumen이 보이는 stanford Type A 대동맥박리다. Stanford Type A의 치료는 대동맥 치환술이 필요하다.
Tip
• Type B aortic dissection의 치료에 대해서도 잘 알아두면 좋다.
관련 이론
• 급성 대동맥 증후군
• 대동맥 박리의 분류: 치료계획 수립에 ascending aorta 침범 여부가 중요하므로 Stanford가 훨씬 중요
Stanford classification | ||
Type A Ascending aorta 침범 | Type B Descending aorta에 국한 | |
|
|
|
Debakey classification | ||
Type I Ascending aorta, aortic arch, descending aorta 전부 침범 | Type II Ascending aorta만 침범 | Type III Descending aorta만 침범 |
• Type별 치료
(1) Type A(ascending aorta 침범): 수술
• 대동맥 대치술(aortic replacement)이 주로 사용된다.
(2) Type B(ascending aorta 비침범): 내과적 치료 > Endovascular 시술
• 생명을 위협하는 합병증이 없다면 약물치료를 1차적으로 시도.
• Thoracic endovascular aortic repair는 Complicated type B dissection에서 시행.
- Complicated type B dissection (in Harrison)
① propagation
② compromise of major aortic branches
③ impending rupture
④ continued pain
- Complicated type B dissection (in Uptodate)
① complicated major aortic branches leading to end-organ ischemia(ie. malperfusion)
② rapid expansion
③ aneurysmal degeneration of aortic wall
④ expanding hematoma
⑤ impending or frank rupture
-> 간단히 큰 대동맥 가지가 막혀서 장기 부전이 발생하거나, 점점 커지거나 터지기 직전!
- endovascular repair가 시행하기 어렵다면 수술적 치료를 고려.
* Ascending aorta는 수술적 접근이 쉬운 위치에 있으나, descending aorta는 그렇지 못하다.
Reference
• Harrison 21e, pp.2104-2106
• 지문의 CT


