외과 총론

/

113

/

113

105번

[RES16]

0

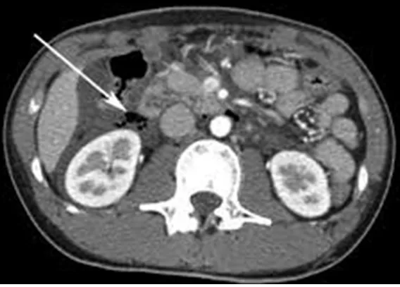
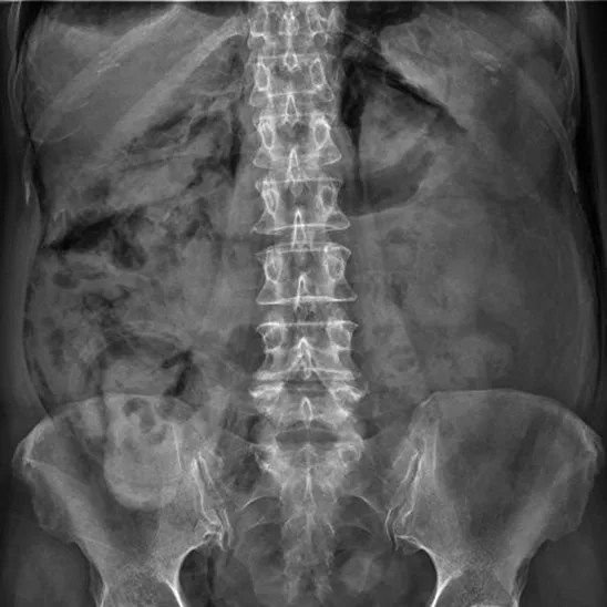
28세 여성이 자전거 사고 후 복통을 호소하며 응급실로 내원했다. 혈압 130/85 mmHg, 맥박 88회/분, 호흡수 15회/분, 체온 36.5℃로 측정되었다. 복부 진찰 결과 우측 상복부에 압통 및 경미한 반발압통이 관찰되었다. 복부 초음파 및 복부 CT 촬영 결과가 나왔다. 손상된 부위는 어디인가?

정답률 88%

누적 풀이 횟수 1,600+

평균 풀이 시간32초

/

나의 풀이 시간0

Imp: 십이지장 손상

해설

후복막 장기 손상과 상복부 통증을 종합하여 보기 중 십이지장 손상의 가능성이 가장 높다.

• 복부 X선, 복부 CT 상 신장 주위 retroperitoneal area에 저음영의 공기가 관찰되어 (perinephric air) 후복막 장기의 손상이 의심된다.

• 보기 중 십이지장, 상행결장, 하행결장이 후복막장기에 해당하나 상복부 통증을 호소하여 십이지장 손상의 가능성이 가장 높다.

Tip

• 후복막 장기: 부신(adrenal gland), 신장(kidney), 식도(esophagus), 췌장(pancreas), 직장(rectum), 상행결장(ascending colon), 하행결장 (descending colon), 십이지장의 2nd, 3rd portion 등

오답 선지

• 회장: 후복막 장기에 해당하지 않는다.

• 상행결장: 후복막 장기이나 상복부 통증을 호소하여 가능성이 낮다.

• 공장: 후복막 장기에 해당하지 않는다.

• 하행결장: 후복막 장기이나 상복부 통증을 호소하여 가능성이 낮다.

관련 이론

복부 외상

Reference

• Sabiston 21e, pp.411-424