부인과

/

83

/

83

75번

[RES16]

0

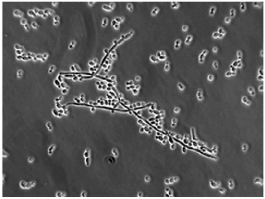
32세 여성이 질 분비물 및 가려움증으로 내원했다. 골반 검사에서 자궁과 부속기에 별다른 이상은 발견되지 않았으며, 질경 검사를 통해 회백색의 질 분비물이 관찰되었다. 환자의 질 분비물을 이용한 습윤 도말(Wet mount) 검사 결과이다. 적절한 치료는 무엇인가?

정답률 97%

누적 풀이 횟수 1,200+

평균 풀이 시간13초

/

나의 풀이 시간0

Imp: 세균성 질염 (bacterial vaginosis)

해설

회백색 질 분비물, wet smear 상 clue cell이 관찰되어 세균성 질염으로 진단, 메트로니다졸을 투여한다.

• 질 분비물, 외음부 가려움증을 호소하는 환자의 wet smear 검사에서 clue cell이 관찰된다.

• Clue cell은 질상피세포에 세균덩어리가 붙어 관찰되는 것으로 세균성 질염의 소견이다.

• 치료로 PO or topical Metronidazole 을 사용한다.

Tip

• 질염 종류에 따른 wet semar 소견

세균성 질염

트리코모나스 질염

질칸디다증

Clue cell

편모 있는 원충

Hyphae

오답 선지

• 에리트로마이신: 골반염에 사용하는 항생제이다.

• 클로트리마졸: 칸디다 질염에 사용하는 항진균제이다.

• 아지트로마이신: 골반염에 사용하는 항생제이다.

• 테트라사이클린: 골반염에 사용하는 항생제이다.

관련 이론

질염

Reference

• Berek & Novak 16e, pp.880-891