소아과 총론

/

49

/

49

14번

[RES21]

0

다음 중 무증상 식도 이물질로 인해 긴급하게 제거해야 하는 경우는 무엇인가?

1)

2)

3)

4)

정답률 89%

누적 풀이 횟수 300+

평균 풀이 시간13초

/

나의 풀이 시간0

Imp: 식도 내 이물

해설

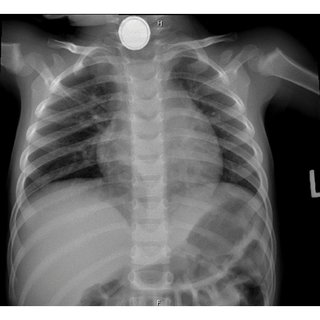
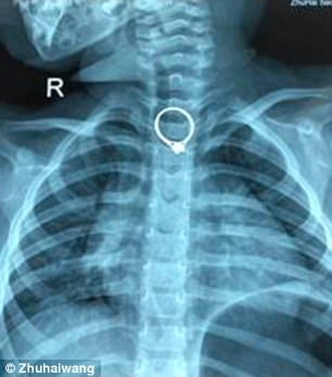
• 식도 내 이물에 관한 증례이다. 보기 별 이물은 다음과 같다.

1: 동전

2: 버튼 배터리

3: 반지

4: 나사

• 이 중 버튼 배터리는 삼킨 지 3~4시간 내 식도 전 층에 화상을 유발할 수 있어 최대한 빨리 내시경적으로 제거해야 한다.

• 이외에도 날카로운 물체나 호흡기 증상 (사레, 구역, 기침, 과도한 침흘림, 삼킴곤란 등) 을 보일 시 즉시 제거해야 한다.

• 동전이나 뭉툭한 물체의 경우 24시간 내에 내시경적으로 제거한다.

관련 이론

이물질 복용

Reference

•홍창의 소아과학 12e, pp.582-583