소아과 각론

/

135

/

135

44번

[RES21]

0

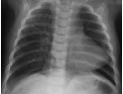
청색증을 동반한 선천성 심장 질환을 가진 4개월된 남자아이가 밤중에 울면서 호흡곤란을 보이며 병원에 도착했다. 산소포화도 측정 결과 65%로 나타났으며, 좌측 흉부에서 미약한 구출성 심잡음이 들렸다. 응급 조치 후 아이의 상태가 호전되어 산소포화도가 85%로 상승하였고, 심잡음이 더욱 뚜렷해졌다. 가슴 X선 검사 결과가 나왔다. 수술을 기다리는 동안 어떤 약물을 투여해야 할까?

정답률 67%

누적 풀이 횟수 1,400+

평균 풀이 시간29초

/

나의 풀이 시간0

Imp: 팔로네징후(tetralogy of Fallot, TOF), 무산소 발작(anoxic spell)

해설

• 흉부 X선에서 특징적인 boot-shaped heart가 관찰되며, 좌측 흉골연의 수축기 심잡음이 들리므로 TOF가 의심된다.

• 환아가 울며 보챌 때 청색증이 나타나고 산소포화도가 떨어졌는데, 이는 무산소 발작으로 볼 수 있다.

• 무산소 발작이 생기면 모르핀을 투여하여 과호흡을 억제하고, 수술 전까지 재발 예방을 위해서는 propranolol을 투여한다.

Tip

• 팔로사징후의 근본적 치료는 핵심적 병인인 RVOT 협착을 해결하는 것으로, 수술적 치료 (또는 카테터 시술) 가 꼭 필요하다.

오답 선지

• Morphine sulfate : 무산소 발작의 응급처치 시 사용되는 약물이다. 수술 전까지 예방을 위해서는 propranolol을 투여한다.

관련 이론

청색증 선천 심질환

Reference

• 홍창의 소아과학 12e, pp.828-847