직업성 폐질환
이론과 하이라이트 히스토리를 확인 할 수 있어요.
: Occupational lung disease
특정 직업력이 있으며 호흡곤란, 기침 등의 호흡기 증상을 호소하는 경우, 직업성 폐질환을 떠올려야 한다. 수많은 물질들이 호흡기 질환과 관련이 있으나 국시에서는 규소, 석면, 유기분진 외에는 잘 출제되지 않으며, 그 중에서도 규소와 석면에 의한 폐섬유증이 주로 출제된다. 직업력과 영상소견을 통해 규폐증과 석면증을 구별할 수 있다면 국시에서 큰 문제는 없으리라 생각된다. 직업적 노출에 의한 천식과 과민 폐렴은 각 단원에서 다루고 있으며, 예방의학 단원에서도 유사한 문제들이 출제된다.
1. 개요
직업적 노출원 | 관련 직종 | 연관 질환 |
규소 | 광산, 채석장, 석공, 유리/시멘트 공장 등 | • 규폐증 |
석면 | 광산, 건설업, 조선업, 가공 | • 석면폐증 |
석탄재 | 광산 | • 탄광부진폐증, COPD |
베릴륨 | 반도체 가공, 원자력발전, 우주공학 | • 폐암, 만성 육아종질환 |
유기 분진 | 농부, 면/곡물/버섯/담배 등 관련, 조류 사육사 등 | • 과민 폐렴 |
아래 설명할 규폐증, 석면폐증, 탄광부진폐증 모두 진폐증(pneumoconiosis, 폐먼지증)에 해당한다. 진폐증은 간질성 폐질환의 일부로 분류될 수 있으며, 진폐증에는 근본적인 치료가 존재하지 않는다.
2. 규폐증(silicosis)
1) 개요
(1) 원인: 유리 석영(규산, free silica, SiO2)
• 관련 직업: 광산업, 채석장, 석공, 유리/시멘트 공장, 분사 가공(sandblasting)
(2) 분류
① 만성 규폐증(chronic silicosis): 첫 노출로부터 15~20년 후 호발
• 단순 규폐증(simple silicosis): 폐 결절 < 10 mm
• 진행성 거대 섬유화(progressive massive fibrosis, PMF): 폐 결절 ≥ 10 mm
② 급성 규폐증(acute silicosis): 첫 노출로부터 수 주~년 후 호발
* 급성 규폐증의 임상양상, 영상소견, 치료 등은 간질성 폐질환의 일종인 폐포단백증과 유사하다.
2) 임상양상 및 검사소견
(1) 주호소: 무증상 ~ 운동시 호흡곤란, 만성 기침, 가래
(2) CXR/CT
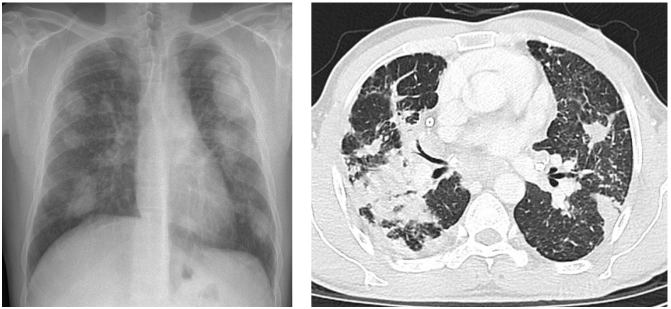
① 단순 규폐증: 폐 상부~중부의 small, rounded nodules (< 10 mm)
• Hilar LN 주변에 calcification 있을 수 있음 (egg-shell calcification)
② PMF: Nodule들이 서로 융합하며 불규칙한 덩이 형성 (≥ 10 mm)
(3) 폐기능검사(pulmonary function test, PFT): 제한성/폐쇄성 양상 모두 가능
• 유의미한 폐기능 저하는 PMF와 관련되어 있을 수 있음
3) 진단: 규소 노출력, 임상양상, 영상학적 소견으로 진단
• 비전형적 양상을 보이거나 타 질환과 감별이 어려운 경우 BAL, 조직검사 고려
4) 합병증 및 기타 규소 노출 관련 질환
(1) 호흡기 감염: 폐결핵, 기타 항산균, 진균 감염 (규소가 대식세포 기능이상을 유발)
(2) 기타 질환: COPD, 폐암 등
3. 석면 관련 폐질환
1) 개요
(1) 원인: 석면(asbestos) (섬유상을 띠는 여러 규산염 계열의 광물의 집합)
• 관련 직업: 광산업, 건설업, 조선업, 배관공 등
(2) 분류
① 폐실질 질환
• 석면폐증(asbestosis): 폐실질에 섬유화를 일으키는 진폐증, 간질성 폐질환의 일종
