산과

/

88

/

88

46번

[RES20]

0

임신 36주에 접어든 28세 초산모가 태동 감소를 호소하며 내원했다. 혈압은 142/90mmHg, 맥박은 82회/분, 호흡은 20회/분, 체온은 36.7℃로 측정되었다. 초음파 검사 결과, 태아는 두위로 위치하고 있으며 예측 태아 몸무게는 1,700g (3백분위수)으로 나타났고, 양수지수는 5.5cm로 측정되었다. 골반 검사에서는 자궁경부가 닫혀 있으며, 소실은 관찰되지 않았다. 비수축검사와 탯줄동맥도플러검사 결과이다. 가장 적절한 처치 방법은 무엇인가?

[비수축검사]

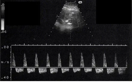
[탯줄동맥도플러검사]

정답률 87%

누적 풀이 횟수 1,500+

평균 풀이 시간29초

/

나의 풀이 시간0

Imp: 태아성장지연(fetal growth restriction, FGR)

해설

34주 이상 태아에서 FGR과 함께 umbilical US의 reversed end-diastolic flow와 loss of variability가 관찰되므로 응급제왕절개의 적응증이다.

• 태동 감소로 내원한 산모에서 예측태아몸무게<10백분위가 확인되므로 FGR이 있다고 추정할 수 있으며, umbilical US상 reversed end-diastolic flow가 관찰된다. 이는 placental insufficiency를 의미한다.

• FGR이 있는 34주 이상의 태아에서 reversed end-diastolic flow가 관찰되므로 분만의 적응증이다.

• NST 상 loss of variability가 관찰되어 심각한 태아곤란을 시사하므로 응급제왕절개술을 시행한다.

Tip

탯줄동맥 도플러 해석

태아성장지연 처치

오답 선지

• 경과관찰: 본 증례는 reversed end-diastolic flow가 관찰되어 분만이 필요하다.

• 유도분만: 본 증례는 variability loss가 관찰되어 즉시 제왕절개가 필요하다.

• 헤파린: 항인지질 증후군으로 진단된 산모의 치료법이다.

• 양수주입술: 양수과소증에서 시도할 수 있으나 이득이 크지 않다.

관련 이론

태아성장지연

Reference

• Williams 26e, pp.825-832