부인과

/

83

/

83

82번

[RES16]

0

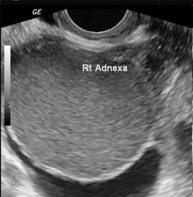
28세 산과력 2-0-1-2인 여성이 불임으로 병원을 찾았다. 그녀는 보통 28일 주기로 생리를 하며, 마지막 출산 이후부터 생리통이 더욱 심해졌다고 호소했다. 골반 초음파 검사 결과 자궁은 정상 크기를 보였고, 왼쪽 난소의 초음파 이미지는 아래와 같다. 아래는 여성의 혈액검사 결과이다. 적절한 치료 방법은 무엇인가?

CA-125 110 U/mL, (참고치, < 35)

정답률 85%

누적 풀이 횟수 1,500+

평균 풀이 시간31초

/

나의 풀이 시간0

Imp: 자궁내막종(endometrioma)

해설

• 불임을 주소로 내원한 환자이다. 시행한 골반초음파에서 균질한 저에코의 단방성 낭종이 관찰된다.

• 월경통 악화, CA-125 상승을 볼 때 자궁내막종을 의심할 수 있다.

• 확진 및 불임 치료를 위해 난소낭종절제술을 시행한다.

관련 이론

불임의 평가

자궁내막증

Reference

• Berek & Novak 16e, pp.2216-2355