22번
[RES19]
0
62세 남성이 기침과 함께 피를 뱉는 증상을 호소하며 병원을 찾았다. 그는 35갑년의 흡연력이 있으며, 최근 3주 동안 지속된 기침과 가래 증상을 경험했다. 혈압은 120/80mmHg, 맥박은 76회/분, 호흡수는 20회/분, 체온은 36.8°C로 측정되었다. 가슴 X선 사진을 찍었다. 이 환자에게 필요한 다음 단계 검사는 무엇인가?
정답률 92%
누적 풀이 횟수 1,200+
평균 풀이 시간22초
/
나의 풀이 시간0초
Imp: Lung cancer
DDx: Tuberculosis
해설
35갑년의 흡연력과 지속적인 기침, 가래, 객혈 증상으로 폐암을 의심할 수 있다.
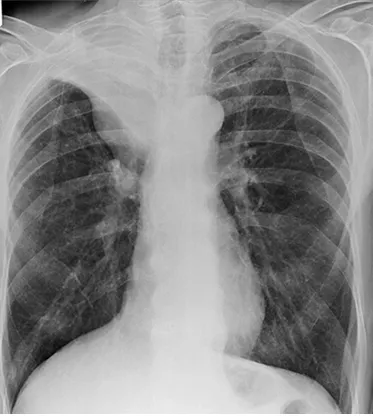
• Golden S sign이 우상엽에서 관찰된다. 일반적으로는 Bronchus를 막고 있는 central mass가 있는 경우 나타나는 X선 소견이다. 다음 시행할 검사로는 선택지 중 Bronchogenic mass를 확인하기 위한 기관지내시경이 가장 정답에 가깝다.
• 사실 CT 촬영이 선지에 있었다면 CT 검사가 우선적이라 할 수 있다. CT를 통해 폐와 종격동 등의 구조의 변화, 림프절 침범 및 전이를 확인할 수 있으며, 정확한 병변을 확인하여 기관지경을 계획하는 데 효과적일 수 있다.
Tip
• 주요 흉부 X-ray 소견을 공부해두면 좋다.
오답 선지
• 폐기능검사 : 수술 전 평가 등의 이유로 시행할 순 있겠지만, 현재 상황에서 먼저 고려할 검사는 아니다.
• 양전자방출단층촬영 : 폐암이 진단되고 병기설정 등을 위해 PET을 촬영할 수 있다.
• 흉강경하 조직검사 : VATS(Video-assisted thoracoscopic surgery)로 많이 시행하는 수술적 조직검사 방법이다.
- CT guided needle biopsy, Bronchoscopy로 조직검사를 하기 어려운 경우
- 진단을 위해 많은 양의 조직이 필요한 경우 (ex. sarcoidosis)
- ILD와 같이 Diffuse lung disease를 진단하기 위해 필요한 경우
등과 같은 경우에 시행한다.
• 폐혈관조영술 : PTE가 의심될 때 시행한다.
관련 이론
• 폐암 검사 소견
1) CXR: 발견되는 경우 이미 진행된 폐암인 경우가 많아 조기발견에 유용하지 않음
(1) Mass, nodule: m/c
(2) GGO, cyst, cavitation
* Cavitatory lesion의 경우 TB와의 감별이 특별히 더 필요하다.
(3) 무기폐(atelectasis): Golden S sign 등
(4) 흉막 삼출(pleural effusion): 악성 흉수나 lymphatic obstruction의 경우 발생
|
|
우상엽에 보이는 공동(cavity) | 우상엽의 무기폐(atelectasis)로 인해 보이는 golden S sign |
2) 저선량 흉부 CT: 폐암 고위험군에 대한 조기 검진 검사
* 실제로 우리나라에서 2019년부터 만 54~74세의 30갑년 이상의 흡연력을 가진 사람들을 대상으로 폐암 검진 목적으로 저선량 흉부 CT를 2년 주기로 실시한다.
3) 일반 흉부 CT: 폐암이 의심되는 모든 환자에서 진행
(1) 종양의 위치, 크기, 성질을 판단
(2) 림프병증 여부, 간/부신의 이상 판단
• 폐암의 진단
조직검사가 폐암의 유일한 확진 검사이다.
1) 기관지내시경: 기관지에서 접근하기 쉬운 central lesion 위주로 사용
(1) 경기관지 바늘흡인(transbronchial needle aspiration, TBNA)
(2) 경기관지 폐생검(transbronchial lung biopsy, TBLB)
* TBNA/LB는 필요시 기관지내초음파(endobronchial ultrasound, EBUS)의 도움을 받는다.
2) 경피적 조직검사: 경피적으로 접근하기 쉬운 peripheral lesion 위주로 사용
3) 기타
(1) 경식도 내시경 생검(EUS-FNA): 종격동 병변, Lt. bronchus LN에 대한 생검
(2) 객담/BAL 세포검사: 민감도는 낮지만 적절한 검체가 채취되는 경우 진단 가능
(3) Thoracentesis: 흉수가 있을 경우 흉수 내 세포검사 가능
* 전이된 림프절이나 장기에도 surgical/core biopsy를 진행할 수 있다.
Reference
• Harrison 21e, pp.594-604