• 폐암
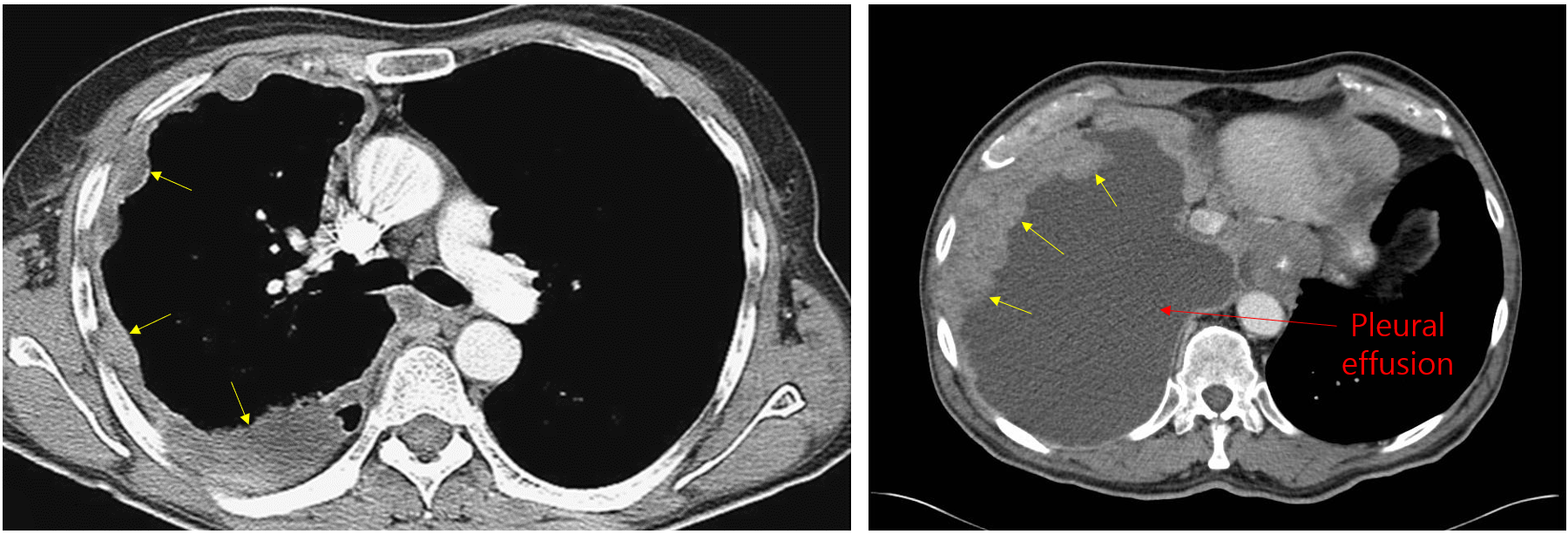
② 흉막 질환
• 흉막판(pleural plaque), 흉막 삼출
• 악성 흉막중피종(malignant pleural mesothelioma, MPM)
2) 임상양상: 첫 노출로부터 20~30년 후 호발
(1) 주호소: 만성 (운동시) 호흡곤란
(2) 기타 증상: 기침, 가래, 천명음, 흉막성 통증
3) 검사소견
(1) CXR/CT
① 석면폐증: 폐하부 diffuse GGO, sagging heart, reticular opacities, subpleural line 등
② 흉막판: Pleura의 국소적 thickening, calcification. 석면 노출을 강력히 시사
③ 악성 흉막중피종: 두꺼워진 pleural mass
(2) PFT: 제한성 양상 (폐용적, DLCO 감소)
(3) BAL: Asbestos body 관찰

4) 진단: 석면 노출력, 임상양상, 영상학적 소견으로 진단
(1) 비전형적 양상을 보이거나 타 질환과 감별이 어려운 경우 BAL, 조직검사 고려
(2) 단, 악성 흉막중피종의 경우 조직검사가 대부분 필요함
① 검사 방법: 수술적 생검(surgical biopsy), 경피적 생검
② 치료: 수술적 제거 + 전신적 항암치료(주로 면역항암제 사용)
4. 기타
1) 탄광부진폐증(coal workers' pneumoconiosis, CWP)
(1) 원인: 석탄 분진 (주로 단일 성분보다는 여러 분진의 혼합 노출인 경우가 많음)
(2) 임상양상 및 검사소견: 만성 규폐증과 유사
① 단순 CWP: 다수의 < 10 mm 크기의 nodule
② PMF: ≥ 10 mm 크기의 nodule
③ Caplan 증후군: 탄광부진폐증에 류마티스관절염이 동반된 증후군
2) 만성베릴륨병(chronic beryllium disease)
(1) 원인: 베릴륨 (반도체 가공, 원자력발전, 우주공학과 연관)
(2) 병태생리: 베릴륨에 대한 면역반응으로 인해 granuloma 생성
(3) 검사소견: CT상 유육종증과 유사함
(4) 진단: 베릴륨 림프구 증식 검사(beryllium lymphocyte proliferation test)
• 환자의 혈액/BAL 검체를 베릴륨이 있는 환경에 넣고, lymphocyte가 얼마나 빨리 자라는지 확인
3) 면폐증(byssinosis)
(1) 원인: 면, 마 등 섬유성 먼지 (실 등 섬유 관련 직업)
(2) 임상양상: 천식과 유사 (흉부불편감, 호흡곤란 등)
(3) 검사소견: PFT - 폐쇄성 양상
직업성 폐질환 정리 | ||
분류 | 규폐증 | 석면 관련 폐질환 |
관련 직업 | 광산, 채석장, 석공, 유리/시멘트 공장 등 | 광산, 건설업, 조선업, 가공 |
임상양상 | 무증상 ~ 운동 시 호흡곤란, 만성 기침, 가래 첫 노출 후 10년 이상 이후 발병 | |
검사소견 | 단순 규폐증: 폐 상~중부 small rounded nodules PMF: Nodule들이 서로 융합한 크고 불규칙한 덩이 | 석면폐증: 폐하부 diffuse GGO, reticular opacities 흉막판: Pleura의 국소적 thickening, calcification |
PFT: 제한성, 폐쇄성 양상 | PFT: 제한성 양상 | |
BAL: Asbestos body | ||
진단 | 임상적으로 진단 | 임상적으로 진단 |
악성 흉막중피종: 수술적 생검 | ||
Harrison 22e, pp.2231-2234
Murray & Nadel 7e, pp.1582-1587