호흡기

/

37

/

37

20번

[RES19]

0

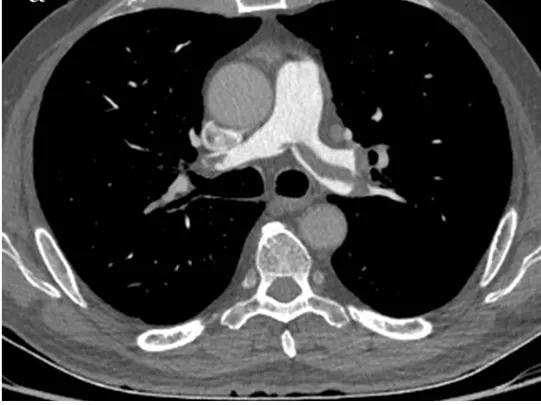
58세 여성이 갑작스러운 호흡곤란과 가슴 통증을 호소하며 내원했다. 5주 전에 왼쪽 슬개골 골절로 인해 수술을 받았다. 혈압은 130/80 mmHg, 맥박은 102회/분, 호흡수는 24회/분, 체온은 37.1도로 측정되었다. 흉부 CT 촬영 결과를 바탕으로 가장 적절한 치료 방법은 무엇인가?

정답률 74%

누적 풀이 횟수 1,700+

평균 풀이 시간25초

/

나의 풀이 시간0

Imp: Pulmonary thromboembolism

해설

갑작스러운 호흡곤란과 흉통 및 빈맥, 5주전 슬개골 골절 수술 히스토리는 폐색전증을 강하게 시사하는 소견이다. CT상에도 폐동맥의 저음영 병변이 보이므로 diagnostic하기 때문에 추가 검사 없이 치료로 넘어간다.

• 바이탈이 안정되어 있으므로 이차 예방을 위한 항응고치료 단독요법을 시작한다. 헤파린 브릿징 없이 와파린을 사용할 경우 역설적으로 thrombotic effect가 나타날 수 있으므로, 처음 시작은 NOAC이나 heparin으로 해야 한다.

Tip

• 20년도 1교시 6번 문제는 진단과정을, 7번 문제는 치료에 대해서 물어보았다. 폐색전증과 심부정맥혈전증은 시험에 자주 출제되므로 자세히 공부해두길 바란다.

오답 선지

• 와파린 : Heparin bridging 이후 사용한다.

• 항혈소판제 : 항혈소판제는 Venous thromboembolism에서 사용하지 않는다. 주로 arterial disease에서 사용한다.

• tPA : tPA는 바이탈이 흔들릴 때 항응고요법과 같이 사용한다.(thrombolytic therapy)

관련 이론

DVT & PE 진단 알고리즘

1. DVT가 의심되는 상황

(1) 가능성이 낮은 경우(Low) : D-dimer 시행

→ D-dimer가 정상이라면 정상, 높으면 영상검사 시행

(2) 가능성이 낮지 않은 경우(Not low) : 영상검사 시행 (ex. US)

→ US에서 non-diagnostic : MR, CT, Phlebography

2. PE가 의심되는 상황

(1) 혈역학적으로 안정하고, 가능성이 높지 않은 경우(Not high) : D-dimer 시행

→ D-dimer가 정상이라면 정상, 높으면 영상검사 시행

(2) 혈역학적으로 안정하고, 가능성이 높은 경우(High) : 영상검사 시행 (ex. US)

→ CT에서 non-diagnostic이거나 CT를 할 수 없는 상황이면 Lung scan

→ lung scan에서도 non-diagnostic이면 TEE or MR or invasive pulmonary angiography

(3) PE가 의심되는 상황에서 쇼크나 저혈압을 동반한 경우 : 가능하다면 CTA 빠르게 시행

→ CTA가 불가(너무 심각한 상태 등)하면 Echocardiography 시행 : RV overload 여부 확인

→ RV overload있고 환자가 CT 찍을정도로 stable 해지면 CTA 시행, 환자가 여전히 unstable하다면 PE 치료를 그냥 시행

→ CTA를 시행해서 PE 소견이면 PE 치료 시행 / 음성이면 다른 원인 찾기

• 폐색전증의 치료

Risk Stratify

혈압 정상

normal RV

혈압 정상

RV hypokinesis

저혈압

Secondary prevention

개별치료

Primary therapy

항응고치료 단독

IVC filter

항응고치료

+ thrombolysis

Embolectomy

: catheter/surgical

1) 항응고치료

(1) Heparin (aPTT 60~80 sec) → warfarin으로 변경(INR 2.5~3.0)

• 24시간 이내에 치료농도에 도달해야 함

* Warfarin을 먼저 사용하는 경우 warfarin은 비타민 K를 억제해 응고인자 2, 7, 9, 10 뿐 아니라 지혈을 억제하는 protein C, S도 억제하여 초기에 오히려 응고가 잘 될 수 있다. 따라서 반드시 heparin을 먼저 사용하여 충분히 aPTT를 올린 이후 warfarin으로 변경한다.

* 먼저 UFH, LMWH, fondaparinux를 사용하고 7일 이후로 Warfarin을 5일 정도 같이 사용함.

(2) NOACs: rivaroxaban, apixaban

2) 혈전용해술(thrombolysis): Phlegmasia(iliofemoral vein의 광범위한 DVT), 혈역학적으로 불안정한 폐색전증

3) 수술적 색전제거술: 만성적 근위부의 정맥 폐쇄의 경우 드물게 시행

• 항응고 치료의 금기 사항

Absolute contraindication

• 현재 출혈 경향성

• GI 출혈 (10일 내)

• Intracranial / spinal 수술, intracranial 외상 (3개월 내)

• 뇌경색/뇌출혈 (2개월 내)

Relative major contraindications

• Major nonvascular 수술/외상 (10일 내)

• Uncontrolled HTN

• 외부에서 압박지혈 불가능한 출혈

• Intracranial 종양

• 최근 눈 수술

Relative minor contraindications

• 간부전

• 감염성 심내막염

• 임신

• 당뇨병 출혈성 망막병증(DM hemorrhagic retinopathy)


Reference

• Harrison, 21e, pp. 2095~2100

• European Heart journal 2014; 35(43): 3033-3075