소아과 총론

/

49

/

49

24번

[RES19]

0

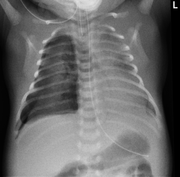
출생 시 체중이 1500g이었던 재태기간 30주의 미숙아가 호흡곤란증후군 치료를 받고 있었으나, 생후 5일째 갑작스럽게 호흡곤란과 청색증이 악화되었다. 이에 의료진이 촬영한 가슴 X선 사진 결과를 바탕으로 적절한 치료 방법을 결정해야 한다. 가장 적절한 치료 방법은 무엇인가?

정답률 77%

누적 풀이 횟수 300+

평균 풀이 시간32초

/

나의 풀이 시간0

Imp: pneumothorax

해설

신생아 호흡곤란증후군(Respiratory Distress Syndrome, RDS) 치료를 받던 중 '갑자기' 호흡곤란과 청색증이 발생하여 시행한 가슴 X선에서 기흉이 관찰된다. 현재 호흡곤란과 청색증 등 심한 증상을 보이고 있으므로 흉관삽입을 통해 감압을 해주어야 한다.

• 신생아 호흡곤란증후군으로 인한 페외 공기 누출(기흉, 종격동 기종, 폐사이질 기종)은 RDS가 있는 초극소 조산아 3~9%에서 발생할 수 있다. 출생 후 소생술 과정이나 출생 초기 기계 환기 적용 중 과도한 압력이나 과도한 일회 호흡량이 전달 되는 것이 원인이며, 자발 호흡에도 발생할 수 있다고 한다.

오답 선지

• 프로스타글란딘 E1 투여 : 동맥관 의존적 심장 질환에서 동맥관을 개방해 두기 위해 사용된다.

• 일산화질소 흡입 : 신생아 지속성 폐 고혈압(Persistent Pulmonary Hypertension of the Newborn, PPHN)에서 폐혈관의 고혈압 상태를 개선하여 폐로의 혈류를 증가시키기 위해 사용한다.

• 폐표면활성제 : 호흡곤란증후군에서 사용되는 치료제로, 폐표면활성제가 부족한 미숙아에서 폐의 팽창을 돕는다. 이 미숙아는 이미 호흡곤란증후군 치료를 받고 있으므로, 기흉에 대한 치료인 흉관삽입이 정답이다.

• 스테로이드 투여 : 스테로이드는 기관지 폐 이형성증(BPD)의 예방이나 치료 등에서 사용될 수 있다.

관련 이론

• 신생아 호흡곤란증후군의 합병증

(1) 기관지폐 형성이상

(2) 동맥관 열림즘 (PDA) 지속성 폐고혈압(PPHN)

① 임상양상: RDS 호전에도 지속적인 무호흡, 도약맥박

② 진단: 심초음파

(3) 미숙아망막병증(retinopathy of prematurity, ROP)

① 고농도 산소 치료와 관련 있음

② 실명으로 이어질 수 있는 중요한 질환

(4) 폐외 공기 누출

• 폐외 공기 누출 extrapulmonary air leak

1) 개요

(1) 원인: 자연 현상, RDS, BPD, 선천성 폐기종 등, 가로막 탈장, 폐렴 등

(2) 종류: 기흉, 종격동기종(pneumomediastinum), 심막기종, 기복증 등

2) 임상양상

(1) 기흉: 호흡곤란, 청색증, 호흡음 감소, 과공명

(2) 종격동기종: 대부분 무증상

(3) 심막기종: 드물게 venous return 감소 및 심박출량 감소

3) 치료

(1) 경과관찰: 호흡곤란이 심하지 않음 + 폐외 공기 누출이 지속적이지 않을 경우

(2) 가슴천자 후 가슴관 삽입을 통한 수면하 밀봉배액: 호흡기 및 순환기 장애 발생 시

(3) 지속적 음압 배기: 지속적인 폐외 공기 누출 시

• 소아 기흉의 치료

(1) 기흉이 작거나(<5%), 다소 크더라도 다른 이상이 없다면, 천식에 동반된 작은 기흉은 특별한 치료 없이 1주내 호전

(2) 5% 이상 무기폐, 2차적 기흉, 반복되는 기흉, 긴장 기흉 -> 치료 필요

- 100% 산소, 폐쇄 흉관 삽관술

Reference

• 홍창의 소아과학 12e, pp. 306~326, 784

지문 사진