호흡기

/

37

/

37

21번

[RES19]

0

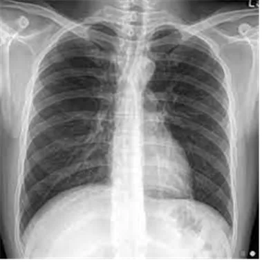
45세 여성이 3주 전부터 지속된 기침으로 내원했다. 초기에는 인후통과 콧물이 동반되었으나, 이후 점차 호전되었다. 환자는 3년 전부터 류마티스 관절염으로 치료를 받고 있으며, 최근 증상이 악화되어 바이오로직스 치료를 고려 중이다. 비흡연자이며, 과거에 결핵 치료 경험은 없다. 폐 진찰에서 특이 소견은 발견되지 않았다. 가래 검사와 혈액 검사 결과, 그리고 가슴 X선 사진을 바탕으로 한 처치 방안은 무엇인가?

가래: AFB smear (-), TB PCR (-)

혈액: 인터페론감마방출검사 (+)

정답률 85%

누적 풀이 횟수 1,400+

평균 풀이 시간44초

/

나의 풀이 시간0

Imp: Latent tuberculosis infection

DDx: Active Tb

해설

류마티스관절염을 치료하기 위한 생물학적제제(anti-TNF-a)를 사용하면 면역억제를 통한 잠복성 결핵의 활성화, 결핵의 중증도 악화 위험으로 사용하기 전에 결핵에 대한 검사를 시행한다. AFB와 TB PCR, CXR에서 음성이었고, IGRA에서 양성이기 때문에 잠복결핵이다.

• 잠복결핵의 치료로 INH 9개월 요법을 사용할 수 있다(과거에는 표준 치료였으나 지금은 3 HR, 4 R 요법의 대체 치료로 사용 가능).

Tip

• 잠복결핵의 진단 기준을 알아두자! anti-TNF-a 사용 예정자의 TST 기준이 다르다.

관련 이론

잠복결핵

Reference

Harrison 21e, pp.1378-1381

대한결핵 및 호흡기학회 가이드라인, 2024