산과

/

88

/

88

47번

[RES20]

0

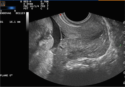
임신 33주에 접어든 30세 경산부가 갑작스러운 질출혈을 호소하며 병원을 찾았다. 혈압은 130/82 mmHg, 맥박은 76회/분, 호흡은 20회/분, 체온은 36.7℃로 측정되었다. 환자는 복통을 호소하지 않으며, 병원에 도착한 후 추가적인 출혈은 관찰되지 않았다. 전자태아심음감시 결과, 태아의 심박동수는 정상 범위를 보이고 자궁수축은 나타나지 않았다. 초음파 사진이다. 가장 적절한 치료 방법은 무엇인가?

정답률 95%

누적 풀이 횟수 1,400+

평균 풀이 시간33초

/

나의 풀이 시간0

Imp: 전치태반(placenta previa)

해설

초음파 상 internal os와 placenta 경계가 가까이 위치한 전치태반으로 현재 안정적이고 분만의 징후가 없어 경과관찰한다.

• 무통성 질출혈로 내원한 산모의 초음파 상 internal os와 placenta가 매우 인접해 있는 전치태반이다.

• 태반이 자궁목을 완전히 또는 부분적으로 막고 있으면 완전/부분 전치태반, 2cm 이하로 인접해 있으면 하위 전치태반 로 진단한다.

• 현재 혈역학적으로 안정적이고 질출혈이 멈추었으며, 태아 상태가 안녕하므로 절대 안정하며 경과관찰 가능하다.

Tip

분만 전 출혈의 감별진단

• 하위 전치태반은 분만 진행 상황에 따라 부분/완전 전치태반으로 변할 수 있어 주의가 필요하다.

• 임신 초기 하위 전치태반의 90%, 임신 중기 전치태반의 2/3은 임신 3분기에 소실되므로 임신 초, 중기에 전치태반이 진단된 경우 후반기에 다시 확인해야 한다.

오답 선지

• 내진: 전치태반에서 내진은 급격한 출혈을 일으킬 수 있으므로 절대 금기이다.

• 응급제왕절개술: 과다 출혈로 V/S unstable할 시 태아 주수와 관계없이 응급제왕절개술을 시행한다.

• 수혈: V/S unstable하거나 Hb가 낮을 경우 필요하나 현재 안정적이다.

• 테르부탈린: Beta agonist로, 주로 bronchodilator로 사용된다.

관련 이론

분만 전 출혈

Reference

• Williams 26e, pp.742-743, 749-769