폐농양

이론과 하이라이트 히스토리를 확인 할 수 있어요.

: Lung abscess, 폐고름집

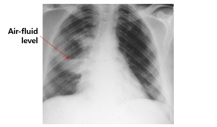
흡인 가능성을 시사하는 병력과 함께 CXR에서 air-fluid level이 있는 공동이 보일 때 1차성 폐농양을 진단할 수 있음을 알고, 그에 따른 경험적 항생제인 clindamycin, beta-lactam 등을 알면 충분하다.

1. 개요

1) 정의: 미생물 감염으로 인해 폐의 괴사와 공동 형성을 특징으로 하는 질환

2) 원인 및 분류

(1) 1차성 폐농양: 흡인(aspiration) → 주로 혐기성 세균에 의해 발생

(2) 2차성 폐농양: 다른 기저원인에 의해 유발

① 기관지 폐쇄(종양, 이물 등): 분비물이 배출되지 못하고 쌓여서 농양 형성

② 면역억제자: 면역억제제 투여, HIV 감염 등

③ 패혈성 색전증(septic emboli): 삼첨판 심내막염

3) 위험요인: 흡인의 가능성을 높이는 요소

(1) 구강 및 치아 위생 불량: 알코올 중독, 불량한 치열, 잇몸 질환

(2) 기침 반사 감소: 고령, 의식저하, 신경계 질환(뇌졸중, 뇌전증)

(3) 장기간 누워서 지냄

(4) 식도 연하장애, 기타 약물 중독 등

2. 임상양상

1) 주호소: 전반적으로 폐렴과 유사

(1) 발열

(2) 기침 및 가래: 점액성, 변색, 악취

(3) 객혈: 피가 묻어나오는 정도

2) 기타 증상 및 징후

(1) 전신 증상: 야간 발한, 피로, 빈혈 (혐기균 폐농양에서 흔함)

(2) 폐 진찰: 공동성(amphoric, cavernous) 호흡음

3. 검사소견

1) WBC, CRP, ESR 상승

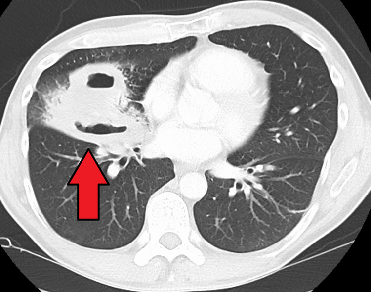
2) CXR: Air-fluid level이 보이는 두꺼운 벽의 공동(thick-walled cavity)

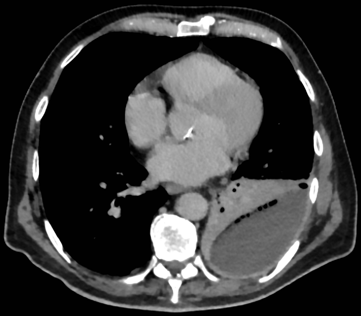
3) CT: CXR과 동일 / 농흉(empyema)와의 감별에 도움

* 농흉(empyema): Pleural space에 농이 찬 상황 (참고: ‘흉막 삼출’)

4. 진단

1) 배양검사: Routine하게 시행하지는 않음

(1) 방법: BAL, bronchoscopy-guided transtracheal aspiration, CT-guided percutaneous aspiration 등

(2) 직접 검체 채취 후 배양 검사 고려 (객담 채취는 오염 가능성 높음)

2) 기관지내시경

(1) 기관지 폐색에 의한 2차성 폐농양 의심될 때 시행

(2) 주로 국소적 천명음으로 기관지 폐색을 의심할 수 있음

3) 감별진단: 공동을 형성하는 폐질환 (TB, 폐암, 간질성폐질환, 사르코이드증 등)

5. 치료

* 일반적으로 다른 장기에 농양이 생기면 배농을 적극적으로 시행하나, 폐농양의 경우 항생제 치료를 우선 시행하고 호전이 없을 경우 배농을 시도한다.

1) 경험적 항생제: IV로 투여하다 호전되면 PO로 교체, 4~6주 사용

(1) Clindamycin

• 경우에 따라 3세대 cephalosporin 등 조합 가능

(2) β-lactam/β-lactamase inhibitor: Ampicillin-sulbactam, amoxicillin-clavulanate 등

* 국시에서는 ‘일반적 세균’과 ‘혐기성 세균’을 동시에 커버한다는 의미로 (3세대 cephalosporin or fluoroquinolone) + (clindamycin or metronidazole)의 조합이 답으로 출제되는 경우도 있다.

2) 배농: 항생제 치료에 반응하지 않을 때

(1) 경피적(percutaneous) 배농: 농양이 pleura에 더 가까울 때

(2) 경기관지(transbronchial) 배농: 농양이 central airway에 더 가까울 때

(3) 수술적 배농

* 체위 배농(postural drainage)의 효과는 뚜렷이 입증되지는 않았으며, chest percussion을 통한 객담 배출은 intrabronchial abscess rupture의 위험이 있어 모든 환자에게 일괄적으로 권고되지는 않는다.

폐농양 정리

위험요인

• 알코올중독, 구강청결 불량
• 의식저하, 뇌졸중
• 장기간 bed rest

임상양상

• 발열, 기침, 객혈
• 가래: 점액성, 변색, 악취

검사소견

• CXR/CT: Thick-walled cavity, air-fluid level

진단

• 원인균 배양을 시도할 경우 BAL, needle aspiration

치료

• Clindamycin, beta-lactam + beta-lactamase inhibitor
• 항생제 효과 없을 시 시술적 or 수술적 배농 고려

Harrison 22e, pp.1034-1036

Murray & Nadel 7e, pp.668-673