외과 총론

/

113

/

113

81번

[RES18]

0

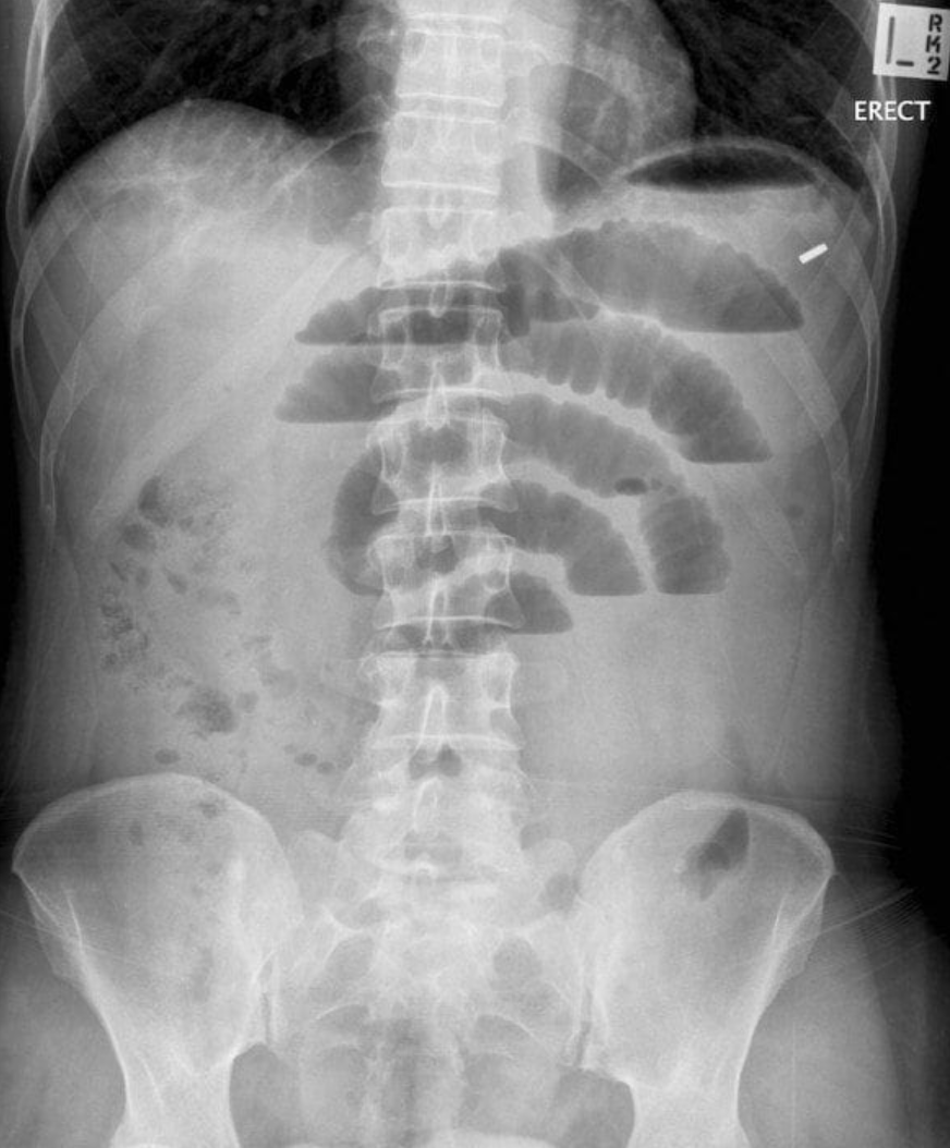
28세 여성이 3일 전부터 복통을 호소하며 병원을 찾았다. 환자는 4년 전에 담낭절제술을 받았으며, 현재 복부가 팽만하고 압통은 미약하다. 3일 동안 가스 배출이 없었다고 한다. 체온 37.3℃, 혈압 125/78 mmHg, 맥박수 90회/분, 호흡수 20회/분으로 측정되었다. 혈액검사 결과 Hb 13.8g/dL, WBC 8,200/mm3로 나타났다. 복부 X선 사진을 찍었다. 적절한 처치는 무엇인가?

정답률 98%

누적 풀이 횟수 1,300+

평균 풀이 시간18초

/

나의 풀이 시간0

Imp: small bowel obstruction

해설

• 복부 수술력이 있는 여성에서 복통, 복부 팽만, 압통이 있어 촬영한 X선에서 소장이 확장된 loop가 air-fluid level과 함께 보이고 있어 소장폐쇄를 의심할 수 있다. 우선적으로 코위관 삽입을 통해 장내 압력을 줄여주고, 수액을 투여하여 탈수를 교정한다.

• Small bowel obstruction(SBO)의 가장 흔한 원인은 post-operative adhesion다. 가스가 나오지 않는다는 점도 SBO를 강력하게 의심할 수 있는 소견이다.

Tip

• 반발압통까지 주어졌다면 교액이 의심되어 응급 수술이 필요합니다.

오답 선지

• 항생제 투여 : 수술적 치료가 필요할 때 예방적 항생제를 투여한다. 현재의 상황에서는 비위관 삽입이 우선이다.

• 응급 개복 : 반발압통, 발열, 백혈구 증가 등의 교액이 의심되면 응급 수술이 필요하다.

• 진통제 투여 : 현재 통증이 심하지는 않으며 비위관 삽입보다 우선될 수는 없다.

• 직장관 삽입 : Sigmoid volvulus에서 직장관 삽입을 통해 대장의 압력을 줄여준다.

관련 이론

장폐색

Reference

• Sabiston 21e, pp.1250-1258