소화기

/

60

/

60

24번

[RES22]

0

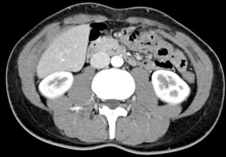
22세 여성이 지난 2주 동안 지속된 식욕 부진과 체중 감소를 호소하며 병원을 찾았다. 최근 4개월 동안 체중이 약 8kg 감소했다. 복부 CT 사진이다. 이 환자의 증상과 관련이 있는 혈관은?

정답률 97%

누적 풀이 횟수 1,200+

평균 풀이 시간26초

/

나의 풀이 시간0

Imp: 상장간막동맥 증후군(SMA syndrome)

해설

급격한 체중감량 과거력과 aorta와 SMA 사이에 duodenum 3rd part가 끼어 있는 CT 소견을 통해 SMA syndrome으로 진단할 수 있다.

관련 이론

급성 장폐색

Reference

• Harrison 21e, pp.2508-2512