외과 총론

/

113

/

113

39번

[RES21]

0

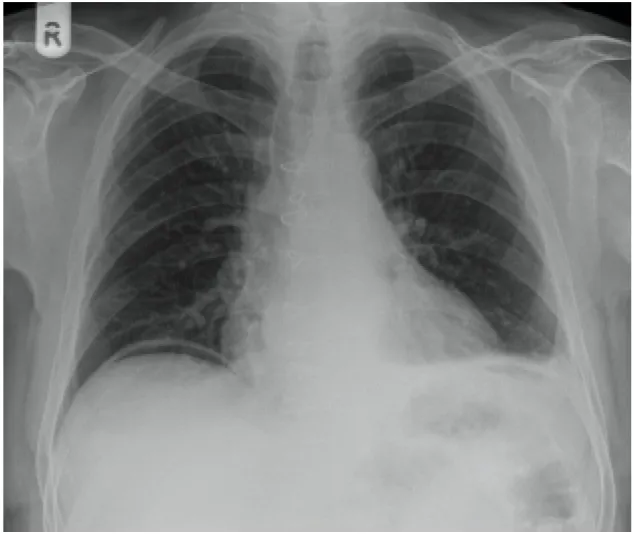
48세 남성이 3 시간 전에 시작된 심한 복통을 호소하며 내원했다. 환자는 복부 전체에 걸쳐 압통을 보이며 복부 근육의 경직을 나타냈다. 가슴 X-ray 사진이다. 이 환자에게 필요한 처치는 무엇인가?

정답률 99%

누적 풀이 횟수 1,000+

평균 풀이 시간9초

/

나의 풀이 시간0

Imp: 위장관 천공

해설

• 심한 복통을 호소하는 환자에서 복부 경직이 나타나고 있다.

• 가슴 X-선에서 복강 내 free air가 관찰되는데, 심한 복통이 동반될 경우 이는 위장관 천공을 시사한다.

• 따라서 즉시 응급개복술이 필요하다.

관련 이론

급성 복증

Reference

• Sabiston 21e, pp.1134-1147